Seoul Above Dental Hospital
4th and 5th Floors, 196 Baekjegobun-ro, Songpa-gu, Seoul
Case of lower front tooth implant surgery for a male patient in his 60s
Hello, this is Seoul Above Dental Hospital.
We would like to introduce a case of lower front tooth implant surgery for a male patient in his 60s.
Customized treatment was needed to restore both function and aesthetics at the same time.
Initial Condition and Diagnosis
Treatment period: January 28, 2025 - May 5, 2025

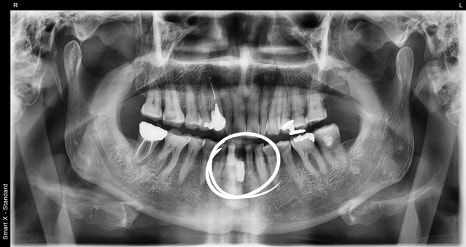
Initial X-ray taken at the first visit
The patient visited the clinic with the chief complaint that the lower front tooth was severely loose,
and the panoramic X-ray showed that preserving the natural tooth was not possible.
Surgical Plan and Procedure


X-ray immediately after surgery
The loose tooth was extracted,
and implant placement and bone grafting were performed on the same day.
In the area where the jawbone was insufficient, bone grafting was used to support stable placement,
and a temporary tooth was also made to restore aesthetics.
The post-surgery X-ray showed that the implant had settled stably,
and the surrounding bone condition was being maintained well.
The patient had almost no pain immediately after surgery,
and after treatment, was able to return to daily life without discomfort in eating or speaking.
Surgical Results and Progress


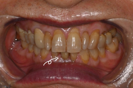
Photo with the final prosthesis placed 3 months after surgery
Three months after surgery, the final prosthesis was also placed,
and all treatment was completed.
Post-Implant Surgery Precautions
At Seoul Above Dental Hospital, we provide the following precautions to all surgical patients.
- On the day of surgery - Avoid hot or irritating foods, and eat soft, cool foods.
-
Refrain from using straws, rinsing vigorously, or spitting.
-
Keep the hemostatic gauze in place for more than 30 minutes, and it is best to swallow saliva.
-
Excessive exercise and sauna use are prohibited.
- Taking medication and cold compresses - Take antibiotics and painkillers exactly after meals.
- Swelling may occur, so repeat cold compresses at 10-minute intervals for 24 hours after surgery.
- Brushing and hygiene management - Gently care for the surgical area for 3 days,
and be careful not to let the toothbrush touch it directly.
- To prevent inflammation, use interdental brushes or mouthwash according to the medical staff's instructions.
- No smoking and no alcohol - It is essential to refrain from smoking and drinking alcohol for at least one week.
This may interfere with recovery of the grafted area due to impaired blood flow.
- Regular follow-up visits - To check whether the gum bone is healing well,
and whether the implant is settling stably,
visits are needed 1 week, 2 weeks, 1 month, and 3 months after surgery.
Implant Treatment Features of Seoul Above Dental Hospital

-
System established for placement immediately after extraction
-
Surgery safety management based on the overall health of elderly patients
-
Precise diagnosis and design based on oral scanners
-
In-house dental lab for precise prosthesis fabrication
-
Collaborative care system by medical staff trained at Seoul National University
-
365-day treatment and emergency surgery available
All photos used in this post are
case photos of treatment performed at Seoul Above Dental Hospital,
and were posted with the patient's consent to provide
information about dental care.