서울오브치과병원
서울 송파구 인레이 치료 후기 – 정밀 스캔과 기공으로 1주 완성
서울오브치과병원 서울특별시 송파구 백제고분로 196 4층, 5층 안녕하세요! 서울오브치과병원입니다 오늘은 30대 남성분의 인레이 치료에 관하여 얘기해보려고 합니다 인레이 치료란? 인레이 치료란? 인레이는 충치로 손상된 치아의 부위를 제거한 뒤, 정밀하게 본을 떠 맞춤 보철물로 메우는 치...
서울오브치과병원 서울특별시 송파구 백제고분로 196 4층, 5층
안녕하세요!
서울오브치과병원입니다
오늘은 30대 남성분의 인레이 치료에 관하여 얘기해보려고 합니다

인레이 치료란?
인레이 치료란?
인레이는 충치로 손상된 치아의 부위를 제거한 뒤,
정밀하게 본을 떠 맞춤 보철물로 메우는 치료 방법입니다.
전체를 덮는 크라운보다 치아 삭제량이 적어
자연치아를 최대한 살리면서 강도와 내구성을
확보할 수 있는 치료입니다.
서울오브치과병원은 구강스캐너와 원내 기공소를 갖추고 있어
더욱 정밀하고 빠른 인레이 치료가 가능합니다.
인레이 치료의 진단
치료기간: 2025년 2월 5일~2월 12일



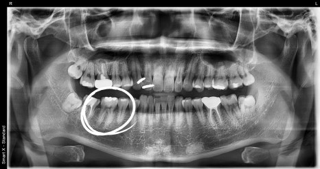
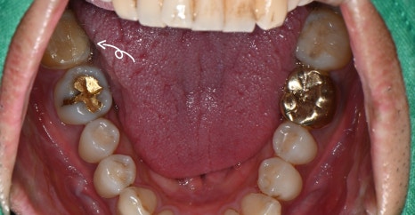
내원 당시 파노라마 사진 및 구강내 사진
“찬물을 마실 때 오른쪽 아래 어금니가 시려요”
30대 남성 환자분은 “찬물을 마실 때 오른쪽 아래 어금니가 시려요”라는 증상으로 내원하셨습니다.
큰 통증은 없었지만, 일상생활 중 불편함이 반복되어 정확한 진단을 받고 싶다고 하셨어요.
진단 결과 깊은 충치, 신경치료는 불필요
파노라마 엑스레이 촬영을 통해
오른쪽 아래 첫 번째 어금니(제1대구치)에 깊은
충치가 진행되어 있는 상태를 확인했습니다.
다행히도 신경까지는 도달하지 않아 신경치료 없이
인레이 치료로 치아를 살릴 수 있는 상태였습니다.
치료과정


치료 과정
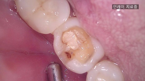
① 충치 제거 및 치아 삭제
– 충치 부위를 제거하고 인레이가 들어갈 자리를 정밀하게 다듬습니다.
② 구강 스캔
– 구강스캐너로 치아 형태를 디지털로 채득합니다. (전통적인 본뜨기보다 정확하고 빠릅니다.)
③ 인레이 제작
– 원내 기공실에서 환자분 치아와 동일한 색상, 형태로 세라믹 인레이를 제작합니다.
④ 장착
– 7일 후 내원하여 완성된 인레이를 장착하고 교합을 체크한 뒤 마무리합니다.
자주 묻는 질문
자주 묻는 질문
Q1. 인레이는 어떤 재료로 만드나요?
– 본원에서는 주로 지르코니아 재료를 사용합니다.
강도와 심미성 모두 우수해 많이 선택되고 있습니다.
Q2. 인레이 치료는 몇 번 내원하나요?
– 총 2회 내원이 기본이며, 치료 기간은 약 7일입니다.
Q3. 치료할 때 많이 아픈가요?
– 국소 마취 하에 진행되어 통증 없이 치료가 가능합니다.
치료 기간 정리
• 1회차: 충치 제거 + 구강 스캔
• 2회차 (7일 후): 인레이 장착→ 총 2회 내원,
약 1주일 내 완성
시린 치아가 계속 불편하다고 해서 무조건 신경치료를 진행할 필요는 없습니다.
이번 사례처럼 정확한 진단과 빠른 대처로 자연치 보존이 가능한 경우가 많습니다.
서울오브치과병원은 정밀 진단 장비, 디지털 기공 시스템,
숙련된 협진 체계를 바탕으로 불필요한 과잉진료 없이
치아를 지켜드릴 수 있는 최선의 치료를 고민합니다.
본 글에 사용된 모든 사진은
서울오브치과병원에서 치료한 증례 사진이며
환자분 동의하에 치과 의료에 대한
정보를 제공하기 위해 포스팅 하였습니다.

Explore More
Keep Browsing This Clinic's Korean Content Trail.
Return to the source archive for more posts, or move back to the clinic profile to compare the rest of the clinic's public channels.