Seoul Ob Dental Hospital
4F, 5F, 196 Baekjegobun-ro, Songpa-gu, Seoul
Hello!
This is Seoul Ob Dental Hospital.
Today, we’d like to talk about an inlay treatment for a man in his 30s.

What is inlay treatment?
What is inlay treatment?
An inlay is a treatment method in which the damaged part of a tooth caused by tooth decay is removed,
and the area is then filled with a custom prosthetic made from a precise impression.
Compared with a crown that covers the entire tooth, it requires less tooth reduction,
making it a treatment that can preserve as much of the natural tooth as possible
while securing strength and durability.
Seoul Ob Dental Hospital is equipped with an intraoral scanner and an in-house dental lab,
allowing for more precise and faster inlay treatment.
Diagnosis for inlay treatment
Treatment period: February 5, 2025 to February 12, 2025



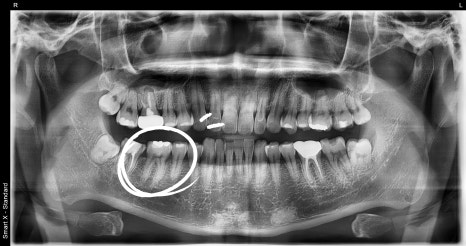
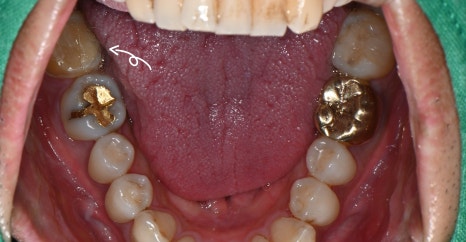
Panoramic and intraoral photos taken at the first visit
“My lower right molar feels sensitive when I drink cold water.”
A male patient in his 30s visited us with the symptom, “My lower right molar feels sensitive when I drink cold water.”
He did not have severe pain, but repeated discomfort in daily life led him to want an accurate diagnosis.
Diagnosis results: deep cavity, no root canal treatment needed
Through panoramic X-ray imaging,
we confirmed that a deep cavity had progressed in the first molar on the lower right (first molar).
Fortunately, it had not reached the nerve, so the tooth could be saved with inlay treatment
without root canal treatment.
Treatment process


Treatment process
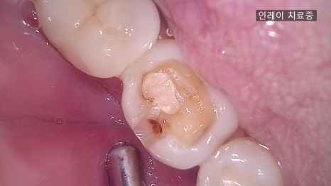
① Removal of decay and tooth reduction
– The decayed area is removed and the space for the inlay is carefully shaped with precision.
② Intraoral scan
– The tooth shape is digitally captured with an intraoral scanner. (More accurate and faster than traditional impressions.)
③ Inlay fabrication
– In the in-house lab, a ceramic inlay is made in the same color and shape as the patient’s tooth.
④ Placement
– After 7 days, the patient returns to have the finished inlay placed, the bite checked, and the treatment completed.
Frequently asked questions
Frequently asked questions
Q1. What material is the inlay made of?
– At our hospital, we mainly use zirconia materials.
It is chosen often because it offers excellent strength and aesthetics.
Q2. How many visits does inlay treatment require?
– Two visits are the standard, and the treatment period is about 7 days.
Q3. Is the treatment very painful?
– It is performed under local anesthesia, so treatment can be done without pain.
Treatment period summary
• First visit: Removal of decay + intraoral scan
• Second visit (after 7 days): Inlay placement → a total of 2 visits,
completed in about 1 week
Just because sensitive teeth keep bothering you does not mean root canal treatment is always necessary.
As in this case, there are many situations where a natural tooth can be preserved through an accurate diagnosis and prompt response.
Based on precise diagnostic equipment, a digital lab system,
and a skilled collaborative treatment system, Seoul Ob Dental Hospital considers the best treatment options to protect your teeth
without unnecessary overtreatment.
All photos used in this post are
case photos of treatment performed at Seoul Ob Dental Hospital,
and were posted with the patient’s consent to provide
dental health information.
