서울오브치과병원
낭종, 방치하면 뼈까지 녹습니다. 정확한 진단과 수술 사례 소개
서울오브치과병원 서울특별시 송파구 백제고분로 196 4층, 5층 매복 사랑니 및 함치성 낭종 제거 수술 사례 안녕하세요!서울오브치과병원입니다. 오늘은 매복 사랑니 하단에 생긴 낭종을 제거한 사례를 소개해드리려고 합니다. 낭종이란? 낭종 제거 수술이란? 낭종은 치아 뿌리 끝 부위에 염증이 생기고, 그...
서울오브치과병원 서울특별시 송파구 백제고분로 196 4층, 5층
매복 사랑니 및 함치성 낭종 제거 수술 사례
안녕하세요!서울오브치과병원입니다.
오늘은 매복 사랑니 하단에 생긴 낭종을
제거한 사례를 소개해드리려고 합니다.
낭종이란?

낭종 제거 수술이란?
낭종은 치아 뿌리 끝 부위에 염증이 생기고,
그 염증이 커지면서 낭종(물혹) 형태로 발전한 병변입니다.
방치하면 주변 뼈를 녹이거나 인접 치아에 악영향을 줄 수 있어,
반드시 치료가 필요합니다.
낭종 제거 수술은 해당 치아를 살리면서 병소만
제거하는 방식이며,
필요 시 치아 발치까지 병행합니다.
서울오브치과병원은 구강악안면외과 전문의가 직접 수술을 집도하며,
진정요법(수면마취)을 통해 보다 안전하게 치료받으실 수 있습니다.
진단 및 치료 과정
치료기간: 2025년 3월 21일 ~ 4월 2일


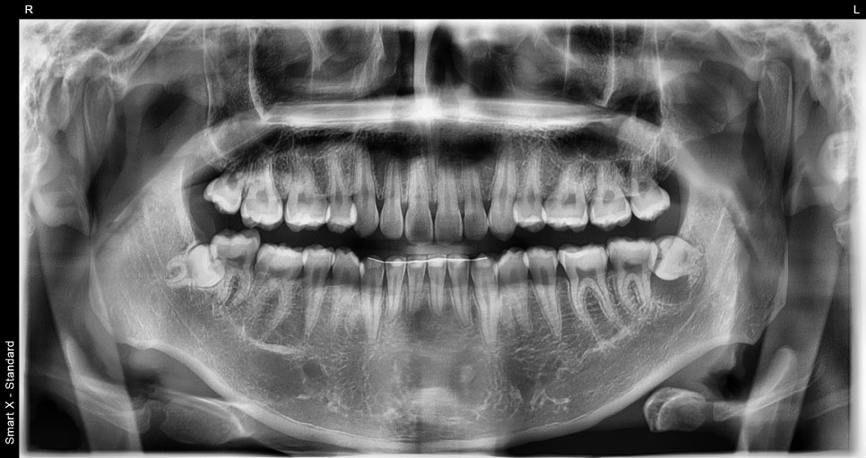
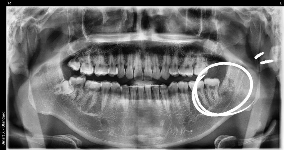
내원당시 초진 엑스레이 사진
“왼쪽 아래 어금니 타치과에서 낭종이 있다고 들었는데 큰 병원으로 가라고 해서 왔어요"
20대 환자분은 왼쪽 아래 어금니쪽 잇몸이
자주 부었다가 가라앉는 증상을 반복하며 내원하셨습니다.
파노라마 및 소형 엑스레이 촬영 결과,
하악 좌측 제3대구치 아래 6mm 이상의
방사선 투과성 병소(검게 보이는 낭종 조직)가 확인되었고,
치아 낭종으로 의심되었습니다.
해당 치아는 발치 없이 살릴 수 있는 상태였기 때문에,
낭종 제거 수술과 함께 매복 사랑니 발치를 계획하였습니다.
수술 과정


수술 과정
① 국소마취 후 잇몸 절개 및 병소 접근
②매복 사랑니 발치 및 낭종 조직 제거
– 병리조직검사용 검체 채취
④ 봉합 및 수술 마무리
– 출혈 최소화, 회복 안내
※ 본원에서는 수술 중 산소포화도·혈압 모니터링 및 수액 치료까지 병행하여 보다 안전하게 수술을 받으실 수 있도록 돕고 있습니다.
조직검사 결과


Consistent with dentigerous cyst with abscess formation.
→ 농양 형성이 동반된 낭종성 병변 (치아낭종, dentigerous cyst)으로 판단됨.
Dentigerous cyst (치아낭종): 맹출하지 못한 치아를 둘러싸고 생기는 낭종. 일반적으로 무증상이지만, 커지면 통증이나 부종을 유발할 수 있습니다.
Abscess formation (농양 형성): 고름이 차 있는 염증성 병변이 함께 나타난 상태.
수술 후 관리 및 경과

수술 후 관리 및 경과
수술 후 1주일 내 실밥 제거와 함께 회복 상태를 확인하였고,
이후 추가적인 불편함 없이 호전되었습니다.
수술 부위는 시간이 지나면서 새 뼈가 차오르며 재생될 것으로 보이며,
정기적인 엑스레이 추적 관찰을 통해 경과를 체크하고 있습니다.
자주 묻는 질문
자주 묻는 질문
Q1. 낭종이 생긴 치아는 꼭 발치해야 하나요?
– 아닙니다. 병소의 크기와 위치에 따라, 발치 없이 수술로 치아를 보존할 수 있는 경우가 많습니다.
Q2. 낭종은 왜 생기나요?
– 주로 신경치료 후 염증이 완전히 사라지지 않고 남아있거나, 세균 재감염으로 인해 발생합니다.
Q3. 수술은 많이 아픈가요?
– 국소 마취 또는 수면진정요법 하에 진행되며, 수술 후 통증은 진통제로 조절 가능합니다.
단순한 염증으로 생각하고 방치했던 증상이,
실제로는 치아 뿌리 끝에 생긴 낭종일 수 있습니다.
정확한 진단과 빠른 대처를 통해 치아를 살릴 수 있고,
얼굴 붓기나 통증 없이 일상생활로 빠르게 복귀하실 수 있습니다.
서울오브치과병원은 구강외과 전문의가 집도하는 정밀 수술과
대학병원급 안전 시스템을 기반으로,
환자 개개인의 상태에 맞는 최선의 치료를 제공합니다.
본 포스팅에 사용된 사진은
서울오브치과병원에서 치료한 실제 환자의 사례이며,
환자분의 동의 하에 의료 정보를 공유하기 위해 작성되었습니다.

Explore More
Keep Browsing This Clinic's Korean Content Trail.
Return to the source archive for more posts, or move back to the clinic profile to compare the rest of the clinic's public channels.