Seoul Ob Dental Hospital
4th and 5th floors, 196 Baekjegobun-ro, Songpa-gu, Seoul
Impacted Wisdom Tooth and Dentigerous Cyst Removal Surgery Case
Hello! This is Seoul Ob Dental Hospital.
Today, we would like to introduce a case of removing a cyst that developed beneath an impacted wisdom tooth.
What Is a Cyst?

What Is Cyst Removal Surgery?
A cyst is a lesion that begins with inflammation at the tip of a tooth root,
and as the inflammation grows, it develops into a cystic (fluid-filled) lesion.
If left untreated, it can dissolve the surrounding bone or adversely affect adjacent teeth,
so treatment is necessary.
Cyst removal surgery is a method that removes only the lesion while preserving the tooth,
and tooth extraction is performed as needed.
At Seoul Ob Dental Hospital, the surgery is performed directly by a board-certified oral and maxillofacial surgeon,
and treatment can be provided more safely through sedation (sleep anesthesia).
Diagnosis and Treatment Process
Treatment period: March 21, 2025 ~ April 2, 2025


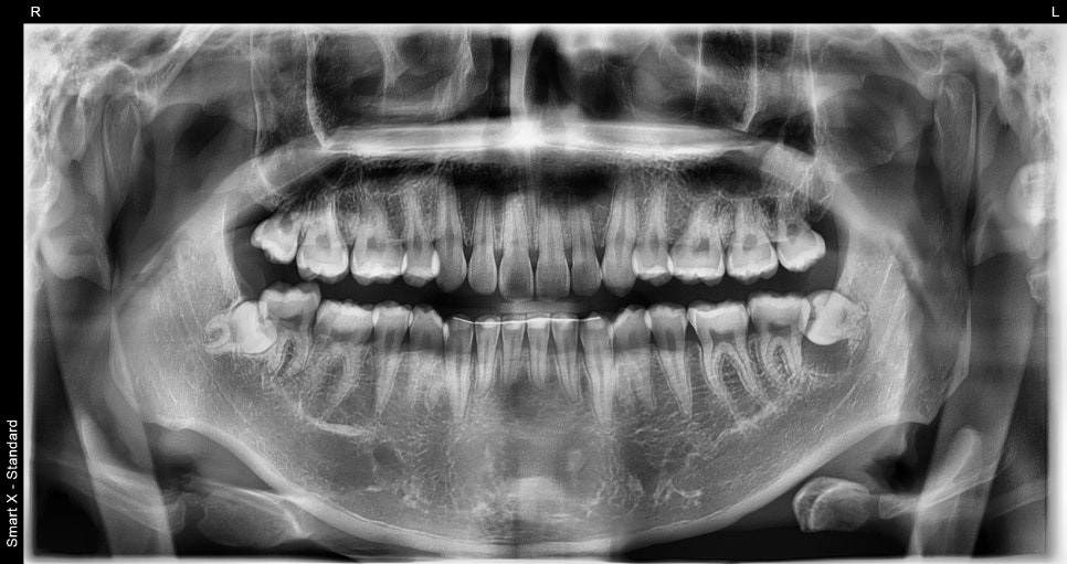
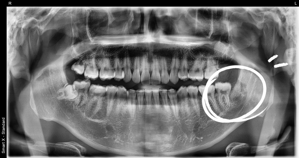
Initial X-ray at the time of the visit
“Another clinic told me there was a cyst in the lower left molar area, and they said I should go to a bigger hospital, so I came here.”
A patient in their 20s visited after repeatedly experiencing swelling and subsiding of the gum around the lower left molar area.
As a result of panoramic and small X-ray imaging,
an over 6 mm radiolucent lesion (dark-appearing cystic tissue) beneath the left mandibular third molar was identified,
and a tooth cyst was suspected.
Since the tooth was in a condition where it could be saved without extraction,
a plan was made for cyst removal surgery along with extraction of the impacted wisdom tooth.
Surgical Procedure


Surgical Procedure
① After local anesthesia, incision of the gum and access to the lesion
② Extraction of the impacted wisdom tooth and removal of the cystic tissue
– Sample collection for pathological examination
④ Suturing and completion of surgery
– Minimization of bleeding, recovery guidance
※ At our hospital, we also monitor oxygen saturation and blood pressure during surgery and provide IV fluid therapy to help ensure a safer procedure.
Pathology Results


Consistent with dentigerous cyst with abscess formation.
→ Considered a cystic lesion accompanied by abscess formation (tooth cyst, dentigerous cyst).
Dentigerous cyst (tooth cyst): A cyst that forms around an unerupted tooth. It is generally asymptomatic, but as it grows, it can cause pain or swelling.
Abscess formation: A condition in which an inflammatory lesion containing pus is present.
Postoperative Care and Progress

Postoperative Care and Progress
One week after surgery, the sutures were removed and recovery was checked,
and the condition improved without any additional discomfort.
The surgical site is expected to fill in with new bone over time and regenerate,
and we are monitoring the progress through regular X-ray follow-up.
Frequently Asked Questions
Frequently Asked Questions
Q1. Does a tooth with a cyst always need to be extracted?
– No. Depending on the size and location of the lesion, there are many cases in which the tooth can be preserved through surgery without extraction.
Q2. Why do cysts occur?
– They mainly occur when inflammation does not fully disappear after root canal treatment or due to bacterial reinfection.
Q3. Is the surgery very painful?
– It is performed under local anesthesia or sedative anesthesia, and postoperative pain can be controlled with painkillers.
Symptoms that were thought to be a simple inflammation and left untreated
may actually be a cyst that formed at the tip of the tooth root.
With an accurate diagnosis and prompt response, the tooth can be saved,
and you can quickly return to daily life without facial swelling or pain.
Seoul Ob Dental Hospital provides the best treatment tailored to each patient’s condition,
based on precise surgery performed by an oral surgery specialist
and a university-hospital-level safety system.
The photos used in this post are
real cases of patients treated at Seoul Ob Dental Hospital,
and this post was written to share medical information with the patient’s consent.
