서울오브치과병원
하루 만에 치아톤 업! 서울오브치과 미백 시술 후기
서울오브치과병원 서울특별시 송파구 백제고분로 196 4층, 5층 안녕하세요! 서울오브치과병원입니다. 오늘은 환자분들이 많이 궁금해하시는 전문가 미백 치료에 대해 소개해드릴게요. 홈케어로는 해결되지 않던 누런 치아, 병원에서 단시간에 밝게 바꿀 수 있습니다. 치아미백이란? 치아 미백이란? 치아 미백...
서울오브치과병원 서울특별시 송파구 백제고분로 196 4층, 5층
안녕하세요!
서울오브치과병원입니다.
오늘은 환자분들이 많이 궁금해하시는
전문가 미백 치료에 대해 소개해드릴게요.
홈케어로는 해결되지 않던 누런 치아,
병원에서 단시간에 밝게 바꿀 수 있습니다.
치아미백이란?

치아 미백이란?
치아 미백은 변색된 치아 표면을 안전한
전문가 약제를 통해 밝게 만들어주는 시술입니다.
나이가 들면서 자연스럽게 어두워진 치아 색상,
커피·와인·담배 등으로 인해 생긴 착색은
전문 미백 치료로 개선할 수 있습니다.
서울오브치과병원의 전문가 미백은
☑️ 고농도 약제 + 특수 광선 조사를 병행하여
☑️ 시술 당일에도 눈에 띄는 변화를 기대할 수 있습니다.
이런 분들께 추천합니다
• 밝은 인상을 만들고 싶은 분
• 면접, 촬영 등 중요한 일정이 있으신 분
• 홈미백으로 효과를 못 보신 분
• 누런 치아가 스트레스였던 분
치료과정
치료 과정 (소요시간 1시간-1시간30분)
① 초진 진단
– 변색 원인과 치아 상태를 확인합니다.
② 스케일링 (필요 시)
– 치석 제거 후 미백 약제가 잘 작용하도록 준비합니다.
③ 전문가 미백 3회 진행
– 고농도 미백제 도포 후 특수광 조사(10-15분)
④ 색상 확인 및 마무리
– 치료 전·후 색상 비교, 추가 미백 여부 상담
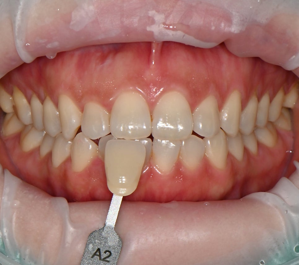
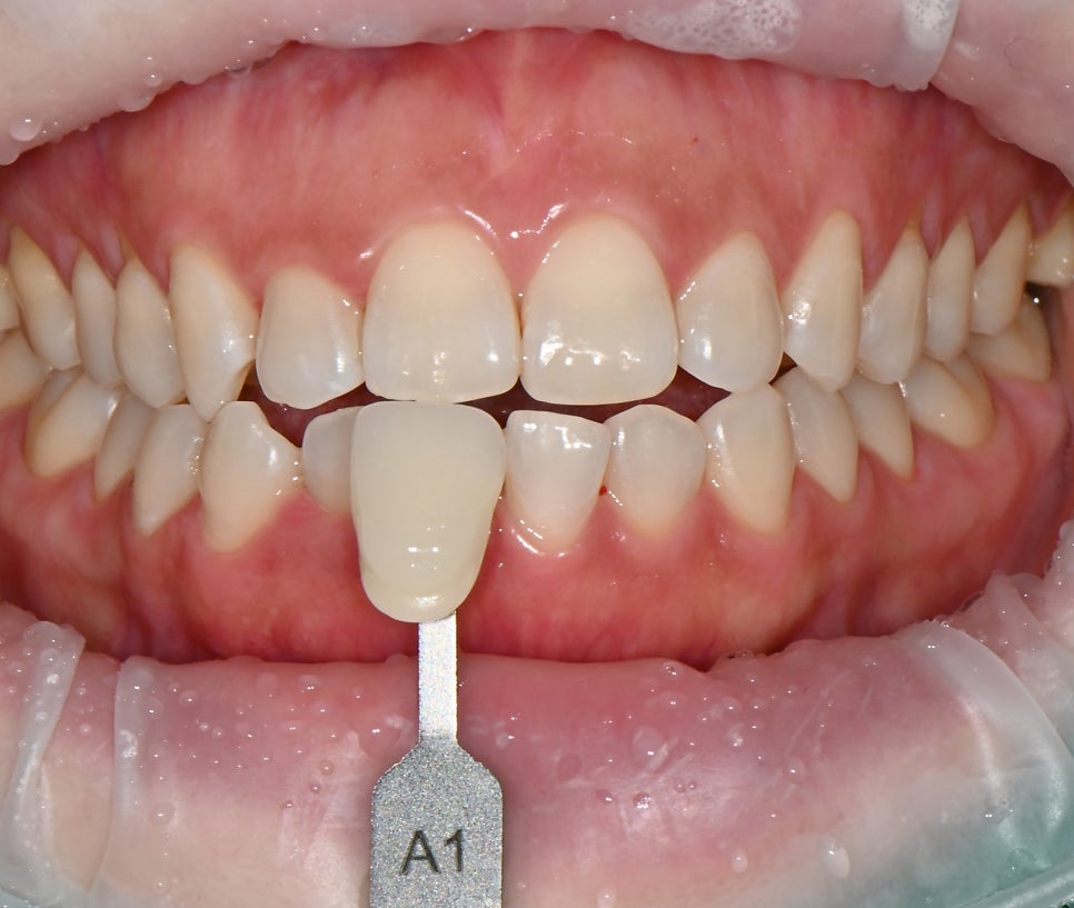
치아미백 케이스
20대 직장인 여성 환자분의 이야기
A2이었던 치아가 원데이 치아미백 시술 후 A1까지 밝아졌고,
입술색과 조화를 이루며 전체적인 인상이 훨씬 또렷해졌습니다.
환자분도 “눈으로 봐도 티가 나서 신기해요!”라며 만족하셨습니다.
치료기간:2025년 2월 5일 (1일내원)

<Before>

<After>
자주 묻는 질문
자주 묻는 질문
Q1. 미백은 한 번만 받아도 되나요?
→ 개인차가 있지만, 1~2회로도 충분한 톤 변화가 가능한 경우가 많습니다.
Q2. 미백 후 시릴 수 있나요?
→ 일시적으로 시릴 수 있지만, 대부분 1~2일 내 회복됩니다.
Q3. 라미네이트나 크라운에도 미백이 되나요?
→ 인공 보철물은 색이 바뀌지 않기 때문에, 미백은 자연치 대상으로만 적용됩니다.
치아 색만 바뀌어도 전체 인상이 훨씬 밝고 또렷하게 보입니다.
서울오브치과병원은 안전하고 빠른 전문가 미백을 통해
치아 색상 개선과 시림 관리를 동시에 제공합니다.
스케일링이나 라미네이트 전,
또는 특별한 이벤트를 앞둔 날에도
가볍게 치아 톤 업, 오브에서 시작하세요.
Explore More
Keep Browsing This Clinic's Korean Content Trail.
Return to the source archive for more posts, or move back to the clinic profile to compare the rest of the clinic's public channels.