Seoul Of Dental Hospital
4th and 5th Floors, 196 Baekjegobun-ro, Songpa-gu, Seoul
Hello!
This is Seoul Of Dental Hospital.
Today, we’d like to introduce professional whitening treatment,
which many patients are curious about.
Yellowed teeth that couldn’t be improved with home care
can be made brighter in a short time at the clinic.
What Is Teeth Whitening?

What Is Teeth Whitening?
Teeth whitening is a procedure that safely brightens
stained tooth surfaces using professional-grade agents.
Teeth that have naturally darkened with age,
or discoloration caused by coffee, wine, or smoking,
can be improved with professional whitening treatment.
At Seoul Of Dental Hospital, professional whitening
☑️ combines a high-concentration agent with special light exposure,
☑️ so noticeable changes can be expected even on the day of treatment.
Recommended For
• People who want a brighter impression
• Those with important schedules such as interviews or photo shoots
• People who did not see results with home whitening
• People stressed by yellow teeth
Treatment Process
Treatment process (time required: 1 hour to 1 hour 30 minutes)
① Initial consultation and diagnosis
– We check the cause of discoloration and the condition of the teeth.
② Scaling (if needed)
– After removing tartar, we prepare the teeth so the whitening agent can work properly.
③ Professional whitening performed 3 times
– After applying a high-concentration whitening agent, special light is applied (10–15 minutes)
④ Color check and completion
– Compare the tooth color before and after treatment, and consult about whether additional whitening is needed
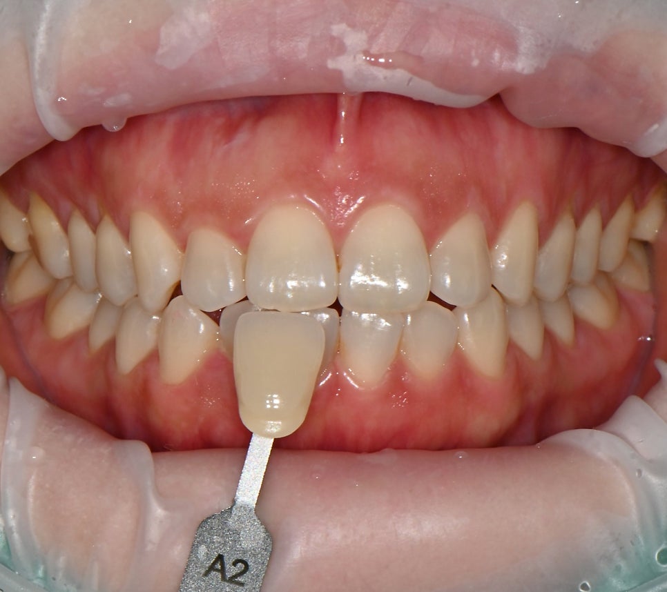
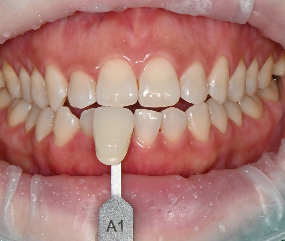
Teeth Whitening Case
A Story from a Female Office Worker in Her 20s
Teeth that were A2 became A1 after a one-day teeth whitening procedure,
and the overall impression became much clearer, harmonizing with the lip color.
The patient was also satisfied, saying, “It’s so noticeable even by eye—it’s amazing!”
Treatment date: February 5, 2025 (one-day visit)
<Before>
<After>
Frequently Asked Questions
Frequently Asked Questions
Q1. Is one whitening session enough?
→ It varies by person, but in many cases, noticeable tone changes are possible with just 1–2 sessions.
Q2. Can teeth become sensitive after whitening?
→ Temporary sensitivity may occur, but in most cases it recovers within 1–2 days.
Q3. Can laminate veneers or crowns be whitened?
→ Artificial restorations do not change color, so whitening is applied only to natural teeth.
Even if only the color of your teeth changes, your overall impression can look much brighter and clearer.
Seoul Of Dental Hospital provides safe and quick professional whitening
while improving tooth color and managing sensitivity at the same time.
Before scaling or laminate veneers,
or even on the day before a special event,
start with a simple teeth tone-up at Of.