서울오브치과병원
치과 공포 있으신가요? 수면진료로 신경치료, 임플란트 수술까지 걱정 없이!
🦷 임플란트와 신경치료 수면으로 가능할까요? 안녕하세요, 서울오브치과병원입니다💚 임플란트 수술, 신경치료.. 이름만 들어도 왠지 무섭고 피하고 싶으셨죠? "마취해도 아픈 거 아닌가요?" "진동이나 소리 때문에 불안해서 못 앉아있겠어요" 이런 걱정으로 진료를 미루셨던 분들, 이제는 수면진정법으로 편안하게 치료받는 방...
🦷 임플란트와 신경치료 수면으로 가능할까요?
안녕하세요, 서울오브치과병원입니다💚
임플란트 수술, 신경치료.. 이름만 들어도 왠지 무섭고 피하고 싶으셨죠?
"마취해도 아픈 거 아닌가요?"
"진동이나 소리 때문에 불안해서 못 앉아있겠어요"
이런 걱정으로 진료를 미루셨던 분들,
이제는 수면진정법으로 편안하게 치료받는 방법이 있습니다.
서울오브치과병원에서는 신경치료도 수면진료로 진행이 가능하며,
치료 중 통증이나 두려움 없이 마치 ‘자는 듯한’ 상태에서 모든 과정을 마칠 수 있습니다😊
😴 의식하 진정법이란?
의식하 진정법은 의식은 남아 있지만, 심리적으로 깊이 안정된 상태를 만드는 수면치료 방식입니다.
정맥을 통해 진정제를 투여해 긴장을 풀고, 고통에 대한 민감도를 낮추기 때문에
치료 중 통증이나 공포를 거의 느끼지 않게 됩니다.
🌀 주요 특징
-
내시경, 위내시경 등에도 사용하는 안전한 진정 기법
-
호흡은 스스로 유지되며 의사소통도 가능한 상태
-
치료 후엔 기억이 흐릿하거나, 마치 잠든 것처럼 느껴지는 경우가 많음
서울오브치과병원에서는
신경치료뿐만 아니라 발치, 크라운, 스케일링 등 다양한 진료에 수면진료가 가능합니다.
📸 수면 치료 실제 사례
다음은 서울오브치과병원에서 신경치료와 임플란트를 진행한 실제 사례입니다.
치료 전에는 염증과 통증으로 인해 일상생활이 어려웠지만,
치료 후에는 건강한 치아 구조를 회복하고 불편감 없이 생활하고 계십니다.
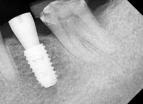
🖼️ 치료 전 사진


왼쪽 사진: 치료 전 전체 엑스레이(파노라마 사진)입니다.
오른 사진: 신경치료 전, 기존 크라운(씌운 치아)을 제거하고 촬영한 부분 엑스레이입니다.
➡ 오래된 보철물 안쪽으로 충치가 깊게 생겨, 신경치료가 꼭 필요한 상태였습니다.
➡ 통증과 불편감이 있었고, 신경치료와 함께 앞쪽 빠진 치아 부위는 임플란트를 통해 기능 회복도 함께 진행했습니다.
🖼️ 치료 후사진


왼쪽 사진: 신경치료와 임플란트, 보철 치료까지 모두 마친 후 촬영한 전체 파노라마 엑스레이입니다.
오른쪽 사진: 신경치료가 완료된 치아와 임플란트가 잘 자리잡은 모습을 보여주는 부분 엑스레이입니다.
➡ 신경치료가 끝난 치아는 뿌리까지 약재로 잘 채워졌고, 그 위에 보철물(크라운)도 잘 씌워졌습니다.
➡ 빠졌던 어금니도 임플란트로 기능이 회복되어, 환자분은 씹는 힘과 편안함 모두 만족하셨습니다.
📍 수면진료 진행 과정 요약
-
진정제 투약 후 편안히 진정된 상태에서 치료 시작
-
치근관 소독 및 약물 충전까지 1차 치료 마무리
-
치료 중 통증·불안감 없음, 체감상 짧은 시간에 종료
-
이후 크라운 보철로 기능적 회복까지 완료
-
🧴 원하실 경우, 수면치료 중 비타민 수액 등 수액요법도 병행 가능하여 치료 후 회복을 돕고 컨디션 개선에도 효과적입니다.
📌 신경치료 & 수면치료 주의사항
✅ 신경치료 후 주의사항
-
치료 직후 시큰하거나 씹을 때 불편할 수 있음
-
단단한 음식은 피하고, 지정된 내원 일정 지키기, 치료를 미룰 경우 이가 깨질수 있음
-
신경치료는 보통 2~4회 내원 필요
-
치료 후에는 반드시 크라운 보철로 마무리할 것
😴 수면진료 전/후 주의사항
-
치료 당일 공복 유지 필수 (최소 8시간)
-
반드시 보호자 동반 권장
-
치료 후 어지럼증이나 졸림 있을 수 있어 당일 운전 금지
-
수면진료 후에는 충분한 휴식이 필요
💡 마무리하며
‘신경치료는 아프다’, ‘임플란트 수술은 무섭다’ 는 생각 때문에 치료를 미루고 계셨다면,
서울오브치과병원의 의식하 수면진료 시스템으로
편안하고 부드럽게 치료를 받아보시기 바랍니다.
💚 덴탈포비아로 치료를 미루셨던 분
💚 오래 방치된 치아로 통증이 심한 분
💚 아이나 고령의 보호자분까지
누구나 부담 없이 치료받으실 수 있도록 최선을 다하겠습니다.
🏥 서울오브치과병원 소개
서울오브치과병원은
서울대 출신 구강악안면외과 전문의를 중심으로 보철과, 보존과등 5인의 전문의 협진 시스템을 운영하며
응급진료부터 미용치료까지 가능한 송파구 최대 규모 치과병원입니다.
✅ 전 직원 전문 치과위생사 근무
✅ 병원 내 기공소 운영, 치과 기공사 근무
✅ 외국인 진료 가능
✅ 대학병원급 완벽 멸균 시스템, 수면진료 장비 및 전신 모니터링 시스템 보유
✅ 티맵/네이버지도/카카오맵에서 ‘서울오브치과’ 검색 시 주차 안내 가능, 건물 뒤편 핑크색 주차장 이용 가능
✅ 카카오톡 채널: 서울오브치과병원, 네이버 톡톡: 서울오브치과병원
서울오브치과병원 서울특별시 송파구 백제고분로 196 4층, 5층
Explore More
Keep Browsing This Clinic's Korean Content Trail.
Return to the source archive for more posts, or move back to the clinic profile to compare the rest of the clinic's public channels.