🦷 Can implants and root canal treatment be done with sedation?
Hello, this is Seoul Of Dental Hospital💚
Implant surgery, root canal treatment... just hearing the names can make you feel scared and want to avoid them, right?
"Doesn't it still hurt even with anesthesia?"
"I get so anxious because of the vibration and noise that I can't sit still"
For those who have postponed treatment because of these worries,
there is now a way to receive care comfortably with sedation.
At Seoul Of Dental Hospital, even root canal treatment can be performed with sedation,
and all procedures can be completed in a state that feels like you are 'sleeping,' without pain or fear during treatment😊
😴 What is conscious sedation?
Conscious sedation is a sedation method that keeps you conscious while creating a psychologically deeply relaxed state.
By administering sedatives through a vein, it relieves tension and lowers sensitivity to pain,
so you barely feel pain or fear during treatment.
🌀 Main features
-
A safe sedation technique also used for endoscopy and upper endoscopy
-
You maintain your own breathing and can still communicate
-
After treatment, memory is often foggy, or it may feel like you were asleep
At Seoul Of Dental Hospital,
sedation treatment is available not only for root canal treatment but also for extractions, crowns, scaling, and various other procedures.
📸 Real examples of sedation treatment
Below is a real case in which root canal treatment and implants were performed at Seoul Of Dental Hospital.
Before treatment, inflammation and pain made daily life difficult,
but after treatment, the patient recovered healthy tooth structure and is now living without discomfort.
🖼️ Before treatment photo


Left photo: Full-mouth X-ray (panoramic image) before treatment.
Right photo: Partial X-ray taken before root canal treatment after removing the existing crown (covered tooth).
➡ Deep decay had developed inside the old prosthesis, and root canal treatment was absolutely necessary.
➡ There was pain and discomfort, and along with root canal treatment, functional restoration was also performed with an implant in the missing front-tooth area.
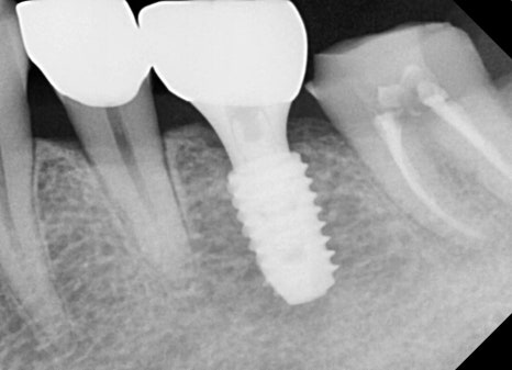
🖼️ After treatment photo


Left photo: Full panoramic X-ray taken after all root canal, implant, and prosthetic treatment were completed.
Right photo: Partial X-ray showing the treated tooth after root canal treatment and the implant well positioned.
➡ The tooth that received root canal treatment was properly filled all the way to the root with medication, and a prosthesis (crown) was placed well on top.
➡ The missing molar was also functionally restored with an implant, and the patient was satisfied with both chewing strength and comfort.
📍 Summary of the sedation treatment process
-
Treatment begins in a comfortably sedated state after the sedative is administered
-
The first stage is completed with root canal disinfection and medication filling
-
No pain or anxiety during treatment; it feels as if it ends in a short time
-
Functional recovery is then completed with crown prosthetics
-
🧴 If desired, intravenous therapy such as vitamin infusions can also be combined during sedation treatment to help recovery after treatment and improve your condition
📌 Precautions for root canal treatment & sedation treatment
✅ Precautions after root canal treatment
-
You may feel soreness or discomfort when chewing right after treatment
-
Avoid hard foods, keep your scheduled follow-up visits, and do not delay treatment, as the tooth may crack
-
Root canal treatment usually requires 2–4 visits
-
After treatment, it must be completed with a crown prosthesis
😴 Precautions before/after sedation treatment
-
Fasting on the day of treatment is mandatory (at least 8 hours)
-
Having a guardian accompany you is strongly recommended
-
Dizziness or drowsiness may occur after treatment, so do not drive on the same day
-
충분한 휴식 is needed after sedation treatment
💡 In closing
If you have been delaying treatment because you think, 'Root canal treatment hurts' or 'Implant surgery is scary,'
we recommend receiving care comfortably and gently through Seoul Of Dental Hospital's conscious sedation system.
💚 For those who have delayed treatment due to dental phobia
💚 For those with severe pain from teeth left untreated for a long time
💚 Even for children or elderly guardians
We will do our best so that anyone can receive treatment without 부담.
🏥 About Seoul Of Dental Hospital
Seoul Of Dental Hospital
centers on oral and maxillofacial surgery specialists from Seoul National University and operates a collaboration system with five specialists in prosthodontics, conservative dentistry, and more,
making it the largest dental hospital in Songpa-gu, offering care from emergency treatment to cosmetic treatment.
✅ All staff are professional dental hygienists
✅ On-site dental lab operation, with dental technicians on staff
✅ Treatment available for foreign patients
✅ University-hospital-level sterilization system, sedation treatment equipment, and full monitoring system
✅ Parking guidance available when searching '서울오브치과' on TMAP/Naver Map/Kakao Map; pink parking lot behind the building available
✅ KakaoTalk channel: Seoul Of Dental Hospital, Naver TalkTalk: Seoul Of Dental Hospital
Seoul Of Dental Hospital
4F, 5F, 196 Baekjegobun-ro, Songpa-gu, Seoul