서울오브치과병원
해외 체류 중에도 가능한 앞니 보철 교체! 단기 일정에 맞춘 자연스러운 미소 완성✨
✈️해외 거주 중인 환자의 빠른 앞니 보철 교체 – 단기 체류 4개월 내 완성! 안녕하세요. 서울오브치과병원입니다.💚 오늘은 해외에 거주 중인 30대 여성 환자분의 앞니 보철 치료 사례를 소개해드리려 합니다. 환자분은 오랜 기간 사용해온 앞니 보철물에 대해 색상·형태의 불만족을 느끼고 계셨고, 한국 방문 일정이...
✈️해외 거주 중인 환자의 빠른 앞니 보철 교체 – 단기 체류 4개월 내 완성!
- 안녕하세요. 서울오브치과병원입니다.💚
오늘은 해외에 거주 중인 30대 여성 환자분의 앞니 보철 치료 사례를 소개해드리려 합니다.
환자분은 오랜 기간 사용해온 앞니 보철물에 대해 색상·형태의 불만족을 느끼고 계셨고,
한국 방문 일정이 약 4개월밖에 되지 않아, 짧은 기간 내 빠르고 완성도 높은 치료를 희망하셨습니다.
- 앞니 보철, 단순한 ‘교체’가 아닌 ‘디자인’의 문제
앞니 보철은 단순히 기능적인 회복을 넘어서
얼굴 인상을 바꾸는 심미적인 치료입니다.
이번 치료에서는 윗 앞니포함 작은어금니까지 전체적으로 총 8개의 보철을 교체하였습니다.
앞니는 입술선·미소 라인·얼굴 비율까지 고려해야 하며,
특히 양옆 치아와의 조화로운 디자인이 더욱 중요합니다.
서울오브치과병원은 전담 기공사와 협업하여
자연치처럼 이질감 없이 완성도 높은 앞니 라인을 구현해냈습니다.
환자분도 치료 직후부터 “이제는 웃을 때 자신감이 생긴다”며 만족해하셨어요 😊
- 치료 전후 비교 – 자연스러움의 기준을 다시 만들다
“기존 앞니는 오래된 재료로 채워져 있었고, 색과 모양이 제각각이라 웃을 때 앞니 라인이 어색해 보였습니다.”
“치료 후에는 치아의 곡선과 밝기, 잇몸 경계까지 자연스럽게 조화를 이루어 더 부드럽고 건강한 인상을 만들어줍니다.”
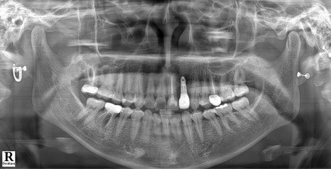
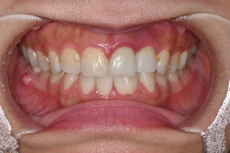
- 치료 전


왼쪽 사진: “처음 내원 시 찍은 엑스레이입니다. 앞니 중간에 있는 치아(#22번)는 임플란트가 심어져 있었고, 나머지는 모두 본인의 자연치였습니다.”
오른쪽 사진: “기존 보철물은 치아마다 색이 다르고 형태가 일정하지 않아, 앞니 라인이 울퉁불퉁하고 자연스럽지 않아 보였습니다.”
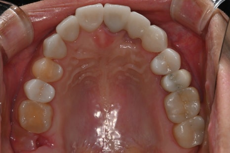
- 치료 후


왼쪽 사진: 치료 후 정면 모습입니다. 옆 치아와 조화롭게 어우러져, 환하게 웃을 수 있는 앞니 라인이 완성되었습니다.
오른쪽 사진: “치료 후 윗니 안쪽 모습입니다. 보철물의 색상, 곡선, 위치까지 세심하게 맞춰 자연치처럼 복원되었습니다.”
이번 보철은 환자분의 얼굴형, 미소 습관, 잇몸 상태까지 고려해 맞춤 디자인되었으며,
치료 이후 전체적인 인상과 조화로움이 개선되었다는 피드백을 받았습니다.
- 짧은 체류 기간, 빠른 진료 – 그러나 완성도는 그대로
4개월이라는 짧은 일정 속에서도 서울오브치과병원은 다음과 같은 시스템으로
정확하고 빠른 보철 치료를 가능하게 합니다.
-
✅ 치과 기공사 근무 & 병원 내 기공실 운영, 보철물 직접 제작
-
✅ 전직원 전문 교육 받은 치과위생사 근무중
-
✅ 구강스캐너 활용한 빠르고 정확한 본뜨기
-
✅ 서울대 출신 구강외과·보철과·보존과 등 5인 전문의 협진 진료
-
✅ 환자분 일정에 맞춘 맞춤 진료 계획 수립
앞니 보철뿐 아니라, 환자분이 계획하셨던 다른 치료들도 모두 다 마무리해드릴 수 있었고,
환자분은 만족스러운 미소로 다시 해외로 돌아가셨습니다 🌍
- 🏥 서울오브치과병원은
-
송파구 최대 규모 치과병원 (삼전역 3번 출구 앞)
-
대학병원 급 완벽 멸균 시스템
-
구강내시경 등의 최신 장비 보유중
-
365일 진료 & 야간 진료 운영 / 119 협력 응급기관
-
외국인 환자 진료 가능
📍 서울시 송파구 백제고분로 196, 4층~5층, 주차 가능
📞 진료예약: 02-418-2275
💬 카카오톡 채널: @서울오브치과 / 네이버 톡톡
🚗 주차 안내: 네이버·카카오·티맵에서 ‘서울오브치과’ 검색 → 건물 뒤편 핑크색 주차장 이용 가능
서울오브치과병원 서울특별시 송파구 백제고분로 196 4층, 5층
Explore More
Keep Browsing This Clinic's Korean Content Trail.
Return to the source archive for more posts, or move back to the clinic profile to compare the rest of the clinic's public channels.