✈️ Fast front tooth prosthetic replacement for a patient living overseas – completed within a short 4-month stay!
- Hello, this is Seoul Ob Dental Hospital.💚
Today, we would like to introduce a front tooth prosthetic treatment case for a female patient in her 30s who lives overseas.
The patient had long been dissatisfied with the color and shape of her front tooth prosthetics,
and because she only had about four months scheduled for a visit to Korea, she hoped for fast, high-quality treatment within a short period.
- Front tooth prosthetics: not just a matter of “replacement,” but of “design”
Front tooth prosthetics are not simply about functional restoration.
They are an aesthetic treatment that changes the impression of the face.
In this treatment, a total of 8 prosthetics were replaced overall, including the upper front teeth and premolars.
Front teeth require consideration of the lip line, smile line, and facial proportions,
and a harmonious design with the adjacent teeth is especially important.
Seoul Ob Dental Hospital worked with a dedicated dental technician
to create a highly refined front tooth line with no sense of foreignness, like natural teeth.
Right after treatment, the patient was also satisfied, saying, “Now I feel more confident when I smile.” 😊
- Before-and-after comparison – redefining the standard for naturalness
“The existing front teeth had been filled with old materials, and because the color and shape were all different, the front tooth line looked awkward when smiling.”
“After treatment, the curve, brightness, and even the gum margin of the teeth harmonize naturally, creating a softer and healthier impression.”


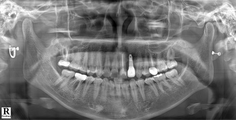
Left photo: “This is the X-ray taken at the patient’s first visit. The tooth in the middle of the front teeth (#22) had an implant placed, and the others were all natural teeth.”
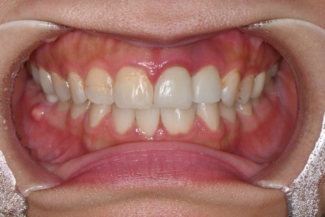
Right photo: “The existing prosthetics had different colors for each tooth and inconsistent shapes, making the front tooth line look uneven and unnatural.”


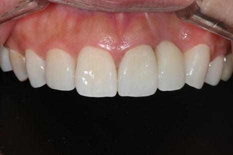
Left photo: This is the front view after treatment. It blends harmoniously with the adjacent teeth, completing a front tooth line that allows the patient to smile brightly.
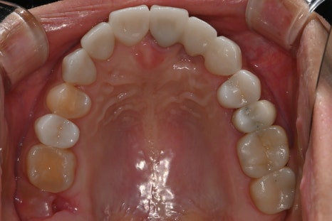
Right photo: “This is the inside view of the upper teeth after treatment. The color, curve, and position of the prosthetics were carefully matched and restored to look like natural teeth.”
This prosthetic work was custom-designed with the patient’s face shape, smile habits, and gum condition in mind,
and after treatment, we received feedback that the overall impression and harmony had improved.
- Short stay, fast treatment — but the quality remains the same
Even within a short 4-month schedule, Seoul Ob Dental Hospital makes accurate and fast prosthetic treatment possible through the following system.
-
✅ In-house dental technician on staff & in-house laboratory operation, direct fabrication of prosthetics
-
✅ Dental hygienists on staff with specialized training for all employees
-
✅ Fast and accurate impressions using an intraoral scanner
-
✅ Collaborative treatment by 5 specialists from Seoul National University in oral surgery, prosthodontics, and conservative dentistry, etc.
-
✅ Customized treatment planning tailored to the patient’s schedule
Not only the front tooth prosthetics, but also all of the other treatments the patient had planned were completed,
and the patient returned overseas with a satisfied smile 🌍
- 🏥 Seoul Ob Dental Hospital
-
The largest dental hospital in Songpa-gu (in front of Exit 3 of Samjeon Station)
-
University-hospital-level, fully sterilized system
-
Equipped with the latest devices such as an intraoral endoscope
-
Open 365 days a year & evening hours / 119 cooperative emergency medical institution
-
Treatment available for foreign patients
📍 4th–5th floors, 196 Baekjegobun-ro, Songpa-gu, Seoul, parking available
📞 Appointment: 02-418-2275
💬 KakaoTalk channel: @서울오브치과 / Naver TalkTalk
🚗 Parking guide: Search ‘서울오브치과’ on Naver, Kakao, or Tmap → Pink parking lot behind the building available
Seoul Ob Dental Hospital
4th and 5th floors, 196 Baekjegobun-ro, Songpa-gu, Seoul