서울오브치과병원
교정치과가 없어졌다면? 유지장치 탈락 시 대처법
치과 교정유지장치 탈락, 어떻게 해야 하나요? 안녕하세요. 서울오브치과병원입니다.💚 교정치료를 받았던 병원이 멀리 있거나 폐업한 경우, ‘유지장치가 떨어졌을 때 어디로 가야 하나요?’라는 고민이 생기기 마련입니다. 특히 서울로 취업해 올라오신 직장인 분들이나, 10년 이상 지난 교정 유지장치가 변형되거나 파손되는...
치과 교정유지장치 탈락, 어떻게 해야 하나요?
안녕하세요. 서울오브치과병원입니다.💚
교정치료를 받았던 병원이 멀리 있거나 폐업한 경우,
‘유지장치가 떨어졌을 때 어디로 가야 하나요?’라는 고민이 생기기 마련입니다.
특히 서울로 취업해 올라오신 직장인 분들이나,
10년 이상 지난 교정 유지장치가 변형되거나 파손되는 경우엔
빠른 대처가 꼭 필요합니다.
오늘은 그런 상황에서 어떻게 해야 하는지, 실제 사례를 바탕으로 안내드릴게요 😊
교정치료 후, 왜 유지장치가 필요할까요?
치아는 움직였던 방향으로 다시 돌아가려는 성질이 있어 교정치료 후 유지장치 착용은 필수입니다.
유지장치는 보통 1~2년 이상 착용하게 되며, 그 후에도 치열을 안정적으로 유지하고 싶다면
정기적인 검진과 유지장치 점검이 필요합니다.
고정식 유지장치(Fixed retainer)는 시간이 지나면 접착력이 약해지고,
철사 자체도 휘거나 끊어질 수 있어 ‘재제작’이 필요한 경우가 많습니다.
환자분 사례: 10년 전 교정 마무리 후 유지장치 탈락
이번에 내원하신 환자분은 10년 전에 다른 병원에서 교정치료를 마무리하신 분이었어요.
최근 왼쪽 아래쪽 고정식 유지장치가 끊어지고, 오른쪽은 아예 탈락된 상태로 내원하셨습니다.
치아 배열도 살짝 변화가 시작된 상태였고,
오래된 유지장치가 변형까지 있어 유지 효과가 떨어지는 상황이었습니다.
서울오브치과에서는
✔️ 남아있는 유지장치 제거,
✔️ 첫날 바로 인상 채득 후
✔️ 새로 유지장치 제작을 진행해드렸습니다.
📸 환자분 동의 받고 올리는 실제 본원 치료 포토입니다.
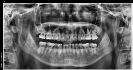
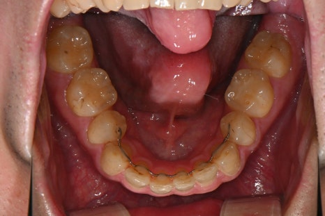
- 치료 전


왼쪽 사진: 교정치료를 마친 지 약 10년이 지난 상태로, 전체 치열과 유지장치가 부착된 위치를 확인할 수 있는 엑스레이 사진입니다.
오른쪽 사진: 왼쪽 아래쪽 철사가 끊어지고, 오른쪽은 유지장치가 완전히 떨어져 치아 사이에 틈이 생긴 모습입니다.
시간이 지나며 유지장치가 약해져 제 기능을 못하고 있었어요.
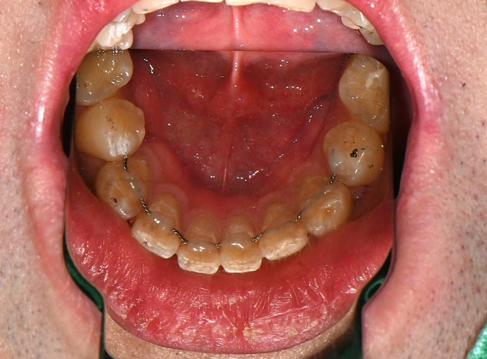
-치료 후

재제작한 고정 유지장치 부착 완료 후 모습입니다.
남아 있던 낡은 철사를 제거하고, 새롭게 본을 떠 정밀하게 제작한 유지장치를 다시 붙였습니다.
치아에 딱 맞게 밀착되어 앞으로 치열이 다시 흐트러지지 않도록 도와주는 역할을 합니다.
유지장치 파손 시, 어떻게 해야 할까요?
다음과 같은 경우엔 반드시 치과에 방문하셔야 합니다:
🔹 유지장치 철사가 끊어졌거나 떨어졌을 때
🔹 오래된 고정식 장치가 휘어져 음식물 끼임이 심할 때
🔹 치아 사이에 벌어짐이나 회전이 생기기 시작했을 때
특히 유지장치가 떨어진 채 방치하면
수년간 쌓아온 교정결과가 무너질 수 있으니
빠른 진단과 조치가 중요합니다.
마무리하며
교정치료는 끝났지만,
‘유지’가 제대로 되지 않으면 다시 시작해야 할 수도 있습니다.
서울오브치과병원에서는 정식 교정 진료는 하지 않지만,
💡 간단한 유지장치 재부착이나 재제작은 충분히 가능합니다.
오랜 교정 후 유지관리가 필요한 분들,
교정치과가 사라졌거나 멀어져서 고민하셨던 분들께
서울오브치과가 실질적인 도움을 드릴 수 있어 다행이었습니다 😊
서울오브치과병원 소개
📍 서울시 송파구 백제고분로 196, 4층~5층, 주차 가능
📞 02-418-2275
🅿️ 주소는 티맵·네이버지도·카카오맵에서 '서울오브치과' 검색 → 건물 뒤편 '핑크색 주차장' 안내
💬 카카오톡 ID: @서울오브치과 / 네이버 톡톡 상담 가능
서울오브치과병원은
✔️ 서울대 출신 구강외과, 보철과, 보존과 전문의 5인 협진 시스템
✔️ 전 직원 전문 치과위생사 근무
✔️ 교정 및 유지장치 응대 경험이 풍부한 전문 스태프 근무
✔️ 병원내 기공실 운영중, 치과 기공사 근무
✔️ 대학병원급 완벽 멸균 시스템
✔️ 구강스캐너 및 내시경 등 최신 장비 보유
365일 진료, 정밀한 진단과 편안한 치료를 약속드립니다.
서울오브치과병원 서울특별시 송파구 백제고분로 196 4층, 5층
Explore More
Keep Browsing This Clinic's Korean Content Trail.
Return to the source archive for more posts, or move back to the clinic profile to compare the rest of the clinic's public channels.