What should you do if your orthodontic retainer falls off?
Hello. This is Seoul Aub Dental Hospital.💚
If the clinic where you had orthodontic treatment is far away or has closed,
you may naturally wonder, “Where should I go if my retainer comes off?”
This is especially true for office workers who moved up to Seoul for a job,
or when a retainer that was placed more than 10 years ago becomes deformed or damaged.
In situations like these, prompt action is essential.
Today, based on real cases, we’ll explain what to do 😊
Why is a retainer needed after orthodontic treatment?
Teeth have a tendency to move back toward their original positions, so wearing a retainer after orthodontic treatment is essential.
Retainers are usually worn for 1 to 2 years or longer, and if you want to keep your teeth aligned stably even after that,
regular checkups and retainer inspections are necessary.
Fixed retainers can lose their bonding strength over time,
and the wire itself may bend or break, so in many cases a new one needs to be made.
Patient case: Retainer detached after finishing orthodontic treatment 10 years ago
The patient who visited us this time had completed orthodontic treatment at another clinic 10 years ago.
Recently, the fixed retainer on the lower left side had broken, and the one on the right side had come off completely.
The tooth alignment had also started to change slightly,
and the old retainer had become deformed, reducing its effectiveness.
At Seoul Aub Dental Hospital,
✔️ we removed the remaining retainer,
✔️ took impressions on the first day,
✔️ and proceeded with making a new retainer.
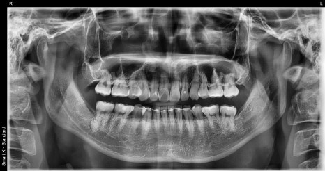
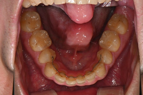
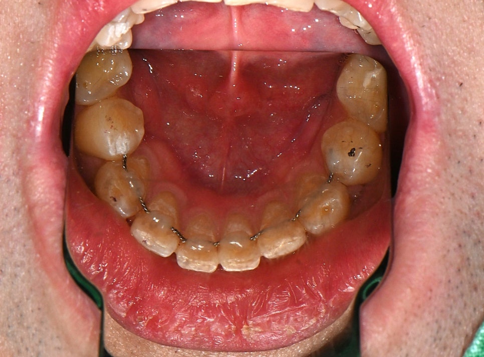
📸 These are actual treatment photos from our clinic, posted with the patient’s consent.


Left photo: An X-ray taken about 10 years after finishing orthodontic treatment, showing the overall tooth alignment and the position where the retainer was attached.
Right photo: The wire on the lower left side has broken, and the retainer on the right side has fallen off completely, creating a gap between the teeth.
Over time, the retainer had weakened and was no longer functioning properly.

This is the result after the remade fixed retainer was attached.
We removed the old remaining wire and attached a newly made, precisely crafted retainer after taking a new impression.
It fits closely to the teeth and helps prevent the alignment from becoming irregular again in the future.
What should you do if a retainer is damaged?
You should definitely visit a dental clinic in the following cases:
🔹 When the retainer wire is broken or has come off
🔹 When an old fixed retainer is bent and food gets stuck frequently
🔹 When gaps between teeth or tooth rotation begin to appear
In particular, if a retainer is left off without treatment,
years of orthodontic results can collapse,
so prompt diagnosis and action are important.
In closing
Orthodontic treatment may be over,
but if “maintenance” is not handled properly, you may have to start again.
Seoul Aub Dental Hospital does not provide full orthodontic treatment,
💡 but simple retainer reattachment or remaking is absolutely possible.
For those who need retainer maintenance after long-term orthodontic treatment,
or those who have been worried because their orthodontic clinic has closed or is too far away,
we were glad that Seoul Aub Dental Hospital could offer practical help 😊
About Seoul Aub Dental Hospital
📍 4th–5th floors, 196 Baekjegobun-ro, Songpa-gu, Seoul, parking available
📞 02-418-2275
🅿️ Search for '서울오브치과' on T Map, Naver Map, or Kakao Map → Follow the 'pink parking lot' guide behind the building
💬 KakaoTalk ID: @서울오브치과 / Naver TalkTalk consultation available
Seoul Aub Dental Hospital
✔️ Collaborative care system with 5 specialists from Seoul National University in oral surgery, prosthodontics, and conservative dentistry
✔️ All staff are licensed dental hygienists
✔️ Specialized staff with extensive experience handling orthodontics and retainers
✔️ In-house dental lab operated by a dental technician
✔️ Hospital-level sterilization system
✔️ Equipped with the latest devices, including an intraoral scanner and endoscope
We promise care 365 days a year, with precise diagnosis and comfortable treatment.
Seoul Aub Dental Hospital
4th and 5th Floors, 196 Baekjegobun-ro, Songpa-gu, Seoul