서울오브치과병원
"틀니가 자꾸 빠진다면? 보험 임플란트 틀니로 해결한 실제 사례"
서울오브치과병원 서울특별시 송파구 백제고분로 196 4층, 5층 70대 남성 환자분 치료 사례 안녕하세요. 서울오브치과병원입니다. 오늘은 상악 완전틀니와 하악 보험 임플란트 틀니를 통해 편하게 식사하고, 밝게 웃을 수 있게 된 70대 남성 환자분의 사례를 소개해 드리겠습니다. 치료기간: 2025년 12월1일~2025년...
서울오브치과병원 서울특별시 송파구 백제고분로 196 4층, 5층
70대 남성 환자분 치료 사례
안녕하세요.
서울오브치과병원입니다.
오늘은 상악 완전틀니와 하악 보험 임플란트 틀니를 통해
편하게 식사하고, 밝게 웃을 수 있게 된
70대 남성 환자분의 사례를 소개해 드리겠습니다.

치료기간: 2025년 12월1일~2025년 4월30일

기존 틀니가 불편하고 자주 빠져요
환자분은 오랜 기간 사용한 상악·하악 부분틀니로
식사와 발음에 불편함을 느껴 내원하셨습니다.
특히 상악의 자연치 대부분은 흔들리고 잇몸도 자주 붓는 상태였고,
하악은 틀니가 자주 들뜬다며 고정력 개선을 원하셨어요.
진단 및 치료 계획
진단 및 치료 계획
진단 결과, 상악은 남아 있는 자연치들을 모두 발치 후
완전틀니 제작이 필요한 상태였습니다.
하악은 남아 있는 치아가 일부 있었지만,
안정적인 틀니 지지를 위해
보험 적용 가능한 2개의 임플란트 식립 후
부분틀니 제작을 계획했습니다.
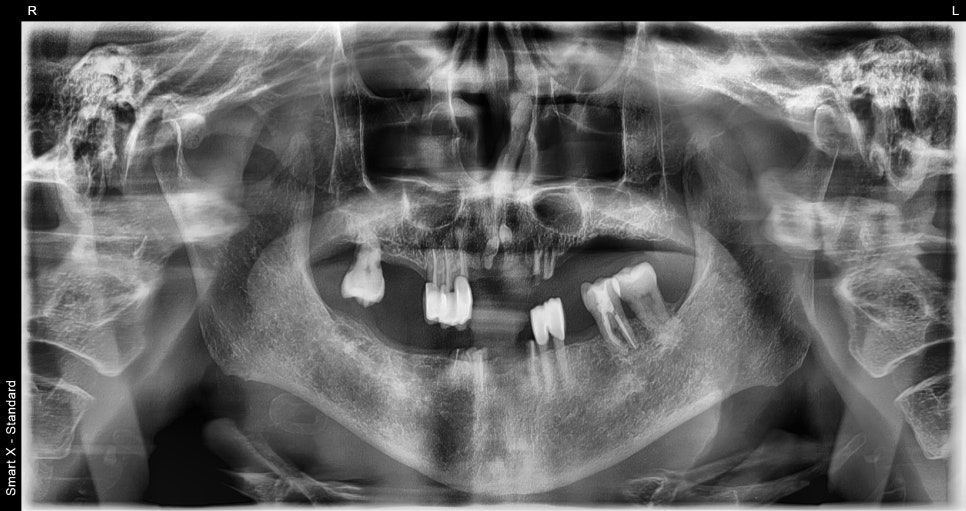
📌 틀니 치료 전 모습
– 상악: 치아
흔들림 심하고, 기존 틀니 적합 불량
– 하악: 부분틀니 고정력 부족, 잇몸 하중 부담




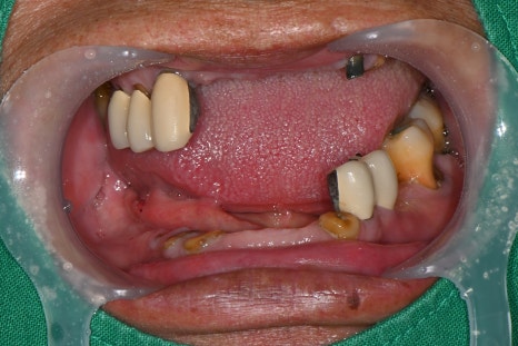
하악 보험 임플란트 식립 후 의 모습

한달 후 상악 전체 발치 진행한 모습
치료 과정
- 상악 치료: 발치 후 완전틀니 제작
불안정한 치아들을 발치한 후 잇몸을 안정화시키고
본을 떠 상악 완전틀니를 새로 제작했습니다.
환자분의 구강 구조에 맞춘 디자인으로 제작되어
착용감과 밀착도가 개선되었습니다.
- 하악 치료: 보험 임플란트 + 부분틀니
하악에는 보험 적용되는 2개의 임플란트를 식립했습니다.
임플란트가 잇몸에 잘 유착된 것을 확인한 후,
임플란트 고리를 이용한 보험 부분틀니를 제작했습니다.
기존보다 훨씬 안정적으로 고정되고, 이물감도 크게 줄었습니다.
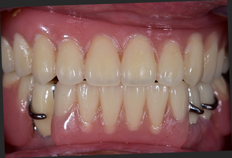
치료 전후 비교
※ 아래 사진은 치료 전후 비교 사진입니다.
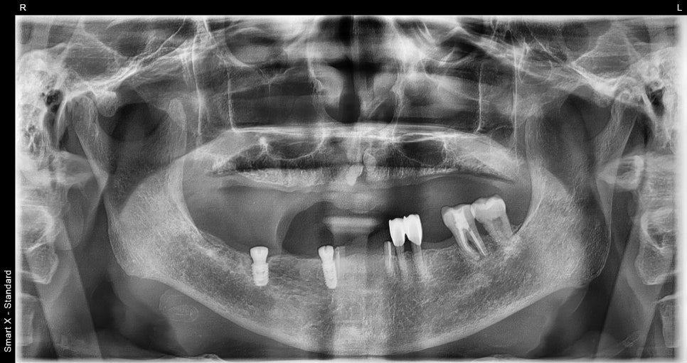
– 상악 완전틀니 장착 후 모습
– 하악 임플란트 식립 후 부분틀니 장착 모습

<Before>

<After>
자주 묻는 질문
자주 묻는 질문
Q1. 보험틀니도 임플란트랑 같이 할 수 있나요?
– 네. 하악에 보험 임플란트 2개까지 식립 후,
보험 기준에 따라 부분틀니를 함께 제작할 수 있습니다.
Q2. 보험틀니는 몇 년마다 만들 수 있나요?
– 건강보험 기준, 완전틀니·부분틀니 모두 7년에 한 번씩 제작 가능합니다.
단, 잦은 파손이나 구조적 문제가 있을 경우 조정 가능합니다.
Q3. 수술은 많이 아픈가요?
– 임플란트 식립은 국소 마취 하에 진행되며,
서울오브치과는 전신 건강을 고려한 안전 시스템을 갖추고 있어
고령 환자분도 부담 없이 받으실 수 있습니다.
치료 기간 요약
상악: 발치 → 잇몸 안정화 → 완전틀니 제작 (약 4~6주 소요)
하악: 보험 임플란트 식립 → 유착 기간(약 2-3개월) → 보험 부분틀니 제작
→ 총 치료 기간: 약 5개월 소요
오래된 틀니로 불편함을 겪고 계시다면,
지금이 바로 편안한 구강 상태를 되찾을 기회입니다.
이번 사례처럼
상악은 완전틀니, 하악은 보험 임플란트 틀니로
고정력과 편안함을 모두 잡을 수 있습니다.
서울오브치과병원은
틀니, 임플란트, 보철치료에 모두 숙련된 전문의 협진 체계를 갖추고 있어
환자 개개인의 구강 상태에 꼭 맞는 맞춤형 치료를 도와드립니다.
본 글에 사용된 모든 사진은
서울오브치과병원에서 치료한 증례 사진이며,
환자분 동의하에 의료 정보 제공 목적으로 게시하였습니다.

Explore More
Keep Browsing This Clinic's Korean Content Trail.
Return to the source archive for more posts, or move back to the clinic profile to compare the rest of the clinic's public channels.