서울오브치과병원
서울특별시 송파구 백제고분로 196 4층, 5층
A Treatment Case of a Male Patient in His 70s
Hello.
This is Seoul Of Dental Hospital.
Today, we’d like to introduce the case of a male patient in his 70s who was able to eat comfortably and smile brightly through an upper complete denture and a lower insurance-covered implant denture.

Treatment period: December 1, 2025 ~ April 30, 2025

The existing denture feels uncomfortable and comes loose often
The patient visited our clinic because he had difficulty eating and speaking with his long-used upper and lower partial dentures.
In particular, most of the natural teeth in the upper jaw were loose and the gums were frequently swollen, and he wanted improved retention because the lower denture often lifted up.
Diagnosis and Treatment Plan
Diagnosis and Treatment Plan
As a result of the diagnosis, the upper jaw required extraction of all remaining natural teeth followed by fabrication of a complete denture.
Although there were still some remaining teeth in the lower jaw,
for stable denture support,
we planned to place two insurance-covered implants
and then fabricate a partial denture.
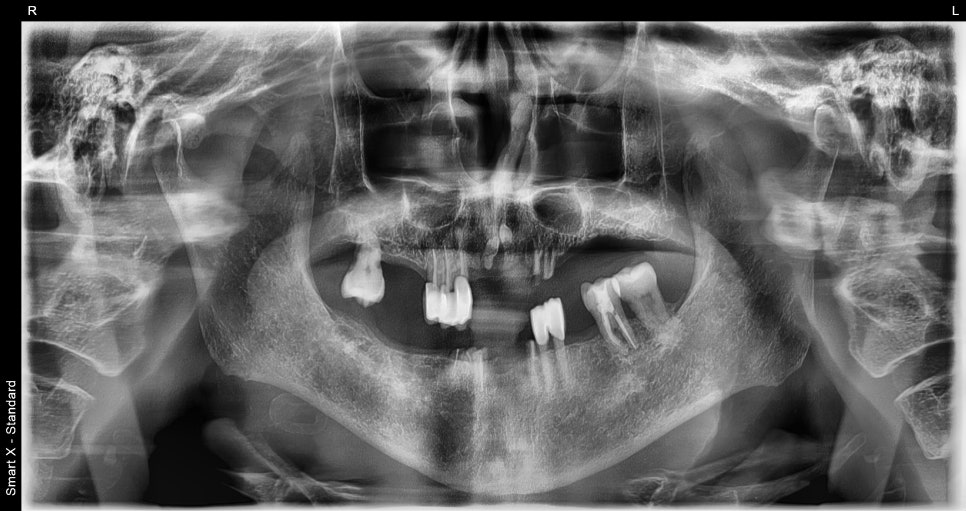
📌 Before Denture Treatment
– Upper jaw: severe tooth mobility, poor fit of existing denture
– Lower jaw: insufficient partial denture retention, load burden on the gums




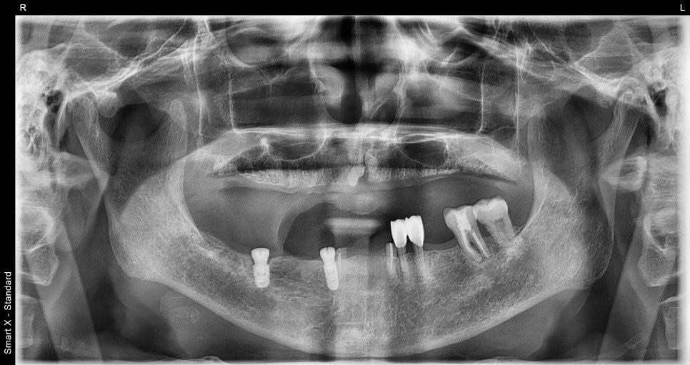
After lower jaw insurance-covered implant placement

After full extraction of the upper teeth one month later
Treatment Process
- Upper jaw treatment: complete denture fabrication after extraction
After extracting the unstable teeth, the gums were allowed to stabilize,
and impressions were taken to newly fabricate an upper complete denture.
It was designed to match the patient’s oral structure,
improving comfort and fit.
- Lower jaw treatment: insurance-covered implants + partial denture
Two insurance-covered implants were placed in the lower jaw.
After confirming that the implants had integrated well with the gums,
an insurance-covered partial denture using implant attachments was fabricated.
It was secured much more stably than before, and the feeling of a foreign body was greatly reduced.
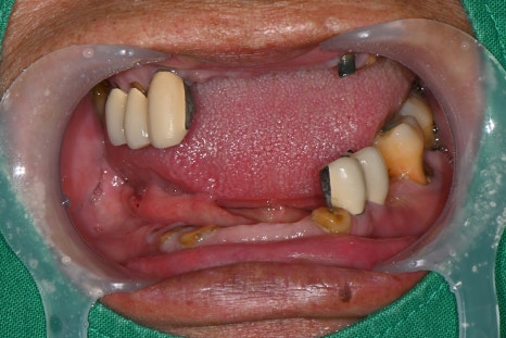
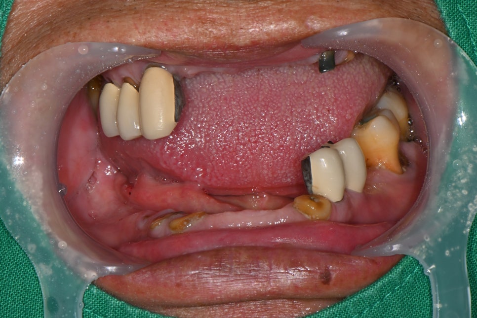
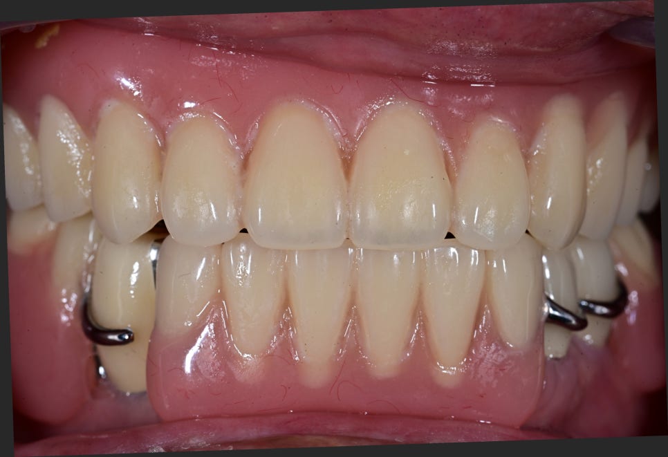
Comparison Before and After Treatment
※ The photos below are before-and-after comparison photos.
– Appearance after upper complete denture placement
– Appearance after lower implant placement and partial denture placement

<Before>

<After>
Frequently Asked Questions
Frequently Asked Questions
Q1. Can insurance-covered dentures be done together with implants?
– Yes. After placing up to two insurance-covered implants in the lower jaw,
an insurance-covered partial denture can be made according to insurance standards.
Q2. How often can insurance-covered dentures be made?
– Under National Health Insurance standards, both complete dentures and partial dentures can be made once every 7 years.
However, adjustments may be made in cases of frequent breakage or structural issues.
Q3. Is the surgery very painful?
– Implant placement is performed under local anesthesia,
and Seoul Of Dental Hospital has a safety system that takes overall health into consideration,
so even elderly patients can undergo the procedure without much burden.
Summary of Treatment Period
Upper jaw: extraction → gum stabilization → complete denture fabrication (about 4–6 weeks)
Lower jaw: insurance-covered implant placement → integration period (about 2–3 months) → insurance-covered partial denture fabrication
→ Total treatment period: about 5 months
If you are experiencing discomfort from an old denture,
now is the time to regain a comfortable oral condition.
As in this case,
you can achieve both stability and comfort with an upper complete denture and a lower insurance-covered implant denture.
Seoul Of Dental Hospital
has a collaborative specialist system with expertise in dentures, implants, and prosthetic treatment,
and helps provide customized treatment tailored to each patient’s oral condition.
All photos used in this article are case photos from treatment performed at Seoul Of Dental Hospital,
and were posted with the patient’s consent for the purpose of providing medical information.
