서울오브치과병원
삼전역치과 "교정 없이, 20대 여성의 앞니 미소라인 오브제로"
서울오브치과병원 서울특별시 송파구 백제고분로 196 4층, 5층 안녕하세요 서울오브치과병원입니다. 오늘은 앞니의 미세한 틈과 색상, 모양 때문에 고민하셨던 20대 여성 환자분의 ‘오브제로 라미네이트’ 치료 사례를 소개해드리려고 합니다. "티 나지 않게, 내 치아 같은 느낌으로 바꾸고 싶어요"라는 환자분의 첫 마디가...
서울오브치과병원 서울특별시 송파구 백제고분로 196 4층, 5층
안녕하세요
서울오브치과병원입니다.
오늘은 앞니의 미세한 틈과 색상, 모양 때문에 고민하셨던 20대 여성 환자분의
‘오브제로 라미네이트’ 치료 사례를 소개해드리려고 합니다.
"티 나지 않게, 내 치아 같은 느낌으로 바꾸고 싶어요"라는
환자분의 첫 마디가 아직도 기억에 남습니다.
치료기간:2025년3월3일-2025년 3월 10일

교정을 했었던 치아인데 치아 색상이 누렇고 울퉁불퉁해요.
치아 색상을 밝고 고르게 만들고 싶어요
환자분은 교정을 했음에도 치아 색상의 누런 톤, 둥글지 못한 치아 라인 때문에
웃을 때마다 손으로 입을 가리게 된다고 하셨습니다.
일반 라미네이트는 치아를 많이 깎는다는 점이 부담되어
최대한 치아를 보존하면서 자연스럽게 개선하는 방법을 찾던 중
서울오브치과병원의 ‘오브제로’ 라미네이트를 선택하게 되었습니다.
오브제로란?

오브제로 라미네이트
‘오브제로’는
서울오브치과병원에서 개발한
프리미엄 최소 삭제 라미네이트 시스템으로,
치아 삭제를 최소화하거나,
무삭제로도 시술이 가능하며
환자 본연의 얼굴, 입술선, 미소선에 맞춘
디자인 중심의 심미보철 프로그램입니다.
심미보철에 특화된 김수완 진료원장이 직접 기획하고,
서울대 출신의 협진팀과 정밀 기공 시스템을 기반으로
자연을 닮은, 본연의 아름다움을 살리는 라미네이트입니다.
진단 및 디자인 설계



진단 및 디자인 설계
초진 상담과 디지털 분석을 통해
다음과 같은 부분을 개선하기로 했습니다:
앞니 4개(#13,12, 11, 21, 22,23)의 크기와 비율
치아 사이 미세한 틈
전체적인 치아 톤과 표면 질감
치아 삭제량은 0.1~0.2mm 이내로 제한하고,
환자분께서 '인플루언서 이시안님' 치아 처럼 원하다며 사진을 가지고 오셨습니다.
치아 색상에 어울리는 자연 톤으로 디자인하였습니다.
치료과정
치료 과정
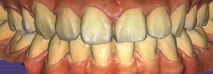
① 디지털 스캔 & 디자인
– 구강스캐너로 정밀한 데이터 채득 → 3D 디자인 및 시뮬레이션


오브제로 라미네이트 시뮬레이션

② 미세 삭제 및 본뜨기
– 치아를 거의 손상하지 않고 최소한으로 다듬은 뒤 정밀 인상 채득
③ 원내 기공소에서 맞춤 제작
– 환자 전용 쉐이드 & 쉐입을 반영하여 오브제로 라미네이트 제작
④ 최종 장착
– 접착 후 교합 조정 및 마무리 폴리싱
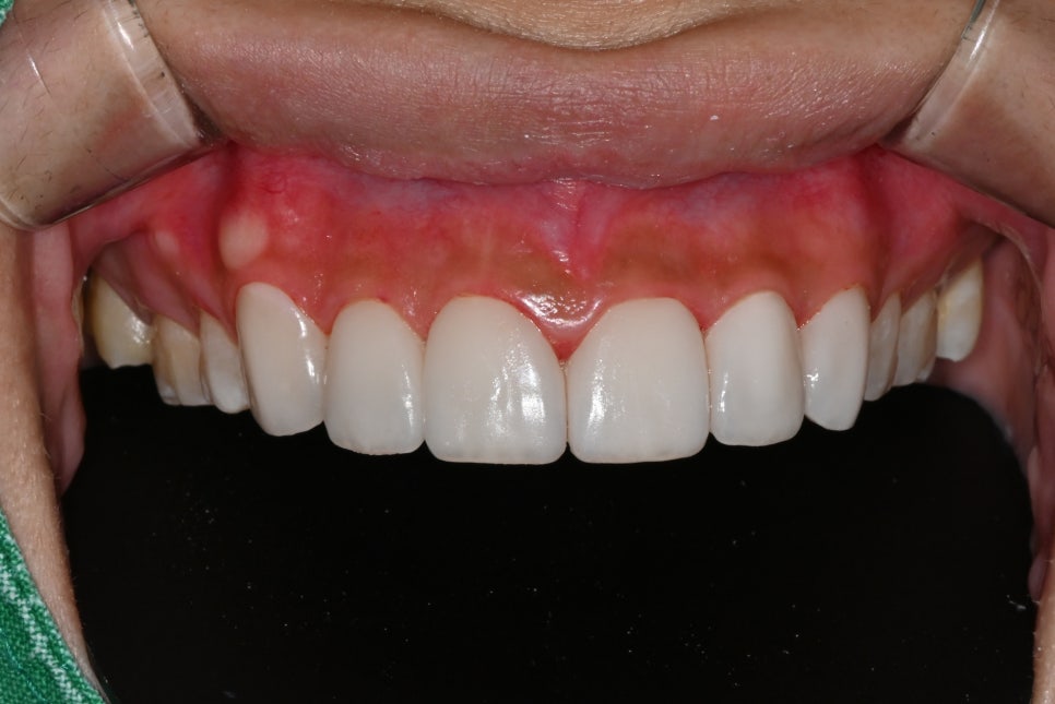
Before & After
치료 후 변화

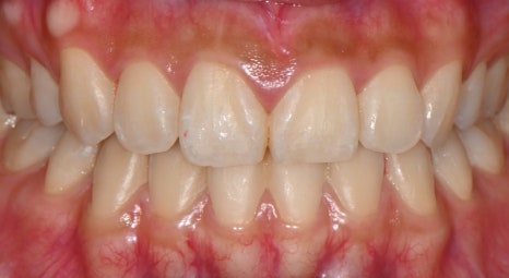
📸 Before
– 어두운 치아 톤
– 살짝 비대칭인 치아 라인

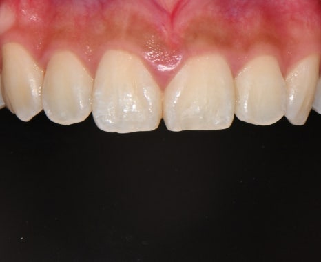
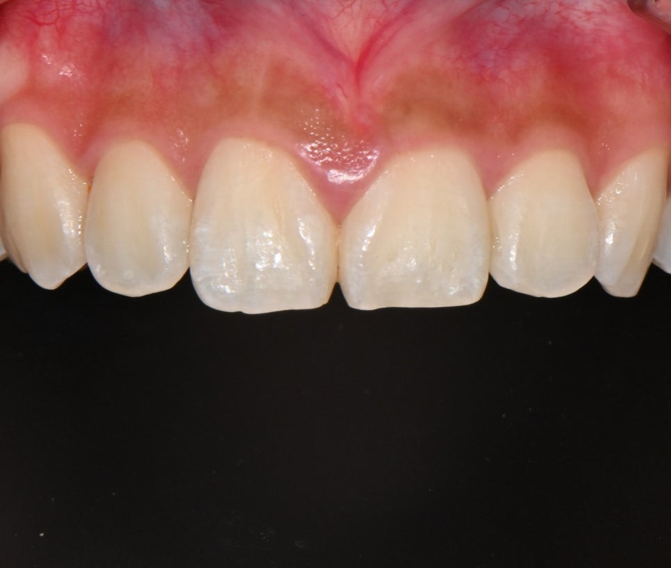
📸 After
– 밝고 매끄러운 치아 톤
– 균형 잡힌 앞니 라인
– 미소선과 조화되는 자연스러운 조형
환자분은 “치아가 예뻐졌다기보단, 내 얼굴이 환해진 느낌”이라며
처음으로 사진 찍을 때 입을 활짝 열어 웃게 됐다고 전해주셨습니다.
오브제로 라미네이트를 선택한 이유
✔️ 치아 삭제를 최소화해 부담이 적음
✔️ 얼굴과 조화를 고려한 개별 디자인
✔️ 원내 기공 시스템으로 빠르고 정밀
✔️ 심미보철에 특화된 의료진의 협진 진료
서울오브치과병원에서는
환자분 개개인의 미소를 디자인의 관점으로 바라보고,
그 사람에게 가장 잘 어울리는 '자연스러운 개선'을 추구합니다.
자주 묻는 질문
자주 묻는 질문
Q1. 라미네이트는 다 인공적인 느낌인가요?
– 아닙니다. 서울오브치과병원은 본연의 조화를 우선으로 하며,
라미네이트를 했다고 티가 나지 않는 ‘자연스러운 아름다움’을 지향합니다.
Q2. 치아를 많이 깎아야 하나요?
– **‘미세삭제 라미네이트’**는 최소한의 삭제로 진행되며,
치아를 거의 건드리지 않는 무삭제 케이스도 가능합니다.
Q3. 치아 건강에 문제는 없을까요?
– 삭제량을 줄이면 신경 노출 위험이 없어 안정성이 높고,
본원에서는 모든 치료 전 잇몸과 치근 상태를 면밀히 확인하고 진행합니다.
20대 여성 환자분처럼
치아 배열이나 색상에 대해
**'아주 큰 문제는 아니지만 미묘하게 아쉬운 점들'**이 있다면,
오브제로 라미네이트가 가장 좋은 해결책이 될 수 있습니다.
무리한 교정이나 큰 삭제 없이,
섬세하고 조화로운 미소를 원하신다면
서울오브치과병원의 ‘오브제로’를 경험해보세요.
본 글에 사용된 모든 사진은
서울오브치과병원에서 실제 치료한 증례 사진이며
환자분 동의 하에 의료정보 제공 목적으로 게시하였습니다.

Explore More
Keep Browsing This Clinic's Korean Content Trail.
Return to the source archive for more posts, or move back to the clinic profile to compare the rest of the clinic's public channels.