Seoul Object Dental Hospital
4th and 5th Floors, 196 Baekjegobun-ro, Songpa-gu, Seoul
Hello,
This is Seoul Object Dental Hospital.
Today, we would like to introduce an Object Zero laminate treatment case for a female patient in her 20s who had concerns about the subtle gaps, color, and shape of her front teeth.
Her first words, "I want to change them so they don’t stand out, and so they feel like my own teeth," still remain in my memory.
Treatment period: March 3, 2025 - March 10, 2025

I had orthodontic treatment before, but my teeth are yellowish and uneven.
I want to make the tooth color brighter and more even.
Even though the patient had undergone orthodontic treatment, she said the yellowish tone of her teeth and the not-quite-round tooth line made her cover her mouth with her hand whenever she smiled.
Because regular laminates involve filing down a lot of the teeth, she felt hesitant and looked for a way to improve them as naturally as possible while preserving as much tooth structure as she could.
In the end, she chose Seoul Object Dental Hospital’s “Object Zero” laminate.
What is Object Zero?

Object Zero laminate
“Object Zero” is
a premium minimally invasive laminate system developed by Seoul Object Dental Hospital.
It minimizes tooth reduction,
and in some cases can even be performed without tooth reduction.
It is a design-centered aesthetic prosthetics program tailored to the patient’s natural facial features, lip line, and smile line.
It was planned directly by Director of Treatment Kim Soo-wan, who specializes in aesthetic prosthetics,
and is a laminate that brings out natural beauty through a collaborative team from Seoul National University and a precision dental lab system.
Diagnosis and Design Planning



Diagnosis and Design Planning
Through the initial consultation and digital analysis,
the following areas were selected for improvement:
The size and proportions of the front teeth (#13,12, 11, 21, 22,23)
The fine gaps between the teeth
The overall tooth tone and surface texture
Tooth reduction was limited to within 0.1–0.2 mm,
and the patient brought photos saying she wanted her teeth to look like those of influencer Lee Si-an.
The design was created in a natural tone that suited the tooth color.
Treatment Process
Treatment process
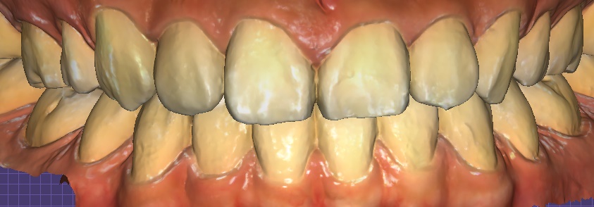
① Digital scan & design
– Precise data acquisition with an intraoral scanner → 3D design and simulation


Object Zero laminate simulation

② Minimal reduction and impression taking
– After barely touching the teeth and shaping them as little as possible, a precise impression was taken
③ Custom fabrication in the in-house lab
– Object Zero laminates were made to reflect the patient-specific shade and shape
④ Final placement
– After bonding, the bite was adjusted and finishing polish was performed
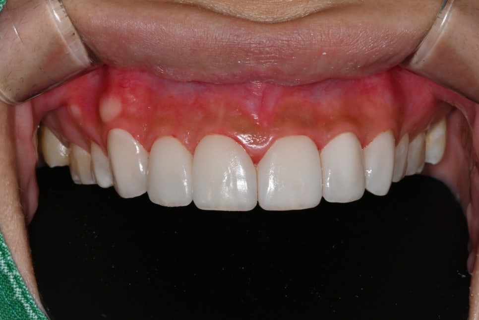
Before & After
Changes after treatment

📸 Before
– Dark tooth tone
– Slightly asymmetrical tooth line

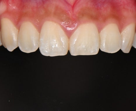
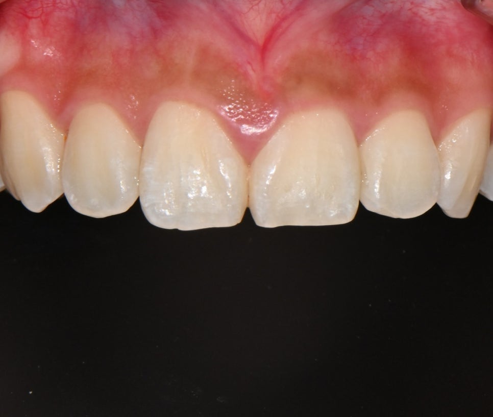
📸 After
– Brighter, smoother tooth tone
– Balanced front tooth line
– Natural shaping that harmonizes with the smile line
The patient said, “It’s not that my teeth just look prettier, it feels like my whole face has become brighter,” and shared that for the first time, she smiled widely without holding back when taking photos.
Reasons for choosing Object Zero laminate
✔️ Minimal tooth reduction, so the burden is lower
✔️ Individualized design that considers harmony with the face
✔️ Fast and precise in-house lab system
✔️ Collaborative treatment by medical staff specialized in aesthetic prosthetics
At Seoul Object Dental Hospital,
we view each patient’s smile from a design perspective
and pursue “natural improvement” that suits each person best.
Frequently Asked Questions
Frequently Asked Questions
Q1. Do all laminates look artificial?
– No. Seoul Object Dental Hospital prioritizes natural harmony,
and aims for “natural beauty” that does not look obvious as laminate work.
Q2. Do the teeth need to be filed down a lot?
– “Minimally reduced laminate” is performed with only minimal reduction,
and in some cases, no-reduction cases that barely touch the teeth are also possible.
Q3. Will there be any problems with tooth health?
– Reducing the amount of tooth reduction lowers the risk of nerve exposure, making it safer,
and at our hospital, we carefully check the gums and root condition before every treatment.
For a female patient in her 20s,
if there are
“things that are not major problems, but still feel slightly disappointing”
such as tooth alignment or color,
Object Zero laminate can be the best solution.
Without excessive orthodontics or major tooth reduction,
if you want a delicate and harmonious smile,
try Seoul Object Dental Hospital’s “Object Zero.”
All photos used in this post
are actual case photos of treatment performed at Seoul Object Dental Hospital,
and were posted with the patient’s consent for the purpose of providing medical information.
