서울오브치과병원
오브제로 라미네이트, 뭐가 다를까요?
오브제로 라미네이트, 뭐가 다를까요? 💛 오브제로는 라미네이트란 ? ㅡ> 일반 라미네이트와 뭐가 다른가요? 오브제로는 서울오브치과병원의 독자 기술력이 적용된 초정밀 맞춤형 라미네이트 시스템입니다. 전통적인 라미네이트보다 자연치아 삭제를 최.소화하면서도, 얼굴형과 환자분의 퍼스널 컬러, 입술선, 치아 배열까지 종합적으...
오브제로 라미네이트, 뭐가 다를까요?

💛 오브제로는 라미네이트란 ?
ㅡ> 일반 라미네이트와 뭐가 다른가요?

오브제로는 서울오브치과병원의
독자 기술력이 적용된
초정밀 맞춤형 라미네이트 시스템입니다.
전통적인 라미네이트보다
자연치아 삭제를 최.소화하면서도,
얼굴형과 환자분의
퍼스널 컬러, 입술선, 치아 배열까지
종합적으로 고려해
조화롭고 자연스러운 미소를 만들어드립니다.
💛 자연치아를
얼마나 깎아야 하나요?
그리고 수명은 얼마나 되나요?

오브제로는 무삭제 또는
미세 삭제를 원칙으로 합니다.
환자분의 치아 상태에 따라 다르지만,
자연치아를 가능한 보존하면서도
심미적으로 개선될 수 있도록 설계됩니다.
그리고 개인의 구강 관리 습관이나
교합에 따라 차이는 있지만,
논문 결과에 따르면
잘 세팅되고 큰 변수가 없는 경우엔
15년 이상 오래 유지되는 영구적인 편에 속합니다.
세상에 영원한 게 어디 있겠냐만은,
정기적인 검진과 올바른 관리로
오래 사용하시는 분들이 많습니다.
또한 삭제량이 적기 때문에
디자인을 바꾸기 위해
재시술 하실 때도 부담이 없습니다.
그렇다면 환자분들께서
실제로 해주셨던 질문들을 취합하여
조금 더 자세하게 설명드리도록 하겠습니다! 🦷

❓__ 시술은 아프지 않나요? 마취가 필요한가요?
오브제로 시술은 마취 없이 진행되며,
특별한 경우에만 마취를 합니다.
예를 들어, 환자분이 많은 삭제량을 통해
치아를 크게 줄이고 싶어하실 경우에만
마취가 필요하며,
상담 시 미리 안내드리니
걱정하지 않으셔도 됩니다.
❓__ 시술 전후에 식사나 말하는 데
불편한 점은 없나요?
시술 후에는 짧은 적응 기간이 필요할 수 있지만,
대부분 1~2일 내로 발음이나 식사도
자연스럽게 적응하십니다.
보통은 내 이처럼 편안하게 사용하시게 되지만,
혹시라도 불편감이 느껴지실 경우
1주일 후 체크 시 한 번 더 점검해드리니
걱정하지 않으셔도 됩니다.

❓__ 비용은 어느 정도 하나요?
일반 라미네이트보다 비싼가요?
오브제로는 고난이도의
개인 맞춤 제작 시스템이 적용되고,
일반적인 라미네이트보다
작업이 까다롭고 어렵기 때문에
다소 비용이 있을 수 있습니다.
그러나 현재 일부 기간에만 개원 이벤트로
50%이상 할인된 가격에 시술이 가능하니
곧 마감되는 이벤트를 꼭 확인해보세요!
❓__ 색상은 자연스럽게 맞춰지나요?
너무 하얗게 되진 않을까요?
환자분의 피부톤, 입술색, 인상에 어울리는
자연스럽고 조화로운 컬러로 디자인해 드리며,
원하시는 밝기나 톤에 따라
맞춤 조절도 가능합니다.
❓__ 시술 후에 A/S나 보증은 어떻게 되나요?
오브제로는 시술 후
1년간 무상 A/S를 제공합니다.
드물지만 파손이나 탈락 등의
문제가 발생 할 경우,
안심하고 내원해주시면
빠르게 도와드립니다. (단순 변심은 제외)
https://youtube.com/shorts/O1rdNx4aYyg?si=rFzU3XVrMBXhqEbo
https://youtube.com/shorts/TXfmK9uNeFI?si=BZxDStHV_iA37C5N
이렇게 오브제로 라미네이트에 대해
소개해드렸는데요!
그렇다면 서울오브치과병원의
실제사례 하나를 볼까요~?



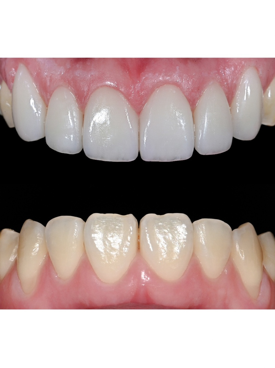
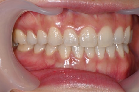
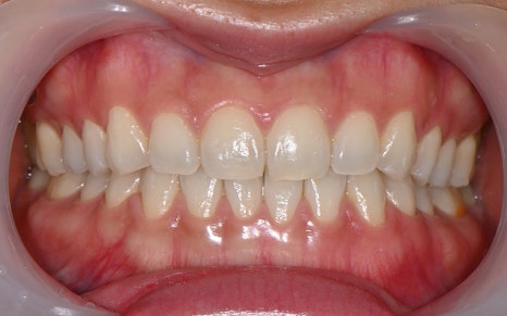
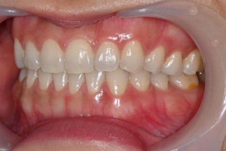
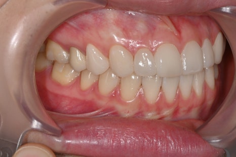
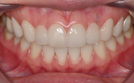
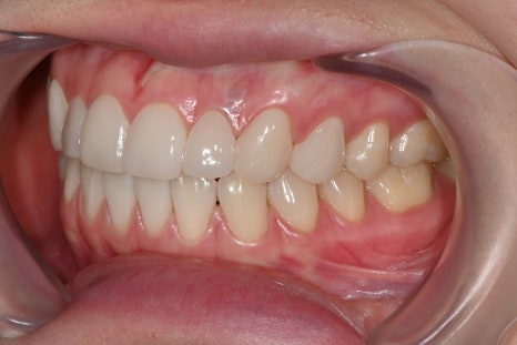
25.01.16
▼▼▼



25.05.21
자연스러운 치아 라인과
투명한 컬러감을 구현해낸
성공적인 오브제로 라미네이트 사례입니다!
“진짜 연예인 같다!”
“웃을 때 너무 예쁘다!”
“어디서 했는지 알려줘!”
시술 후 주변에서 이렇게 말해주었다며
치료 후 너무나도 만족해하셨습니다.
오브제로를 통해
더 밝고 건강한 웃음을 찾으셨답니다! 👍🏻👍🏻
서울오브치과병원의 자체 기술로 개발된
**오브제로 라미네이트(OVZERO)**는
치아 삭제를 최.소화하면서도
자연스럽고 정교한 디자인으로
본연의 아름다움을 강조하는 심미보철입니다.
치아 때문에 환하게 웃지 못하여
고민하고 계신다면?
서울오브치과병원에서
고민해결을 해보시기 바랍니다! 🤗
https://youtu.be/CW3Kgt3bkJw?si=6HCfHe6EQ7xYwRh2
- 모든 증례 사진은 의료법 제23조, 제 56조에 의거하여,
당사자의 동의하에 게시하였습니다.
-
치료 사진은 모두 본.원에서 치료한 환.자분의 사진입니다.
-
치료 사진은 모두 동일인의 사진이며,
동일조건에서 촬영하였습니다.
- 개인의 차이에 따라 시.술 및 수술 후 부작용이 발생할 수 있으며,
의료진과 충분한 상.담을 받으시기 바랍니다.
서울오브치과병원 서울특별시 송파구 백제고분로 196 4층, 5층
Explore More
Keep Browsing This Clinic's Korean Content Trail.
Return to the source archive for more posts, or move back to the clinic profile to compare the rest of the clinic's public channels.