
💛 What is OVZERO laminate?
-> How is it different from regular laminate?

OVZERO is Seoul OV Dental Hospital’s
proprietary technology
ultra-precise custom laminate system.
Compared with traditional laminate,
it minimizes removal of natural tooth structure as much as possible,
while also comprehensively considering
the facial shape, the patient’s
personal color, lip line, and tooth alignment
to create a harmonious and natural smile.
💛 How much of the natural tooth
needs to be shaved?
And how long does it last?

OVZERO is based on either no-prep or
minimal-prep treatment.
Although it varies depending on the patient’s dental condition,
it is designed to preserve natural teeth as much as possible
while still allowing aesthetic improvement.
And although there are differences depending on each person’s oral care habits
and bite,
according to research results,
when properly set and with no major variables,
it is considered to be relatively long-lasting and can last over 15 years.
Nothing lasts forever in this world, but
with regular checkups and proper care,
many people use it for a long time.
Also, because the amount of removal is small,
there is little burden even when re-treatment is needed
to change the design.
Then, by collecting the questions
that patients actually asked,
we will explain in a little more detail! 🦷

❓__ Isn’t the procedure painful? Is anesthesia needed?
OVZERO treatment is performed without anesthesia,
and anesthesia is used only in special cases.
For example, anesthesia is needed only when a patient wants to
significantly reduce the teeth through a large amount of removal,
and we explain this in advance during the consultation,
so there is no need to worry.
❓__ After the procedure, is there any discomfort with eating or speaking?
After the procedure, a short adjustment period may be needed,
but most people naturally adapt to speaking and eating
within 1 to 2 days.
Usually, it becomes comfortable to use, just like your own teeth,
but if you feel any discomfort,
we will check it again at the 1-week follow-up,
so there is no need to worry.

❓__ How much does it cost?
Is it more expensive than regular laminate?
OVZERO uses a high-difficulty
custom-made system,
and because the work is more demanding and difficult
than with regular laminate,
there may be a higher cost.
However, for a limited period, as part of a clinic opening event,
treatment is available at a price discounted by more than 50%,
so be sure to check the event before it ends!
❓__ Is the color matched naturally?
Won’t it look too white?
We design it in a natural and harmonious color
that suits the patient’s skin tone, lip color, and impression,
and it can also be adjusted to match
your preferred brightness or tone.
❓__ What about aftercare or warranty after the procedure?
OVZERO provides free aftercare for 1 year after the procedure.
Although rare, if problems such as damage or detachment occur,
please visit us with peace of mind,
and we will help you quickly. (Excludes simple change of mind)
https://youtube.com/shorts/O1rdNx4aYyg?si=rFzU3XVrMBXhqEbo
https://youtube.com/shorts/TXfmK9uNeFI?si=BZxDStHV_iA37C5N
We’ve introduced OVZERO laminate like this!
Then, shall we take a look at
a real case from Seoul OV Dental Hospital?



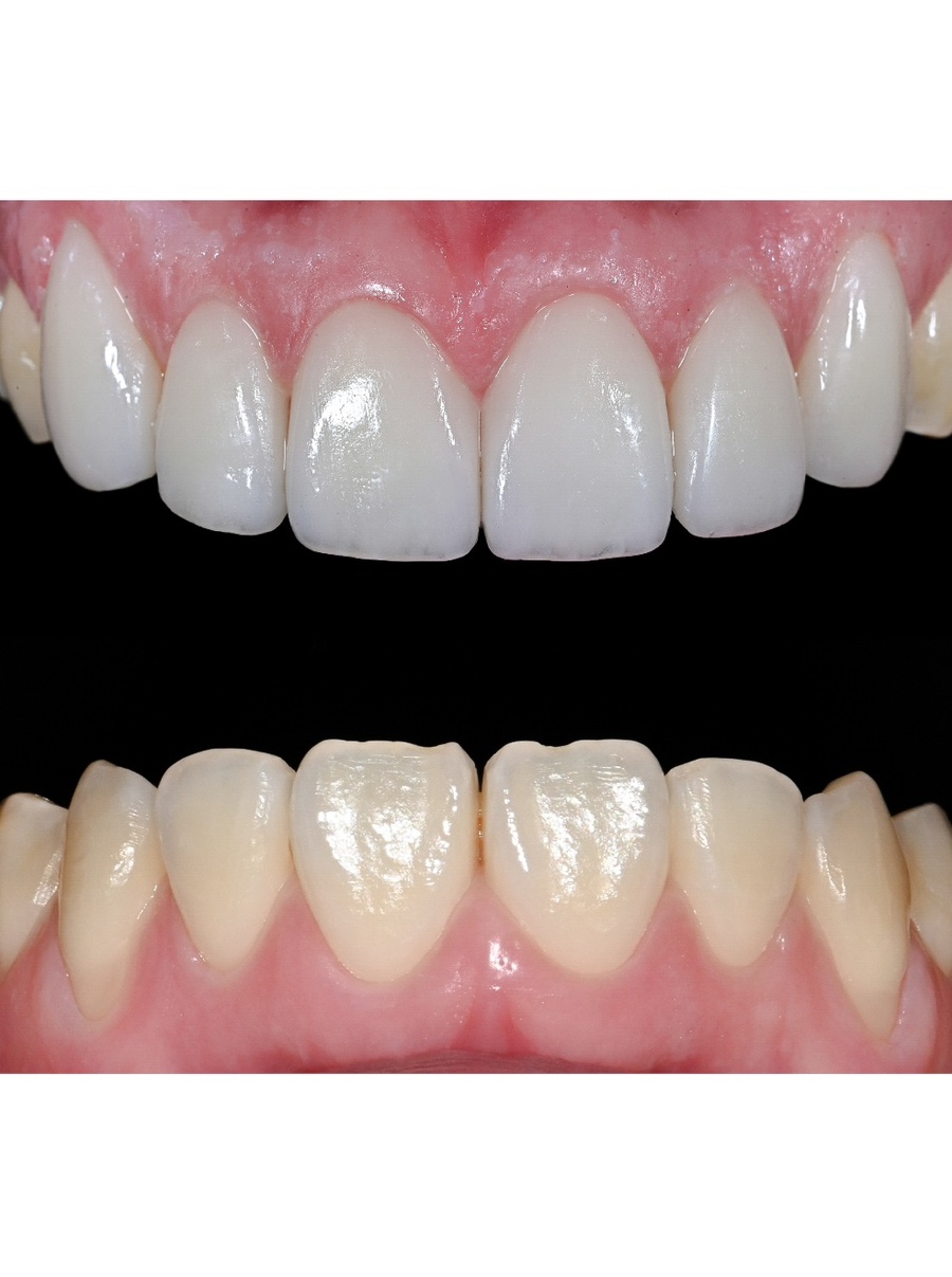
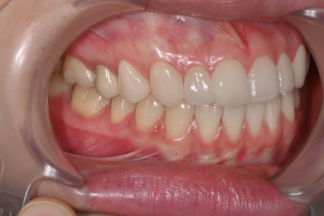
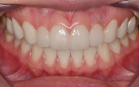
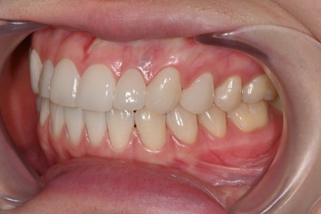
25.01.16
▼▼▼



25.05.21
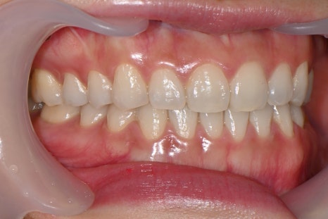
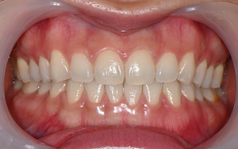
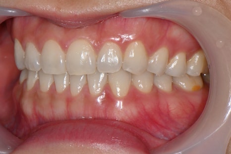
This is a successful OVZERO laminate case that achieves
a natural tooth line and
transparent color tone!
“Looks just like a celebrity!”
“It’s so pretty when you smile!”
“Tell me where you got it done!”
They said people around them commented like this after the procedure,
and they were very satisfied after treatment.
Through OVZERO,
they found a brighter and healthier smile! 👍🏻👍🏻
OVZERO Laminate (OVZERO), developed with
Seoul OV Dental Hospital’s in-house technology,
is an aesthetic prosthetic that emphasizes natural beauty
with a natural and refined design
while minimizing tooth removal as much as possible.
If you are worried because you cannot smile brightly due to your teeth,
please consider resolving your concerns
at Seoul OV Dental Hospital! 🤗
https://youtu.be/CW3Kgt3bkJw?si=6HCfHe6EQ7xYwRh2
- All case photos were posted with the consent of the individuals concerned,
in accordance with Articles 23 and 56 of the Medical Service Act.
-
All treatment photos are of patients treated at our clinic.
-
All treatment photos are of the same person,
photographed under the same conditions.
- Depending on the individual, side effects may occur after the procedure or surgery,
so please consult with the medical staff in detail.
Seoul OV Dental Hospital
4th and 5th floors, 196 Baekjegobun-ro, Songpa-gu, Seoul