서울오브치과병원
발치하고 바로 식립! 4개월 완성 서울오브치과의 빠른 전악 임플란트 치료
🦷 70대 환자분, 전악 임플란트로 다시 찾은 편안한 식사🍽️ 안녕하세요. 서울오브치과병원입니다.💚 나이 들수록 약해지는 치아와 불편한 틀니 때문에 식사에 어려움을 느끼시는 분들이 많습니다. 오늘은 고혈압과 고지혈증이 있으신 70대 환자분이 저희 병원을 찾아 4개월만에 완성된 임플란트 치료 받은분 이야기입니다...
🦷 70대 환자분, 전악 임플란트로 다시 찾은 편안한 식사🍽️
안녕하세요. 서울오브치과병원입니다.💚
나이 들수록 약해지는 치아와 불편한 틀니 때문에 식사에 어려움을 느끼시는 분들이 많습니다.
오늘은 고혈압과 고지혈증이 있으신 70대 환자분이 저희 병원을 찾아 4개월만에 완성된 임플란트 치료 받은분 이야기입니다.
처음 오셨을 때 이야기부터 해볼게요
🦷 내원 계기
식사 중 아래 앞니 크라운이 빠져 내원하신 70대 남자 환자분,
원래 다니던 병원이 폐업되어 서울오브치과에 치료를 의뢰하셨습니다.
🔍 초진 소견
윗니: 기존 임플란트의 나사홀 레진 탈락
아랫니: 앞니 보철 탈락 + 심한 흔들림 / 왼쪽 어금니 임플란트 파절
🛠️ 치료 계획
윗니: 기존 임플란트 보존, 나사홀만 레진으로 보수
아랫니:
• 앞니 2개 임플란트 식립
• 부러진 어금니 임플란트 제거 후 2개 재식립
• 작은 어금니 1개는 발치 후 즉시 식립
👉 최소한의 식립으로 최대 저작력 회복을 목표로 치료를 진행했습니다.
치료 전 · 중 · 후 사진
🖼️ 사진 설명 안내 (환자 동의 후 블로그에 삽입)
치료 전: 아랫니 앞니 흔들림 & 보철 빠짐, 왼쪽 아래 파절된 임플란트


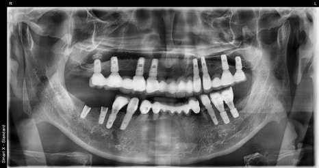
왼쪽 사진: 치료 전 전체 엑스레이입니다. 아래쪽엔 파절된 임플란트가, 위쪽엔 기존 임플란트 보철 상태가 보입니다.
오른쪽 사진: 처음 내원하셨을 때 구강 모습입니다. 아래 앞니 크라운이 빠진 상태였어요.


왼쪽 사진: 윗니는 대부분 임플란트 보철이지만 나사홀이 오픈되어 보완이 필요한 상태였습니다.
오른쪽 사진: 아랫니는 빠진 크라운과 부러진 임플란트가 있어 전반적인 재정비가 필요했습니다.
치료 중: 발치 후 즉시 식립

발치 직후 임플란트를 바로 심고 임시보철을 장착한 상태입니다.
빠르게 식립해 치료 기간을 단축할 수 있습니다..
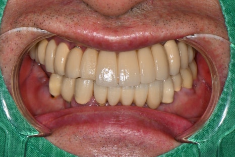
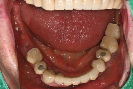
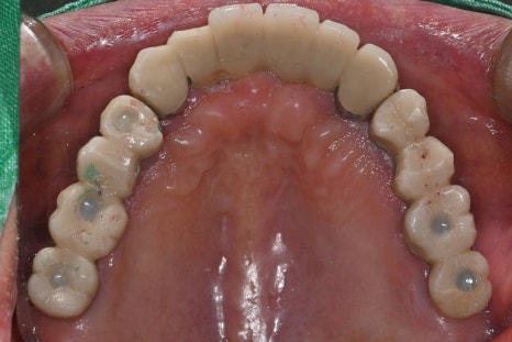
치료 후: 최종 보철물 완성 후 엑스레이, 정면·측면 사진

치료가 완료된 후 파노라마 엑스레이입니다. 임플란트가 안정적으로 유착되었고 교합도 잘 맞는 상태입니다.


왼쪽 사진: 윗니 보철은 전체적으로 고정성이 좋고 교합이 안정적으로 설계되었습니다.
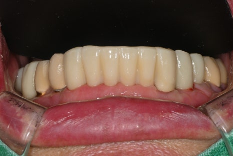
오른쪽 사진: 발치한 자리에 식립한 임플란트에 최종 보철이 정확히 체결된 모습입니다.


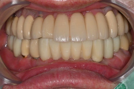
왼쪽 사진: 완성된 보철물의 정면 모습입니다. 심미성과 기능 모두 만족스럽게 회복되었습니다.
오른쪽 사진: 측면에서도 자연스러운 곡선과 교합이 잘 유지되어, 편안한 저작이 가능한 상태입니다.
✅ 임플란트 보철 수복 후 주의사항 안내
- 음식 섭취 시 주의해 주세요
-
보철 수복 후 처음 며칠간은 너무 딱딱하거나 질긴 음식은 피해주세요.
-
뜨거운 음식보다는 미지근한 음식부터 천천히 드시는 것이 좋습니다.
- 양치와 위생 관리가 중요합니다
-
임플란트 주위에도 잇몸 염증이 생길 수 있기 때문에 꼭 치간칫솔과 치실을 함께 사용해 주세요.
-
전동칫솔이나 워터픽 사용도 도움이 됩니다.
- 통증이나 불편감이 있다면 참고하지 마세요
-
식사할 때 불편하거나 씹을 때 통증이 있다면, 보철물의 교합 조정이 필요할 수 있습니다.
-
참고하지 마시고 병원에 꼭 말씀해주세요.
- 보철물은 ‘영구적’이지만 ‘영원’하지는 않습니다
-
정기검진은 최소 6개월에 한 번씩 꼭 받으셔야 보철물의 수명을 늘릴 수 있습니다.
-
작은 문제도 조기에 발견해서 간단하게 해결할 수 있어요.
- 금연이 중요합니다
-
흡연은 임플란트의 뼈 유착과 유지에 큰 영향을 미칩니다.
-
가능한 한 금연하시길 권장드립니다.
❓틀니와 임플란트, 뭐가 다를까요? 아래 표를 참고하시면 이해가 더 쉬우실 거예요 😊
| 항목 | 틀니 | 임플란트 |
|---|---|---|
| 씹는 힘 | 약하고 불안정함 | 자연치아처럼 강하게 씹을 수 있음 |
| 착용감 | 이물감 있고 잘 빠짐 | 고정형이라 내 치아처럼 편안함 |
| 관리 | 자주 빼서 닦아야 함 | 일반 칫솔질 + 보조도구로 간편 관리 가능 |
| 심미성 | 자연치 느낌 부족 | 외관상 자연치와 매우 유사 |
| 비용/보험 | 비용 저렴, 건강보험 적용 가능 | 만 65세 이상은 보험 적용(2개까지) 가능 |
| 수명 | 평균 3~5년, 점점 느슨해짐 | 정기관리 시 10년 이상 사용 가능 |
💡 요즘은 틀니 불편함을 겪으신 분들이 보험 임플란트를 활용해 꼭 필요한 부위만 회복하는 경우가 많습니다.
보험 임플란트, 알고 계셨나요?
✔️ 만 65세 이상이면 평생 2개까지 보험 적용 가능!
✔️ 틀니가 불편하신 분들도 부담 적게 임플란트 시술 가능
✔️ 서울오브치과는 보험 적용 여부 안내도 친절하게 도와드립니다
마무리하며 😊
치료 후 환자분 말씀:
“뭐든지 씹을 수 있어서 너무 좋아요. 이제 외식도 자신 있어요!”
4개월 만에 저작 기능을 회복하고, 다시 일상으로 돌아가신 환자분의 웃음을 보며
저희도 진심으로 기뻤습니다.
서울오브치과병원은 이렇게 다릅니다
-
구강악안면외과 전문의 직접 수술, 보철과 보존과 구강외과 등 5인 전문의 협진 시스템
-
발치 당일 즉시 식립 가능, 동종골 사용
-
오스템(SA/BA/SOI), 스트라우만(BLX) 등 좋은 임플란트 제품 사용
-
대학병원 급 완벽 멸균 시스템
-
전 직원 전문교육 받은 치과위생사 근무
-
병원내 기공실 보유, 치과기공사 근무
-
정밀한 구강스캐너 + 구강내시경 장비 보유
-
365일 진료 + 야간진료 + 119 협력 응급치과
서울오브치과병원 서울특별시 송파구 백제고분로 196 4층, 5층
Explore More
Keep Browsing This Clinic's Korean Content Trail.
Return to the source archive for more posts, or move back to the clinic profile to compare the rest of the clinic's public channels.