🦷 A patient in their 70s found comfortable eating again with full-mouth implants 🍽️
Hello, this is Seoulove Dental Hospital.💚
As people get older, many experience difficulty eating because of weakened teeth and uncomfortable dentures.
Today, we’re sharing the story of a patient in their 70s with hypertension and hyperlipidemia who visited our hospital and completed implant treatment in just 4 months.
Let’s start with the story from the first visit.
🦷 Reason for Visit
A male patient in his 70s came to our clinic because a lower front crown came off while eating.
His original clinic had closed, so he was referred to Seoulove Dental for treatment.
🔍 Initial Findings
Upper teeth: Resin in the screw access hole of an existing implant had come off
Lower teeth: Front prosthesis had come off + severe mobility / left molar implant fracture
🛠️ Treatment Plan
Upper teeth: Preserve the existing implant and repair only the screw access hole with resin
Lower teeth:
• Place 2 implants in the front teeth
• Remove the broken molar implant and place 2 new implants
• Extract 1 premolar and place an implant immediately
👉 Treatment was performed with the goal of restoring maximum chewing power with the minimum number of implants.
Before, during, and after treatment photos
🖼️ Photo description guide (inserted in the blog with the patient’s consent)
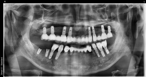
Before treatment: Lower front teeth mobility & prosthesis loss, fractured implant in the lower left


Left photo: A panoramic X-ray taken before treatment. A fractured implant is visible in the lower jaw, and the condition of the existing implant prosthesis can be seen in the upper jaw.
Right photo: The oral condition at the first visit. The lower front crown had come off.


Left photo: Most of the upper teeth had implant prostheses, but the screw access holes were open and needed repair.
Right photo: The lower teeth had a missing crown and a broken implant, so overall reconstruction was needed.
During treatment: Immediate placement after extraction

The image shows the state after placing the implant immediately following extraction and attaching a temporary prosthesis.
By placing the implant quickly, the treatment period can be shortened.
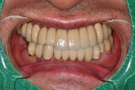
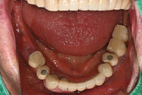
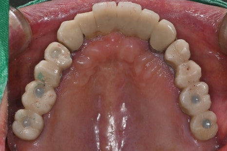
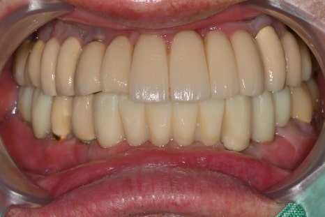
After treatment: X-ray after final prosthesis completion, front and side views

This panoramic X-ray was taken after treatment was completed. The implants had integrated stably and the bite was well adjusted.


Left photo: The upper prosthesis had good overall fixation and the bite was designed to be stable.
Right photo: The final prosthesis was accurately secured to the implant placed in the extracted site.


Left photo: Front view of the completed prosthesis. Both esthetics and function were restored satisfactorily.
Right photo: From the side as well, the natural curve and bite were well maintained, allowing comfortable chewing.
✅ Important precautions after implant prosthesis restoration
- Please be careful when eating
-
For the first few days after prosthesis restoration, avoid foods that are too hard or chewy.
-
It is better to start with lukewarm foods rather than very hot foods.
- Brushing and hygiene management are important
-
Gum inflammation can also develop around implants, so be sure to use interdental brushes and floss together.
-
Using an electric toothbrush or water flosser can also help.
- If you have pain or discomfort, do not just endure it
-
If you feel discomfort while eating or pain while chewing, bite adjustment of the prosthesis may be necessary.
-
Please do not put up with it; be sure to tell the hospital.
- Prostheses are “permanent,” but not “forever”
- Quitting smoking is important
❓What’s the difference between dentures and implants? It may be easier to understand if you refer to the table below 😊
| Item | Denture | Implant |
|---|
| Chewing strength | Weak and unstable | Can chew strongly like natural teeth |
| Fit | Feels foreign and comes loose easily | Fixed, so it feels comfortable like your own teeth |
| Maintenance | Must be removed and cleaned often | Easy to manage with regular brushing + auxiliary tools |
| Esthetics | Lacks a natural tooth appearance | Very similar in appearance to natural teeth |
| Cost/insurance | Lower cost, national health insurance may apply | Insurance coverage available for up to 2 implants for those aged 65 or older |
| Lifespan | Average 3–5 years, gradually loosens | Can be used for more than 10 years with regular care |
💡 These days, many people who struggle with dentures use insurance-covered implants to restore only the necessary areas.
Did you know about insurance-covered implants?
✔️ If you are 65 or older, insurance coverage is available for up to 2 implants in a lifetime!
✔️ Even people who find dentures uncomfortable can receive implant treatment with less financial burden
✔️ Seoulove Dental also kindly helps explain whether insurance coverage applies
To wrap up 😊
What the patient said after treatment:
“I’m so happy that I can chew anything. I’m confident about eating out now!”
We were also truly glad to see the patient regain chewing function in just 4 months and return to daily life with a smile.
This is how Seoulove Dental Hospital is different
-
Direct surgery by an oral and maxillofacial surgery specialist, with a 5-specialist cooperative system including prosthodontics, conservative dentistry, and oral surgery
-
Immediate placement on the day of extraction is possible, using allograft bone
-
High-quality implant systems such as Osstem (SA/BA/SOI) and Straumann (BLX)
-
Hospital-level complete sterilization system
-
Dental hygienists who have received specialized training work on staff
-
In-house dental laboratory with dental technicians on staff
-
High-precision oral scanner and intraoral endoscope equipment
-
365-day care + evening treatment + partnered emergency dental care with 119
Seoulove Dental Hospital
4th and 5th floors, 196 Baekjegobun-ro, Songpa-gu, Seoul