서울오브치과병원
[석촌역치과] 야간·일요일 진료로 완성한 치과 공포증 극복기!
야간·일요일 진료로 완성한 치과 공포증 극복기! 앞니 충치 자연스럽게 복원된 후기 안녕하세요, 서울오브치과병원입니다.💚 치과 치료는 누구에게나 긴장되고 무서울 수 있지만, 특히 통증에 예민하거나 치과 공포증이 있는 분들에게는 단순한 검진조차도 큰 용기가 필요한 일입니다. 오늘 소개드릴 환자분도 그랬습니다....
야간·일요일 진료로 완성한 치과 공포증 극복기!
앞니 충치 자연스럽게 복원된 후기

안녕하세요, 서울오브치과병원입니다.💚
치과 치료는 누구에게나
긴장되고 무서울 수 있지만,
특히 통증에 예민하거나
치과 공포증이 있는 분들에게는
단순한 검진조차도 큰 용기가 필요한 일입니다.
오늘 소개드릴 환자분도 그랬습니다.
젊은 나이임에도 불구하고
오랜 시간 치과를 가지 못했고,
결국 앞니가 충치로 무너지기 시작했지만
무서움 때문에
쉽게 치료를 결정하지 못하셨던 분이셨는데요.
게다가 환자분은 바쁜 회사 업무로 인해
평일에는 시간이 도저히 나지 않는 상황이었고,
진료가 가능한 시간은
야간이나 일요일밖에 없었습니다.
다행히 서울오브치과병원은
평일 야간 진료는 물론,
일요일에도 진료를 운영하고 있어
환자분의 일정에 맞춰
유연하게 계획을 세울 수 있었습니다.
야간 치과, 일요일 치과를 찾고 계셨던 분들에게
좋은 예가 될 수 있는 사례입니다.
그렇다면 사례를 함께 보도록 할까요~?
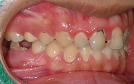
💛 초진 💛



소개해드릴 환자분은
충치가 여러 개 진행된 상태였고,
통증이 있다가 말다가 반복되어
더욱 치료 타이밍을 놓치기 쉬운 상황이었습니다.
실제로 진료기록에서도 확인되듯이
10개가 넘는 치아에 대해
신경치료(근관치료)를 받으셨고,
대부분 복잡한 염증과 신경 감염이
동반되어 있었습니다.

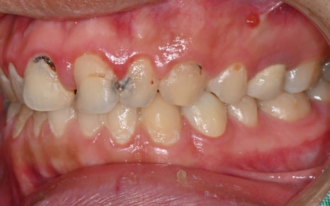
특히 윗니 앞니와 어금니까지
넓은 범위에 걸쳐
치료가 진행되었습니다.

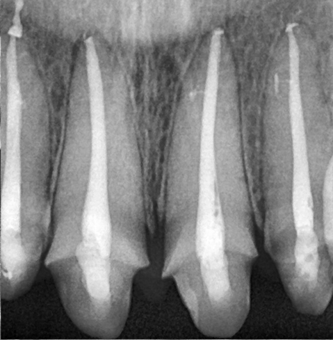
파노라마 사진을 촬영해
정밀 체크를 진행하였고,
전체적인 치료를 계획하였습니다.

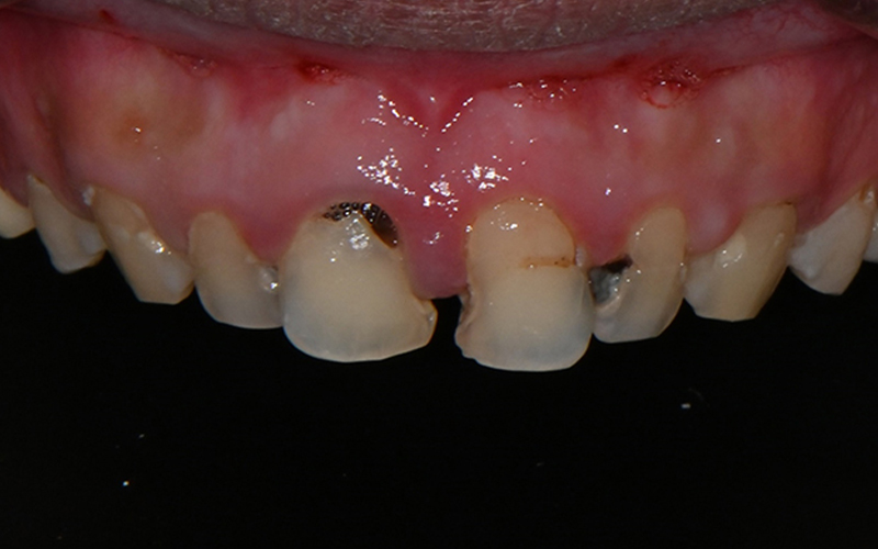
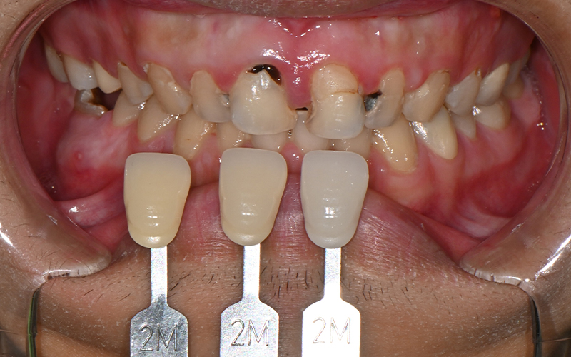
특히 앞니는 심미적으로도
눈에 띄는 부위이기에
섬세하게 고려하여 계획하였습니다.

치료전 쉐이드 가이드를 통하여
치아 색상 체크도 진행해주었답니다.

복잡한 신경치료는
환자의 체력과 인내심을 요할 뿐 아니라
정교한 술기가 필요한 고난도 진료입니다.
저희 병원에서는 고배율 내시경과
다양한 장비를 이용해
치근단 병소까지 정밀하게 확인하고,
치근관을 확실히 소독한 뒤
근관 충전 및 레진 코어,
지르코니아 크라운 복원까지
모든 과정을 체계적으로 마무리하였습니다.
환자분께서는
여러 번의 내원이 필요했음에도 불구하고
진료가 매우 체계적이고 통증 없이 진행된 점에
깊은 신뢰를 보내주셨습니다.
앞니 신경치료가
깔끔하게 마무리 된 모습입니다!
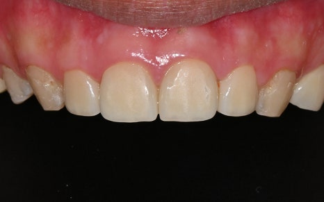
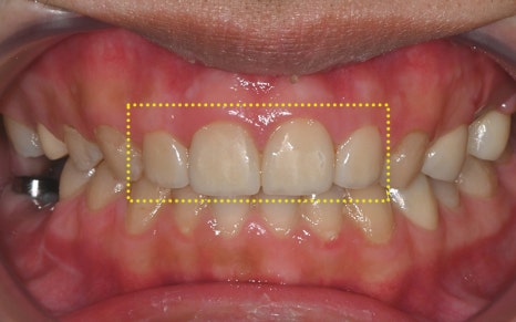
💛 앞니 심미 복원 💛


어느정도 치료를 진행한 후의 모습인데요.
무엇보다도 눈에 띄는 변화는
앞니의 심미 복원입니다.
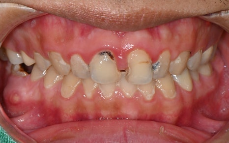
치료 전 사진을 보면 웃음을 짓기 어려울 정도로
앞니에 큰 충치와 손상이 있었고,
중간중간 레진으로 채워진 부분이
심미적으로도 큰 스트레스였다고 하셨습니다.
하지만 치료 후 사진은
완전히 다른 사람이 된 듯한 변화가 느껴집니다.
마치 원래부터 예쁘고 반듯했던 치아처럼,
색상도 자연스럽고
모양도 얼굴형에 딱 맞게 복원되었습니다.
실제로 환자분께서는
“이게 진짜 원래 내 치아 같고,
치료한 티가 하나도 안 난다”며
만족을 표현해주셨고,
“예전에는 항상 소극적이었는데,
요즘은 사람들 앞에서 활짝 웃게 된다”고
말씀해주셨답니다.
저희가 추구하는 ‘자연스러움 속의 심미성’을
가장 잘 보여주는 결과였습니다.

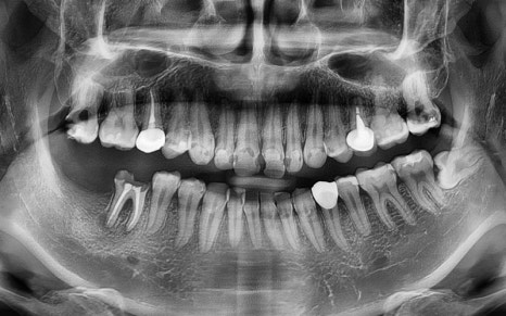
파노라마상에서도 성공적으로
치료가 진행 된 모습을 체크하실 수 있습니다.
현재 임플란트는
인공치근 부분인
픽스처만 식립되어 있는 상태로,
추후 크라운(보철물)을 올리는
보철과정까지 잘 마무리 해드리기로 했습니다.
더불어 치료는 대부분
수면 치과 진료로 진행되었는데요.
수면 마취를 통해 전혀 아프지 않게,
그리고 무섭지 않게 치료를 받을 수 있었고,
환자분도 매 내원 시마다
편안한 상태에서 진료를 받으셨습니다.
수면 진료를 처음 접한 환자분이었지만,
오히려 “왜 진작에 안 왔을까” 할 정도로
만족도가 높았답니다.
💛 전 > 후 💛


2025.01.05
▼▼▼▼▼


2025.05.21
이렇게 성공적인 치료사례에 대해
소개해드렸는데요.
이러한 심미적 변화는
단지 겉모습에만 영향을 미치는 것이 아니라
삶 전체를 바꿉니다.
실제로 이 환자분은
치료 이후 회사에서 더 활발하게 웃게 되었고,
대인관계에서도
자신감을 갖게 되었다고 하셨습니다.
그리고 무엇보다,
“앞으로는 더 이상 치과가 무섭지 않을 것 같다”는
말씀을 남겨주셨습니다.
그리고 직장인 환자분들처럼
평일 내원 시간이 어려운 경우,
저희 서울오브치과병원은
야간 진료와 주말 진료를 통해
언제든 치료를 받을 수 있도록 돕고 있습니다.
바쁜 일상 속에서도 치료를 포기하지 않도록,
안전하고 편안한 환경을 제공하는 것이
저희의 역할이라 생각합니다.
치과 치료를 두려워하는 분들,
특히 앞니나 눈에 띄는 부위의
치료를 망설이고 계신 분들이 있다면
이 사례가 작은 희망이 되었으면 합니다.
저희 서울오브치과병원은 단순한 치료를 넘어,
삶의 질을 바꾸는 경험을 드리고자
노력하고 있습니다.
무섭지 않게, 아프지 않게,
그리고 정말 예쁘게!
그게 저희가 지키고자 하는 진료 철학입니다.
- 모든 증례 사진은 의료법 제23조, 제 56조에 의거하여,
당사자의 동의하에 게시하였습니다.
-
치료 사진은 모두 본.원에서 치료한 환.자분의 사진입니다.
-
치료 사진은 모두 동일인의 사진이며,
동일조건에서 촬영하였습니다.
- 개인의 차이에 따라 시.술 및 수술 후 부작용이 발생할 수 있으며,
의료진과 충분한 상.담을 받으시기 바랍니다.
서울오브치과병원 서울특별시 송파구 백제고분로 196 4층, 5층
석촌역치과 석촌역치과 석촌역치과 석촌역치과 석촌역치과
Explore More
Keep Browsing This Clinic's Korean Content Trail.
Return to the source archive for more posts, or move back to the clinic profile to compare the rest of the clinic's public channels.