Overcoming Dental Phobia with Evening and Sunday Treatment!
A review of naturally restored front-tooth decay
![[Seokchon Station Dental Clinic] Overcoming Dental Phobia with Evening and Sunday Treatment! image 1](https://pub-9f2bb3498faf4d1d8714b41df24753e3.r2.dev/content/clinics/archive/2yawovf9te/naver_blog/qkrgnsdms66403/assets/by_hash/ba266f8643620f90f217beab8e4504e87d8a49137fe5ce98007d524de95180be.jpg)
Hello, this is Seoul Of Dental Hospital.💚
Dental treatment can be stressful and frightening for anyone,
but for people who are especially sensitive to pain
or who have dental phobia,
even a simple checkup can take a lot of courage.
That was true for the patient we’re introducing today as well.
Despite being young,
they had been unable to visit a dentist for a long time,
and eventually the front teeth began to deteriorate due to cavities,
but because of fear
they could not easily decide to receive treatment.
On top of that, because of their busy office schedule,
they simply had no time on weekdays,
and the only available times for treatment were
at night or on Sundays.
Fortunately, Seoul Of Dental Hospital offers
not only weekday evening treatment,
but also Sunday treatment,
so we were able to make a flexible plan
that fit the patient’s schedule.
This is a good example for those looking for a dental clinic open at night or on Sundays.
Shall we take a look at the case together~?
💛 First Visit 💛
![[Seokchon Station Dental Clinic] Overcoming Dental Phobia with Evening and Sunday Treatment! image 2](https://pub-9f2bb3498faf4d1d8714b41df24753e3.r2.dev/content/clinics/archive/2yawovf9te/naver_blog/qkrgnsdms66403/assets/by_hash/7c3263633911c3dd24b52b917da4de3e53e9b291da95dcb7af6f3d98dd79506d.jpg)
![[Seokchon Station Dental Clinic] Overcoming Dental Phobia with Evening and Sunday Treatment! image 3](https://pub-9f2bb3498faf4d1d8714b41df24753e3.r2.dev/content/clinics/archive/2yawovf9te/naver_blog/qkrgnsdms66403/assets/by_hash/73792963ba78f2b2b2d3476cabcfa555a03ef2c6004016c1f10138b8d9e04861.jpg)
![[Seokchon Station Dental Clinic] Overcoming Dental Phobia with Evening and Sunday Treatment! image 4](https://pub-9f2bb3498faf4d1d8714b41df24753e3.r2.dev/content/clinics/archive/2yawovf9te/naver_blog/qkrgnsdms66403/assets/by_hash/d30e0cabb7bddf4116da512cd468c877c8ad5b69ae97f85bddc852d54657306e.jpg)
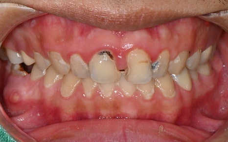
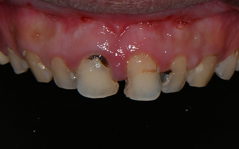
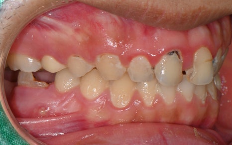
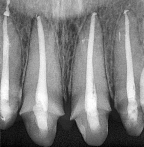
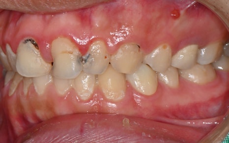
The patient we are introducing had several cavities in progress,
and the pain would come and go,
which made it even easier to miss the right timing for treatment.
As can actually be seen in the treatment record,
more than 10 teeth received
root canal treatment,
and most were accompanied by complex inflammation and nerve infection.
![[Seokchon Station Dental Clinic] Overcoming Dental Phobia with Evening and Sunday Treatment! image 5](https://pub-9f2bb3498faf4d1d8714b41df24753e3.r2.dev/content/clinics/archive/2yawovf9te/naver_blog/qkrgnsdms66403/assets/by_hash/fc45d90d3aa7fa8fc6231e85174588a6a501e9b62617b3741803a2c36b42c13d.png)
In particular, treatment was carried out across a wide area,
including the upper front teeth and molars.
![[Seokchon Station Dental Clinic] Overcoming Dental Phobia with Evening and Sunday Treatment! image 6](https://pub-9f2bb3498faf4d1d8714b41df24753e3.r2.dev/content/clinics/archive/2yawovf9te/naver_blog/qkrgnsdms66403/assets/by_hash/f15cf15e593af1dcce52372e5c8dfbc58489525a6973365018ec5808685fcb37.jpg)
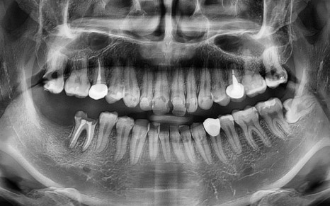
A panoramic X-ray was taken
to perform a detailed check,
and an overall treatment plan was established.
![[Seokchon Station Dental Clinic] Overcoming Dental Phobia with Evening and Sunday Treatment! image 7](https://pub-9f2bb3498faf4d1d8714b41df24753e3.r2.dev/content/clinics/archive/2yawovf9te/naver_blog/qkrgnsdms66403/assets/by_hash/bafa91943be0bdda7e1337fc61f495a19ff0c7bc7bee545572f672a4696a47a1.jpg)
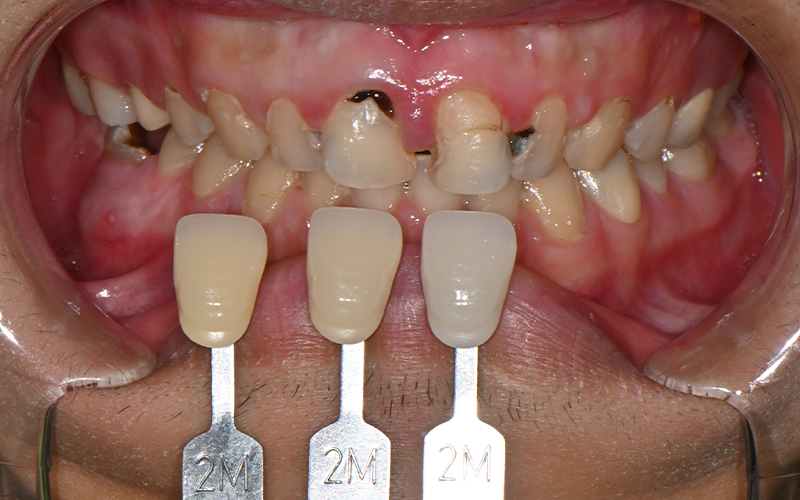
Because the front teeth are also an area that is visually noticeable,
the plan was carefully considered.
![[Seokchon Station Dental Clinic] Overcoming Dental Phobia with Evening and Sunday Treatment! image 8](https://pub-9f2bb3498faf4d1d8714b41df24753e3.r2.dev/content/clinics/archive/2yawovf9te/naver_blog/qkrgnsdms66403/assets/by_hash/ed3597c03d9b88c1aecfa9f68702469db609f48630610b02ffd38456b032d4ff.jpg)
Before treatment, we also checked the tooth color
using a shade guide.
![[Seokchon Station Dental Clinic] Overcoming Dental Phobia with Evening and Sunday Treatment! image 9](https://pub-9f2bb3498faf4d1d8714b41df24753e3.r2.dev/content/clinics/archive/2yawovf9te/naver_blog/qkrgnsdms66403/assets/by_hash/372a3c6e9c9cd6d59e636598eee682d6130f6e760e217f25385a70ca560e043d.png)
Complex root canal treatment requires not only
the patient’s stamina and patience,
but also highly advanced, precise technique.
At our hospital, we used high-magnification endoscopy
and various devices
to carefully examine even the apical lesions,
and after thoroughly disinfecting the root canals,
we systematically completed every step,
including root canal filling, resin core,
and zirconia crown restoration.
The patient expressed deep trust
after receiving several visits of treatment,
even though multiple appointments were required,
because the treatment was carried out very systematically
and without pain.
The front tooth root canal treatment
was neatly completed!
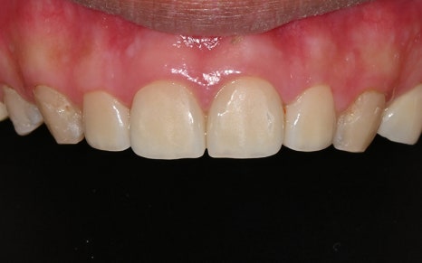
💛 Aesthetic Restoration of the Front Teeth 💛
![[Seokchon Station Dental Clinic] Overcoming Dental Phobia with Evening and Sunday Treatment! image 10](https://pub-9f2bb3498faf4d1d8714b41df24753e3.r2.dev/content/clinics/archive/2yawovf9te/naver_blog/qkrgnsdms66403/assets/by_hash/9b3524fc5736b0f3e8fa249f42857b91ee88d04c9b1aab94b1579d85e9eeadca.jpg)
![[Seokchon Station Dental Clinic] Overcoming Dental Phobia with Evening and Sunday Treatment! image 11](https://pub-9f2bb3498faf4d1d8714b41df24753e3.r2.dev/content/clinics/archive/2yawovf9te/naver_blog/qkrgnsdms66403/assets/by_hash/0aeb92fd922a6835f7b3128939a60a01c3658c0685c8f79e70c8832c07216e7a.jpg)
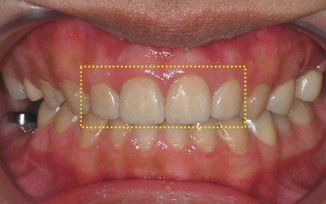
This is what it looked like after some of the treatment had been completed.
The most noticeable change was,
above all, the aesthetic restoration of the front teeth.
Looking at the before-treatment photos,
the front teeth had large cavities and damage
to the point that it was hard to smile,
and the areas filled with resin here and there
were also a major source of aesthetic stress.
But the post-treatment photos
feel like a completely different person.
As if the teeth had originally been pretty and straight,
the color looks natural,
and the shape was restored to fit the face perfectly.
In fact, the patient said,
“This really feels like my original tooth,
and it doesn’t look like I had any treatment at all,” and expressed satisfaction.
“They used to be very reserved all the time,
but these days I smile brightly in front of people,”
they also said.
This was the result that best shows the “aesthetic beauty within naturalness”
that we strive for.
![[Seokchon Station Dental Clinic] Overcoming Dental Phobia with Evening and Sunday Treatment! image 12](https://pub-9f2bb3498faf4d1d8714b41df24753e3.r2.dev/content/clinics/archive/2yawovf9te/naver_blog/qkrgnsdms66403/assets/by_hash/a39ad40b99dfd8d4b8475652656ab5a129ace50c85e796ad74689b762591e565.jpg)
You can also check on the panoramic image
that the treatment was carried out successfully.
Currently, the implant is in a state where only the fixture,
which is the artificial root part,
has been placed,
and we plan to complete the prosthetic process
by later placing the crown (prosthesis).
In addition, most of the treatment was carried out
as sedation dentistry.
With sedation anesthesia, the patient was able to receive treatment
without pain and without fear,
and at each visit,
the patient received treatment in a comfortable state.
Although it was the patient’s first time experiencing sedation dentistry,
the satisfaction level was so high that they said,
“Why didn’t I come sooner?”
💛 Before > After 💛
![[Seokchon Station Dental Clinic] Overcoming Dental Phobia with Evening and Sunday Treatment! image 13](https://pub-9f2bb3498faf4d1d8714b41df24753e3.r2.dev/content/clinics/archive/2yawovf9te/naver_blog/qkrgnsdms66403/assets/by_hash/73792963ba78f2b2b2d3476cabcfa555a03ef2c6004016c1f10138b8d9e04861.jpg)
![[Seokchon Station Dental Clinic] Overcoming Dental Phobia with Evening and Sunday Treatment! image 14](https://pub-9f2bb3498faf4d1d8714b41df24753e3.r2.dev/content/clinics/archive/2yawovf9te/naver_blog/qkrgnsdms66403/assets/by_hash/146b464107872934f0226278cf5fb5c2374a0212a16fea1c362a7d9bc2b6fc56.jpg)
2025.01.05
▼▼▼▼▼
![[Seokchon Station Dental Clinic] Overcoming Dental Phobia with Evening and Sunday Treatment! image 15](https://pub-9f2bb3498faf4d1d8714b41df24753e3.r2.dev/content/clinics/archive/2yawovf9te/naver_blog/qkrgnsdms66403/assets/by_hash/9b3524fc5736b0f3e8fa249f42857b91ee88d04c9b1aab94b1579d85e9eeadca.jpg)
![[Seokchon Station Dental Clinic] Overcoming Dental Phobia with Evening and Sunday Treatment! image 16](https://pub-9f2bb3498faf4d1d8714b41df24753e3.r2.dev/content/clinics/archive/2yawovf9te/naver_blog/qkrgnsdms66403/assets/by_hash/720fd7a5c2378ab25cf3c0ebdeb5b3bee4e95cc8026b40ea765546eb7883b99c.jpg)
2025.05.21
We’ve introduced this successful treatment case.
These aesthetic changes do not simply affect appearance;
they change an entire life.
In fact, after treatment,
this patient smiled more actively at work,
and said they gained confidence in interpersonal relationships as well.
And above all,
they left us with the words,
“I don’t think I’ll be afraid of the dentist anymore.”
And for office workers and other patients who have difficulty visiting on weekdays,
our Seoul Of Dental Hospital helps them receive treatment whenever possible
through evening and weekend appointments.
We believe our role is to provide a safe and comfortable environment
so that treatment is not abandoned even in a busy daily life.
For those who are afraid of dental treatment,
especially those hesitating about treatment for the front teeth
or other visible areas,
we hope this case can serve as a small source of hope.
At Seoul Of Dental Hospital, we strive to offer not just simple treatment,
but an experience that changes quality of life.
Not frightening, not painful,
and truly beautiful!
That is the treatment philosophy we aim to uphold.
- All case photos were posted with the consent of the individuals involved,
in accordance with Articles 23 and 56 of the Medical Service Act.
-
All treatment photos are of patients treated at our clinic.
-
All treatment photos are of the same person,
and were taken under the same conditions.
- Depending on the individual, side effects may occur after procedures or surgery,
so please consult with the medical staff in sufficient detail.
Seoul Of Dental Hospital
4th and 5th Floors, 196 Baekjegobun-ro, Songpa-gu, Seoul, Republic of Korea
Seokchon Station dental clinic Seokchon Station dental clinic Seokchon Station dental clinic Seokchon Station dental clinic Seokchon Station dental clinic