서울오브치과병원
[석촌고분역치과] 임플란트가 필요한 경우는?
[석촌고분역치과] 씹는 게 너무 아팠던 일주일! 신중한 치료로 임플란트를 결정했습니다. 안녕하세요. 서울오브치과병원입니다! 💖 고령의 환자분들께서는 치과치료시 두려움을 느끼며 특히 임플란트와 같은 수술이 가능한지 궁금해 하시는 분들이 많은데요. 석촌고분역치과 서울오브치과병원에서는 개개인의 구강 내 상황 뿐만...
[석촌고분역치과] 씹는 게 너무 아팠던 일주일!
신중한 치료로 임플란트를 결정했습니다.

안녕하세요.
서울오브치과병원입니다! 💖
고령의 환자분들께서는
치과치료시 두려움을 느끼며
특히 임플란트와 같은 수술이 가능한지
궁금해 하시는 분들이 많은데요.
석촌고분역치과
서울오브치과병원에서는
개개인의 구강 내 상황 뿐만 아니라
건강 상태까지 고려하여
치료를 도와드리고 있기에
안심하시고 내원하실 수 있답니다!
서울오브치과병원에 내원하신
환자분의 사례를
하나 소개해드리겠습니다 :)
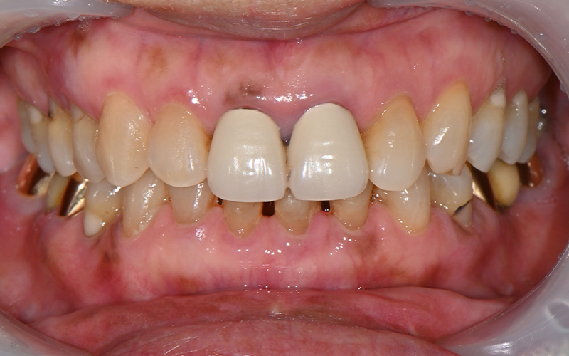
양쪽 어금니가 다 아파서
씹지를 못하겠어요!

오늘 소개해드릴 분은
"양쪽 어금니가 다 아파서
씹지를 못하겠어요"라며
내원하신 70대 여성 환자분이신데요.
일주일 넘게 통증 때문에
식사도 제대로 못하셨다고 합니다.

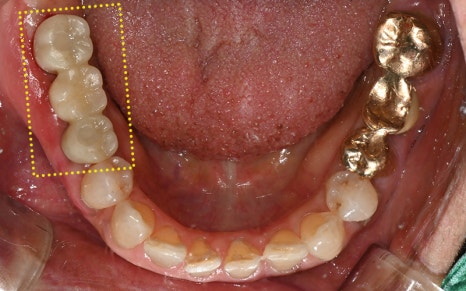
양쪽 아래 어금니에
통증을 느끼고 계셨고,
파노라마 사진을 촬영해
정밀하게 상황을 체크해보았습니다.
🦷 내원 당시 상태 요약
✔ 우측 아래 첫번째 큰 어금니는
이미 발치된 상태
✔ 우측 아래 두번째 큰 어금니는
치아 파절로 보존 어려워 발치 결정
✔ 두번째 작은 어금니는
기존에 크라운이 씌워져 있었고,
두번째 큰 어금니와
연결된 브릿지 상태였음
✔ 좌측 아래 사랑니는
염증으로 인해 발치 필요
🔍 치료 계획 및 진행 과정
서울오브치과병원에서는
환자분의 연령과 건강 상태,
치료 부담까지 고려해
신중하게 계획을 세웠습니다.

사랑니는 발치하고,
반대측엔
임플란트 식립도 진행한 모습인데요.
👨⚕️ 우리가 환자분을 위해
고민했던 치료 방향
처음엔 두번째 작은어금니의
크라운을 제거하지 않고
디스탈 부분만 절단(distal cutting)해서
살리는 방법을 우선적으로 시도했습니다.
불필요한 재치료 없이도
치료를 완성할 수 있다면,
환자분의 시간과 비용 모두
절약되기 때문이죠.
하지만 컷팅 후 동요도가 예상보다 심해,
최종적으로는 발치를 결정하게 되었습니다.
⚠️ 중요한 건, 무조건적인 발치가 아니라
'보존 가능한가'를 끝까지 고민하고
시도했다는 점입니다.
환자분의 부담을 줄이기 위해,
가능성을 끝까지
놓지 않았던 과정이 있었습니다.
🦷 최종 계획
✔ 좌측 아래 사랑니
ㅡ> 감염 소견 있어 즉시 발치
✔ 우측 아래 기존 브릿지
ㅡ> 제거 후 발치 및 임플란트 식립 계획

임플란트가 잇몸뼈에 잘 고정될 수 있도록
충분한 시간을 기다려주었고,

크라운 (보철물) 작업을 위하여
맞춤형 지대주를 체결한 모습입니다.


최종적으로 크라운(보철물)까지 올려
치료를 성공적으로 마무리 해드렸답니다!
환자분께서 치료가 마무리 된 후
“처음부터 발치가 정답이었다면
덜 믿음이 갔을 텐데,
끝까지 살려보려고 해주셔서 고마웠어요”
라고 따뜻한 말씀을 전해주셨답니다.
저희도 진심이 전달된 것 같아 뿌듯했습니다!
💕 전 > 후 💕


2025.02.13 ㅡ> 2025.06.11
이렇게 사랑니발치 및
임플란트 치료 사례를 소개해드렸는데요.
석촌고분역치과 서울오브치과병원은
무조건 빠르고 강한 치료보다,
환자분에게 정말 필요한 치료인가를
먼저 생각합니다.
보존할 수 있다면 살리고,
불가피할 땐 정밀하게 판단해서
치료를 도와드리고 있습니다.
오늘 소개해드린 사례처럼
어금니 통증이나
브릿지 문제로 고민 중이시라면?
합리적이고 정직한 진료를 약속드리는
서울오브치과병원에
언제든 상담을 주시기 바랍니다! 😊
- 모든 증례 사진은 의료법 제23조, 제 56조에 의거하여,
당사자의 동의하에 게시하였습니다.
-
치료 사진은 모두 본.원에서 치료한 환.자분의 사진입니다.
-
치료 사진은 모두 동일인의 사진이며,
동일조건에서 촬영하였습니다.
- 개인의 차이에 따라 시.술 및 수술 후 부작용이 발생할 수 있으며,
의료진과 충분한 상.담을 받으시기 바랍니다.
서울오브치과병원 서울특별시 송파구 백제고분로 196 4층, 5층
Explore More
Keep Browsing This Clinic's Korean Content Trail.
Return to the source archive for more posts, or move back to the clinic profile to compare the rest of the clinic's public channels.