[Seokchon Gobun Station Dental Clinic] My teeth hurt so much when I chewed for a whole week!
After careful treatment, we decided on an implant.
![[Seokchon Gobun Station Dental Clinic] When Is an Implant Needed? image 1](https://pub-9f2bb3498faf4d1d8714b41df24753e3.r2.dev/content/clinics/archive/2yawovf9te/naver_blog/qkrgnsdms66403/assets/by_hash/9415aa289c0c6f5b28c8d539e780e0e0064e08ec8526c820368490dd81eca847.jpg)
Hello.
This is Seoul Ob Dental Hospital! 💖
Older patients often feel anxious
when receiving dental treatment,
especially when they wonder whether
surgery such as an implant is possible.
At Seoul Ob Dental Hospital,
Seokchon Gobun Station Dental Clinic,
we help with treatment by considering not only
each patient’s oral condition
but also their overall health,
so you can visit with confidence!
Let us introduce
one case of a patient who visited
Seoul Ob Dental Hospital. :)
My molars on both sides hurt,
so I can’t chew!
![[Seokchon Gobun Station Dental Clinic] When Is an Implant Needed? image 2](https://pub-9f2bb3498faf4d1d8714b41df24753e3.r2.dev/content/clinics/archive/2yawovf9te/naver_blog/qkrgnsdms66403/assets/by_hash/43a1ba38ee091cbd00dde106314f834de936d34cbb896196d9c56078ed32a20c.jpg)
The person we are introducing today
is a woman in her 70s who visited us saying,
"My molars on both sides hurt,
so I can’t chew."
She said that because of the pain,
she had not been able to eat properly
for more than a week.
![[Seokchon Gobun Station Dental Clinic] When Is an Implant Needed? image 3](https://pub-9f2bb3498faf4d1d8714b41df24753e3.r2.dev/content/clinics/archive/2yawovf9te/naver_blog/qkrgnsdms66403/assets/by_hash/1da4e9f01ea2e555aa1910c8b04b65c71ac87fbfa7fd5321e28b9b2d10e18988.jpg)
She was experiencing pain in the lower molars on both sides,
and we took a panoramic X-ray
to check the situation in detail.
🦷 Summary of the condition at the time of the visit
✔ The first lower molar on the right
had already been extracted
✔ The second lower molar on the right
was judged to be difficult to preserve due to tooth fracture,
so extraction was decided
✔ The second premolar had a crown already in place,
and it was part of a bridge connected
to the second lower molar
✔ The lower left wisdom tooth
needed extraction due to inflammation
🔍 Treatment plan and process
At Seoul Ob Dental Hospital,
we carefully planned treatment
while considering the patient’s age,
overall health, and treatment burden.
![[Seokchon Gobun Station Dental Clinic] When Is an Implant Needed? image 4](https://pub-9f2bb3498faf4d1d8714b41df24753e3.r2.dev/content/clinics/archive/2yawovf9te/naver_blog/qkrgnsdms66403/assets/by_hash/03dacaf7784f7bb19b68b906a7ca19b7aa6df9580cb5bd045b602e660f9c0139.jpg)
The wisdom tooth was extracted,
and an implant was also placed
on the opposite side.
👨⚕️ The treatment direction we considered
for the patient
At first, we tried a method of saving the second premolar
without removing the crown,
by cutting only the distal portion (distal cutting).
If treatment can be completed without unnecessary retreatment,
it saves both the patient’s time and cost.
However, after the cutting,
the mobility was more severe than expected,
and in the end we decided on extraction.
⚠️ The important point is that this was not an unconditional extraction,
but rather that we thought through and attempted
whether it could be preserved until the very end.
To reduce the patient’s 부담,
we kept holding on to the possibility
until the very end.
🦷 Final plan
✔ Lower left wisdom tooth
ㅡ> Immediate extraction due to signs of infection
✔ Existing bridge on the lower right
ㅡ> Plan for removal, extraction, and implant placement
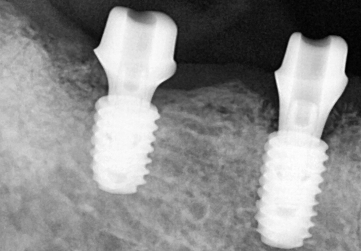
![[Seokchon Gobun Station Dental Clinic] When Is an Implant Needed? image 5](https://pub-9f2bb3498faf4d1d8714b41df24753e3.r2.dev/content/clinics/archive/2yawovf9te/naver_blog/qkrgnsdms66403/assets/by_hash/3cd3be1328eda2434a772a201330946b4f192233555f740e725f420b8457d0e2.jpg)
We waited 충분히 long so that the implant could be well fixed in the jawbone,
![[Seokchon Gobun Station Dental Clinic] When Is an Implant Needed? image 6](https://pub-9f2bb3498faf4d1d8714b41df24753e3.r2.dev/content/clinics/archive/2yawovf9te/naver_blog/qkrgnsdms66403/assets/by_hash/b57510d3c14833982a2fc39f3d71d9a77fe733bb2d292ef5af5631d2cc94fd2d.png)
This shows the custom abutment being attached
for the crown (prosthesis) work.
![[Seokchon Gobun Station Dental Clinic] When Is an Implant Needed? image 8](https://pub-9f2bb3498faf4d1d8714b41df24753e3.r2.dev/content/clinics/archive/2yawovf9te/naver_blog/qkrgnsdms66403/assets/by_hash/ca80db444689028755913b75fd13fcb5ae5b041407286bcfd539d18e5875f0e6.jpg)
In the end, we placed the crown (prosthesis)
and successfully completed the treatment!
After the treatment was finished,
the patient kindly said,
"If extraction from the beginning had been the answer,
I might have trusted it less,
but thank you for trying to save it until the end."
We were also glad that our sincerity seemed to have been conveyed!
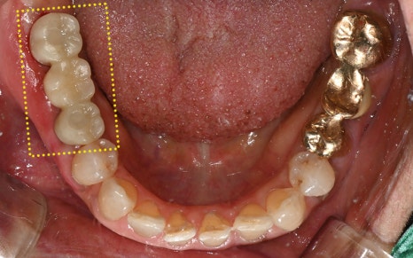
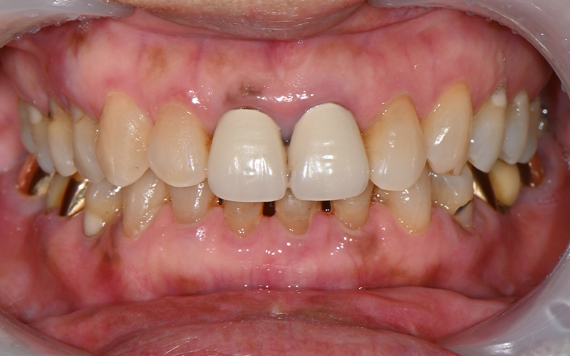
💕 Before > After 💕
![[Seokchon Gobun Station Dental Clinic] When Is an Implant Needed? image 9](https://pub-9f2bb3498faf4d1d8714b41df24753e3.r2.dev/content/clinics/archive/2yawovf9te/naver_blog/qkrgnsdms66403/assets/by_hash/1688f887cd804d08270d31cebd8279ecae6e749cc424634384f57763c04e68de.jpg)
![[Seokchon Gobun Station Dental Clinic] When Is an Implant Needed? image 10](https://pub-9f2bb3498faf4d1d8714b41df24753e3.r2.dev/content/clinics/archive/2yawovf9te/naver_blog/qkrgnsdms66403/assets/by_hash/968c71ff643f8a1c3e670f7ed1468f0668d48268cd8db0febdc090be197a0793.jpg)
2025.02.13 ㅡ> 2025.06.11
This has been an introduction to a case of wisdom tooth extraction
and implant treatment.
Seoul Ob Dental Hospital,
Seokchon Gobun Station Dental Clinic,
does not prioritize treatment that is simply fast and strong;
we first think about whether it is truly necessary for the patient.
If it can be preserved, we try to save it,
and when that is not possible,
we carefully judge the situation and help with treatment.
If, like the case introduced today,
you are worried about molar pain
or bridge problems?
Please feel free to contact
Seoul Ob Dental Hospital,
which promises reasonable and honest care, anytime! 😊
-
All case photos were posted with the consent of the relevant person,
in accordance with Articles 23 and 56 of the Medical Service Act.
-
All treatment photos are of patients treated at our hospital.
-
All treatment photos are of the same individual,
and were taken under the same conditions.
-
Depending on the individual, side effects may occur after procedures and surgery,
so please receive sufficient consultation with the medical staff.
Seoul Ob Dental Hospital
4th and 5th floors, 196 Baekjegobun-ro, Songpa-gu, Seoul