서울오브치과병원
삼전역치과 턱뼈 양성 종양과 의식하 진정요법에 대하여
안녕하세요 서울오브치과병원입니다. 오늘은 치아 통증으로 내원하셨다가 오른쪽 아래 작은 어금니 주변 턱뼈에서 양성종양성 병소가 발견된 30대 남성 환자분의 사례를 소개해드리겠습니다. 특히 이 수술은 **‘의식하 진정요법(IV sedation)’=수면치료** 통해 수면마취 없이도 긴장을 줄이고, 안전하게 병소 제거를...
안녕하세요 서울오브치과병원입니다.
오늘은 치아 통증으로 내원하셨다가 오른쪽 아래 작은 어금니 주변 턱뼈에서
양성종양성 병소가 발견된 30대 남성 환자분의 사례를 소개해드리겠습니다.
특히 이 수술은
‘의식하 진정요법(IV sedation)’=수면치료
통해 수면마취 없이도 긴장을 줄이고,
안전하게 병소 제거를 마친 케이스입니다.
오른쪽 아래 어금니 잇몸이 불편해요
오른쪽 아래 어금니치아 주변이 무겁고 눌리는 느낌이 있다며 내원하셨습니다.
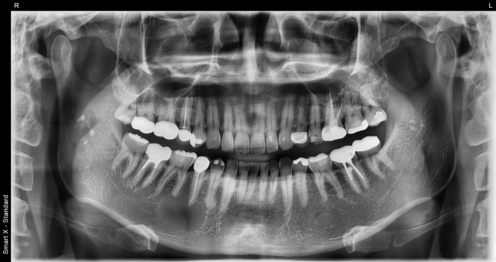
파노라마 촬영 및 CBCT(3D CT) 검사 결과,
해당 부위 하악골 내에 경계가 명확한 방사선 투과성 병소가 확인되었습니다.
진단 결과

진단 결과: 하악골 내 양성종양 의심 병소 병소는 약 2.5cm 크기의
원형 낭성 병변 염증과는 달리 주변 조직과 구분되는 경계성 병소
감별진단: 치근단 낭종 / cementoblastoma / odontogenic tumor 등 가능성
→ 확정 진단 위해 병소 조직 절제 및 생검(조직검사) 필요
치료 계획 및 진행 과정
치료 방법: 의식하 진정요법 + 병소 절제술
구강악안면외과 전문의가 수술을 담당하며, 환자분은 치과 치료에 대한 공포가 있어
**의식하 진정요법(IV sedation)**을 선택하셨습니다.
✅ 의식하 진정요법이란? 정맥으로 진정제를 주입하여 잠들 듯 편안하지만
호흡은 유지되는 상태에서 치료를 받을 수 있는 마취법입니다.


수술 과정
① 진정요법 시작 (정맥주사) – 환자분이 편안히 이완된 상태에서 수술 시작
② 하악골 병소 접근 – 점막절개 및 골창 형성 → 병소 노출
③ 병소 완전 제거 및 소파술 – 병소의 막을 포함해 골성 종양 조직 완전 제거
④ 골 재생 유도 및 봉합 – 병소 제거 후 필요 부위에 동종골 이식 + 콜라겐 멤브레인 적용
⑤ 병리검사 의뢰 (조직검사) – 제거된 병소는 병리전문의에게 이송되어 최종 진단
조직검사결과

✅ 진단 (Diagnosis)
Oral cavity, mandible, posterior, Rt., excision:
Consistent with periapical cyst, ruptured, with abscess formation.
→ 치근단 낭종(periapical cyst)으로 추정되며, 파열되어 농양(abscess)이 형성된 상태입니다.치아 뿌리 끝 부위에 생긴 낭종이 터지면서, 고름(농)이 발생한 것으로 확인됩니다.낭종이 커지거나 오랜 염증이 지속되면
파열과 감염이 동반될 수 있습니다.
📌 해석: 해당 병소는 염증성 치근단 낭종으로 판단되며,
이는 보통 치아 감염이나 외상에 의해 치아 뿌리 끝 부위에 생기는 대표적인 낭종입니다.
치료 전후 비교

📸 수술 전
– 치근단 부위에 낭종성 병소

수술 후 관리 및 결과
✔️ 수술 직후 출혈 minimal, 합병증 없이 안정적 회복
✔️ 1주 후 실밥제거 시 통증, 부기 모두 조절 가능 수준
✔️ 병리결과: Odontogenic cyst (치성 낭종) / 양성 종양성 병소
✔️ 현재 치아 보존된 상태로 경과 관찰 중
자주 묻는 질문
자주 묻는 질문
Q1. 이런 병소는 어떻게 생기나요?
– 주로 치아 감염, 외상, 또는 치성 기원 종양으로 인해 발생할 수 있으며,
대부분 양성 병소이나 주기적 확인 및 조기 제거가 필요합니다.
Q2. 의식하 진정요법은 전신마취인가요?
– 전신마취와 달리 호흡 유지, 의식 일부 존재 상태에서
편안하게 수술을 받을 수 있어 당일 귀가도 가능하며, 안전성도 높습니다.
Q3. 수술 후 많이 아픈가요?
– 진정요법 + 정밀 마취 + 수술 후 약물 처방으로
대부분의 환자분들이 큰 통증 없이 회복하고 있습니다.
서울오브치과병원은 서울대 구강외과 전문의가
직접 진단 및 수술을 진행하며, 의식하 진정요법, 수면마취, 국소마취 등
다양한 진료를 제공해 치과 공포가 있는 환자분들도
편안하게 수술을 받으실 수 있습니다.
하악골 병소처럼 X-ray 상의 이상 음영이나 턱 통증이 있을 경우,
방치하지 말고 조기에 진단받는 것이 무엇보다 중요합니다.
본 글에 사용된 모든 사진은
서울오브치과병원에서 실제 치료한 증례 사진이며,
환자 동의 하에 의료정보 제공 목적으로 게시하였습니다.

Explore More
Keep Browsing This Clinic's Korean Content Trail.
Return to the source archive for more posts, or move back to the clinic profile to compare the rest of the clinic's public channels.