서울오브치과병원
삼전역임플란트, 왜 어떤건 부러지고 어떤건 평생 쓸 수 있을까요?
삼전역임플란트, 왜 어떤건 부러지고 어떤건 평생 쓸 수 있을까요? 임플란트 수명과 품질, 그리고 스트라우만 이야기 안녕하세요. 서울오브치과병원입니다! 💖 “임플란트는 평생 가는 거 아닌가요?” 많은 분들이 임플란트를 한 번 하면 그게 끝이라고 생각하십니다. 하지만 실제로는 임플란트도 부러질 수 있고, 염증으로 빠...
삼전역임플란트, 왜 어떤건 부러지고
어떤건 평생 쓸 수 있을까요?
임플란트 수명과 품질, 그리고 스트라우만 이야기

안녕하세요. 서울오브치과병원입니다! 💖
“임플란트는
평생 가는 거 아닌가요?”
많은 분들이 임플란트를 한 번 하면
그게 끝이라고 생각하십니다.
하지만 실제로는 임플란트도 부러질 수 있고,
염증으로 빠질 수도 있습니다.
서울오브치과병원에는
이런 문제로 내원하시는 환자분들이
꾸준히 계시는데요.
오늘은 실제로 부러진 임플란트 사례와,
반대로 평생 쓸 수 있도록
가장 좋은 재질로 식립한
스트라우만 임플란트 사례를
비교해 보여드리며,
임플란트 선택이
얼마나 중요한지를 말씀드리고자 합니다! :)
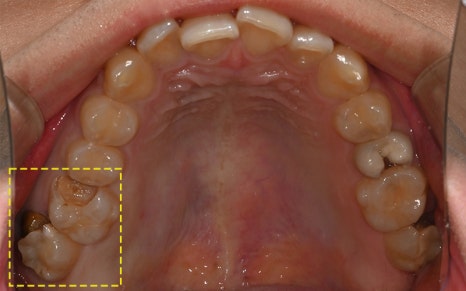
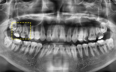
🔷 임플란트가 부러졌던 환자분 이야기


2025.06.03
“심은 지 3년도 안 됐는데
임플란트가 부러졌어요…”
위 환자분께서는
타 치과에서 임플란트를 심은 지
약 3년밖에 되지 않았다고 하셨는데요.
임플란트가 물리적으로
파절(나사체 부러짐) 되었고,
잇몸 염증까지 발생해
주변 치아까지 영향을 주는 심각한 상황이었습니다.

🤔 임플란트가
부러진 이유는?
📌 1. 약한 금속 재질
모든 임플란트가
‘티타늄’으로 만들어진다고는 하지만,
사실 티타늄도 등급과 합금 성분에 따라 강도가 다릅니다.
이 환자처럼 강도가 낮은 재질의
임플란트를 사용하면,
몇 년 안에 금속 피로가 누적되어
부러질 수 있습니다.
📌 2. 염증에 약한 표면 설계
임플란트는 뼈 속에 심는 구조이기 때문에,
염증이 잘 생기면 주변 뼈가 녹아버립니다.
이렇게 되면
아무리 비싼 보철을 얹어도 소용없으며,
염증 저항성이 낮은 재질은
장기적으로 매우 불리하답니다.



위 사진은 실제로 제거한 임플란트인데요.
나사체가 금속 피로로 인해 뚝 부러졌고,
머리 부분 근처에는 치석과 염증이
가득한것을 확인할 수 있습니다.
주변 잇몸뼈가 녹아내려
결국 옆 치아까지 발치 하였고
결국 임플란트를 다시 심어야 했고,
전체적인 재건이 필요했습니다.

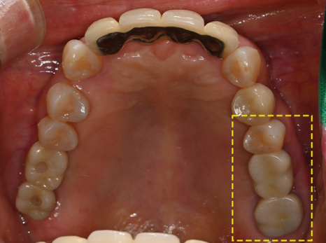
2025.06.18
구강 내 상황을 면밀하게 고려하여
올바른 위치 및 방향대로
임플란트를 잘 식립해주었답니다!
반대로, 가장 좋은 임플란트를 선택한
19세 환자분의 이야기를
이제 소개해드리겠습니다!
🔷 가장 좋은 임플란트를 선택한 환자분 이야기


2025.05.25
이 환자분은 고작 19세입니다.
어린 나이에 충치로 인해 어금니를 잃고,
임플란트 치료를 결심하게 되었는데요.
하지만 이 환자분에게는
특별한 고민이 필요했습니다.
“아직 너무 어리다.
앞으로 이 임플란트를 수십 년 써야 한다.”

2025.05.31
그래서 저희는 세계에서 가장 오래 쓰이는,
그리고 가장 튼튼하다고 인정받는
스위스 스트라우만 임플란트를 추천드렸고
수술을 진행하였습니다!
💕 스트라우만 임플란트는
뭐가 다를까?
🔩 1. 지르코니아-티타늄 합금 사용
기존 티타늄보다 80% 이상 강도 증가된 재질입니다.
전 세계에서 임플란트 파절 사례가
거의 없을 정도로 튼튼합니다.
🔬 2. 염증에 강한 특수 표면 처리
스트라우만의 SLA® 및 SLActive® 표면 기술은
치조골과 빠르고 깊이 결합되고,
염증에 대한 저항성도 탁월합니다.
📈 3. 20년 이상 장기 생존율 90% 이상
단기 성공률만 높은 임플란트가 아니라,
20년 이상 써도 문제 없는 제품이라는 것이
임상 논문과 데이터로 검증되었습니다.
💕 젊은 사람일수록,
건강이 좋지 않을수록
‘좋은 임플란트’를 써야 하는 이유
고혈압, 심장질환 등 전신질환이 있는 환자는
잇몸염증에 취약하므로,
표면이 염증에 강한 제품을 써야 합니다.
젊은 환자일수록 오래 써야 하므로,
튼튼하고 안정적인 재질이 필요합니다.
재수술은 항상 뼈와 잇몸에 부담을 주며,
처음보다 결과가 불리할 수밖에 없습니다.
💕 정리
| 구분 | 저가형 임플란트 | 스트라우만 임플란트 |
|---|---|---|
| 재질 강도 | 상대적으로 약함 → 파절 가능성 ↑ | 고강도 합금 → 파절 사례 없음 |
| 염증 저항성 | 낮음 → 잇몸뼈 녹는 속도 빠름 | 표면 설계로 염증 억제 효과 우수 |
| 장기 수명 | 5~7년 후 재수술 사례 다수 | 20년 이상 생존률 90% 이상 |
| 가격 | 저렴하지만 재수술 발생 시 오히려 비용 ↑ | 다소 고가지만 안정성과 수명 ↑ |

💕 서울오브치과병원의 약속
✅ 스트라우만 정품만 사용
✅ 대학병원 출신 구강외과 원장 직접 수술
✅ 고난도 케이스도 1:1 맞춤 진단 후 정밀 수술
✅ 응급대응 가능한 마취·회복 시스템 구축
임플란트는 단순히
이 하나를 심는 수술이 아니라,
평생 사용할 ‘치아 기둥’을 심는 일입니다.
처음부터 올바른 선택을 하시길 바랍니다!
삼전역임플란트 삼전역임플란트 삼전역임플란트
- 모든 증례 사진은 의료법 제23조, 제 56조에 의거하여,
당사자의 동의하에 게시하였습니다.
-
치료 사진은 모두 본.원에서 치료한 환.자분의 사진입니다.
-
치료 사진은 모두 동일인의 사진이며,
동일조건에서 촬영하였습니다.
- 개인의 차이에 따라 시.술 및 수술 후 부작용이 발생할 수 있으며,
의료진과 충분한 상.담을 받으시기 바랍니다.
서울오브치과병원 서울특별시 송파구 백제고분로 196 4층, 5층
Explore More
Keep Browsing This Clinic's Korean Content Trail.
Return to the source archive for more posts, or move back to the clinic profile to compare the rest of the clinic's public channels.