Samjeon Station Implant: Why do some break
while others can last a lifetime?
Implant lifespan, quality, and the Straumann story

Hello, this is Seoul Of Dental Hospital! 💖
“Don’t implants last
for a lifetime?”
Many people think that once they get an implant,
that’s the end of it.
But in reality, implants can also break,
and they can fall out because of inflammation.
At Seoul Of Dental Hospital,
we regularly see patients
who come in because of these kinds of problems.
Today, we’ll compare a real case of a broken implant
with a Straumann implant placed using the best material
so it can be used for a lifetime,
and show why choosing the right implant
is so important! :)
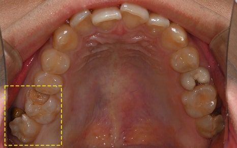
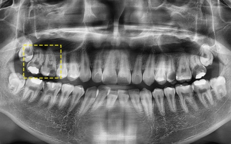
🔷 A story about a patient whose implant broke


2025.06.03
“It's been less than 3 years since it was placed,
and the implant broke..."
This patient said that it had been only about 3 years
since the implant was placed at another dental clinic.
The implant was physically fractured
(the screw body broke),
and gum inflammation also occurred,
creating a serious situation that even affected nearby teeth.

🤔 Why did the implant
break?
📌 1. Weak metal material
Not all implants are made of
“titanium.”
In fact, titanium also differs in strength depending on its grade and alloy composition.
If an implant made of a lower-strength material,
like the one in this case, is used,
metal fatigue can build up over a few years
and cause it to break.
📌 2. A surface design that is weak against inflammation
Because implants are placed inside bone,
if inflammation develops easily, the surrounding bone will dissolve.
When that happens,
even the most expensive prosthetic on top is useless,
and materials with low resistance to inflammation
are very disadvantageous in the long term.



The photos above show the implant that was actually removed.
The screw body had snapped due to metal fatigue,
and around the head there was a large amount of tartar and inflammation.
The surrounding gum bone had melted away,
which eventually led to extraction of the adjacent tooth as well.
In the end, the implant had to be placed again,
and overall reconstruction was needed.

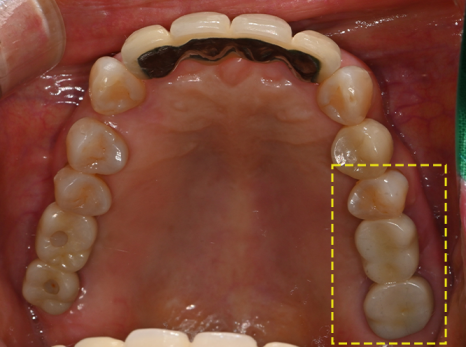
2025.06.18
After carefully considering the oral condition,
we placed the implant in the proper position and direction!
Now, let us introduce the story of a 19-year-old patient
who chose the best implant instead.
🔷 A story about a patient who chose the best implant


2025.05.25
This patient is only 19 years old.
At a young age, they lost a molar due to tooth decay,
and decided to undergo implant treatment.
However, this patient required special consideration.
“They’re still too young.
They’ll need to use this implant for decades to come.”

2025.05.31
So we recommended and performed surgery using
Swiss Straumann implants, which are recognized
as the longest-lasting and strongest in the world!
💕 What makes Straumann implants different?
🔩 1. Zirconia-titanium alloy used
This material has more than 80% greater strength than conventional titanium.
It is so durable that implant fracture cases are
almost unheard of worldwide.
🔬 2. Special surface treatment that is resistant to inflammation
Straumann’s SLA® and SLActive® surface technologies
bond quickly and deeply with alveolar bone,
and also offer excellent resistance to inflammation.
📈 3. Over 90% long-term survival rate after 20+ years
These are not implants with only a high short-term success rate;
clinical papers and data have proven that they are products
that can be used for more than 20 years without problems.
💕 Why younger people,
and people in poorer health,
need to use a “good implant”
Patients with systemic conditions such as high blood pressure or heart disease
are more vulnerable to gum inflammation,
so they should use products with surfaces that are highly resistant to inflammation.
The younger the patient, the longer they need to use it,
so a strong and stable material is necessary.
Repeat surgery always puts stress on the bone and gums,
and the outcome is inevitably less favorable than the first time.
💕 Summary
| Category | Low-cost implant | Straumann implant |
|---|
| Material strength | Relatively weak → higher chance of fracture | High-strength alloy → no reported fracture cases |
| Resistance to inflammation | Low → faster bone loss in the gums | Excellent inflammation-suppressing effect through surface design |
| Long-term lifespan | Many cases of re-surgery after 5–7 years | Over 90% survival rate after 20+ years |
| Price | Cheaper, but overall cost increases if re-surgery is needed | Somewhat more expensive, but better stability and lifespan |

💕 Seoul Of Dental Hospital’s promise
✅ Uses only genuine Straumann products
✅ Surgery performed directly by the head doctor, an oral surgeon trained at a university hospital
✅ Precise surgery after 1:1 customized diagnosis, even for highly difficult cases
✅ Emergency-ready anesthesia and recovery system in place
An implant is not simply a surgery to place one thing.
It is the act of placing a “tooth support” that will be used for a lifetime.
We hope you make the right choice from the start!
Samjeon Station Implant Samjeon Station Implant Samjeon Station Implant
-
All case photos were posted with the consent of the individual concerned,
in accordance with Articles 23 and 56 of the Medical Service Act.
-
All treatment photos are of patients treated at our hospital.
-
All treatment photos are of the same person,
taken under the same conditions.
-
Depending on individual differences, side effects may occur after procedures or surgery,
so please consult sufficiently with the medical staff.
Seoul Of Dental Hospital
4th and 5th floors, 196 Baekjegobun-ro, Songpa-gu, Seoul