서울오브치과병원
일요일에도 진료 가능! 비염·천식 환자도 편하게 다니는 치과 찾았어요
😷 숨쉬기도 힘들고, 턱도 아파서 치과치료가 두려우셨다면 비염, 천식, 턱관절 통증 때문에 치과 진료 자체가 너무 힘드셨던 분들 계시죠? 입을 오래 벌리고 누워 있어야 하니 숨이 막힐 것 같고, 턱도 아파서 진료 자체가 고통처럼 느껴질 수 있어요. 서울오브치과병원에는 이런 이유로 치료를 계속 미뤄오셨던 분들이 자주...
😷 숨쉬기도 힘들고, 턱도 아파서 치과치료가 두려우셨다면
비염, 천식, 턱관절 통증 때문에 치과 진료 자체가 너무 힘드셨던 분들 계시죠?
입을 오래 벌리고 누워 있어야 하니 숨이 막힐 것 같고, 턱도 아파서 진료 자체가 고통처럼 느껴질 수 있어요.
서울오브치과병원에는 이런 이유로 치료를 계속 미뤄오셨던 분들이 자주 찾아오십니다.
👨⚕️ 오른쪽 치료만 먼저 진행하신 환자 이야기
얼마 전 내원하신 30대 후반 남성 환자분도 그런 경우였습니다.
“오른쪽 위 어금니가 깨졌고, 씹을 때마다 아프고 불편하다”고 하셨는데요. 검사해보니
- 오른쪽 위 사랑니는 발치가 필요했고, 그 앞쪽 어금니는 신경치료 후 크라운, 오른쪽 아래 어금니 2개는 인레이 치료가 필요한 상황이었습니다.
게다가 평소
👉 비염 증상이 있어 코로 숨쉬는게 불편했고,
👉 턱관절 통증 때문에 입을 오래 벌리기 어려우셨습니다.
그래서 치료는 오른쪽부터 차근차근 진행하고, 왼쪽은 컨디션이 괜찮을 때 이어서 하시기로 했어요.
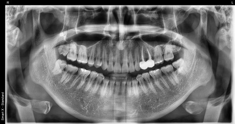
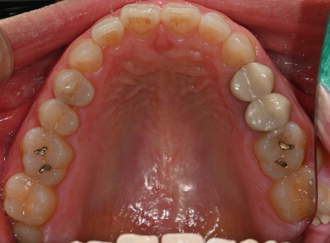
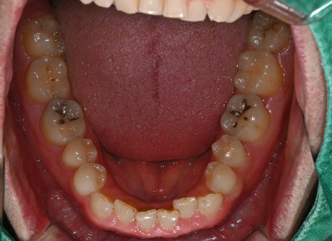
📸 치료 전
→ 초기 구강 내 사진, 파노라마 엑스레이 등 삽입



첫 번째 사진: 초진 파노라마 사진입니다. 전체 치아 상태와 발치 및 치료가 필요한 부위를 확인했습니다.
두 번째 사진: 초진 시 촬영한 상악(윗니) 어금니 사진입니다. 충치 부위와 깨진 치아 상태가 확인됩니다.
세 번째 사진: 초진 시 촬영한 하악(아랫니) 어금니 사진입니다. 아래 어금니 두 곳에서 충치가 진행되어 인레이 치료가 필요한 상태입니다.
✅ 실제로 진행된 치료
-
오른쪽 위 사랑니 발치
-
오른쪽 위 어금니 신경치료 후 크라운
-
오른쪽 아래 어금니 2개 인레이 치료
📸 치료 중


왼쪽 사진: 신경치료 중 촬영한 X-ray 사진입니다. 근관(치아 뿌리) 내부까지 약물이 잘 도달했는지 확인하는 과정입니다.
오른쪽 사진: 크라운 치료 준비 중인 어금니 모습입니다.신경치료 후 삭제된 치아를 깨끗하게 정리하고, 인상채득(본뜨기) 전에 형태를 다듬은 상태입니다.
왼쪽 어금니와 사랑니도 추가로 치료가 필요한 상황이지만,
환자분의 일정과 몸 상태를 고려해 다음 방문 시 진행 예정입니다.
✅ 왜 서울오브치과병원에서는 이런 치료가 가능했을까요?
🦷 서울대 전문의 4인 진료
각 분야 전문의가 나눠 진료하니, 복잡한 케이스도 체계적으로 진행됩니다.
😴 수면마취 진료 가능
비염, 천식, 공포증이 있는 분들도 편하게 치료받을 수 있어요.
👩⚕️ 전 직원 치과위생사
모든 스탭이 치과위생사 면허증 보유! 감염관리부터 상담까지 전문적으로 대응합니다.
🛠 병원 내 기공소 운영
병원내 기공소 운영으로, 치과기공사가 근무하고 직접 보철 제작 수정 합니다.
🌍 외국인 진료 가능
외국인도 OK! 단기 체류 일정에 맞춘 진료도 가능합니다.
🅿 무료 주차 가능
건물 뒤편 핑크색 주차장 이용 가능! 주차비 걱정 없이 오세요.
📅 일요일 진료 가능
주중에 시간 내기 어려운 분들도 편하게 내원하실 수 있어요.
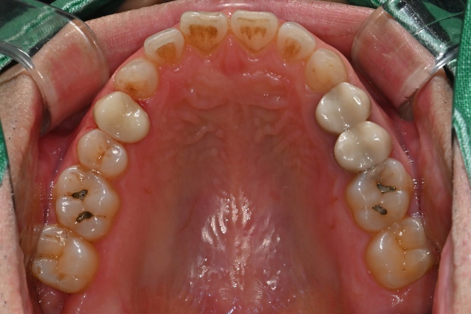
📸 치료 후

오른쪽 어금니에 크라운이 정확하게 씌워졌으며, 주변 치아와도 자연스럽게 조화를 이룹니다.
크라운이 들어간 부분 외에는 불필요한 삭제 없이 원래 치아 모양을 잘 살렸습니다.
🦷 치료를 미루고 계셨다면, 저희가 도와드릴게요
몸이 불편하거나, 입을 오래 벌리기 힘들거나, 숨쉬기 어려워서 치과 가는 게 망설여졌던 분들 많으시죠.
이번 환자분도 치료가 필요한 부위가 더 있었지만, 개인 일정과 컨디션을 고려해 오른쪽 치료만 우선 진행하고
남은 부위는 추후에 여유가 될 때 진행하기로 했습니다.
치과 치료는 무조건 한 번에 끝내야 하는 게 아닙니다.
서울오브치과병원은 환자분의 상황을 가장 먼저 고려한 진료 계획을 세웁니다.
💚 편하게 말씀해 주세요.
숨쉬기 힘들어도, 턱이 아파도, 진료가 두려워도 서울오브치과병원은 그런 마음까지 함께 생각합니다.
천천히, 그러나 정확하게. 서울오브치과병원이 함께하겠습니다.
서울오브치과병원 서울특별시 송파구 백제고분로 196 4층, 5층
Explore More
Keep Browsing This Clinic's Korean Content Trail.
Return to the source archive for more posts, or move back to the clinic profile to compare the rest of the clinic's public channels.