😷 If breathing is hard and your jaw hurts, and dental treatment feels scary
Are there people who have found dental care itself too difficult because of rhinitis, asthma, or temporomandibular joint pain?
Since you have to keep your mouth open for a long time and lie back, it can feel like you might suffocate, and jaw pain can make the treatment itself feel painful.
At Seoul Aub Dental Hospital, many patients who have postponed treatment for these reasons often visit us.
👨⚕️ A Patient Who Received Treatment on the Right Side First
A male patient in his late 30s who visited us recently was also in a similar situation.
He said, “My upper right molar broke, and it hurts and feels uncomfortable every time I chew.” After examination,
- The upper right wisdom tooth needed extraction, the molar in front of it needed a crown after root canal treatment, and the two lower right molars needed inlay treatment.
In addition, he normally
👉 had rhinitis symptoms that made breathing through his nose uncomfortable,
👉 and had difficulty keeping his mouth open for long because of temporomandibular joint pain.
So we decided to proceed with treatment step by step, starting on the right side first, and continue on the left side when he was feeling better.
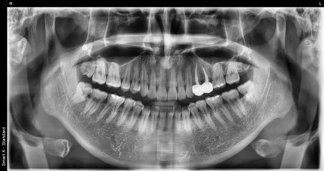
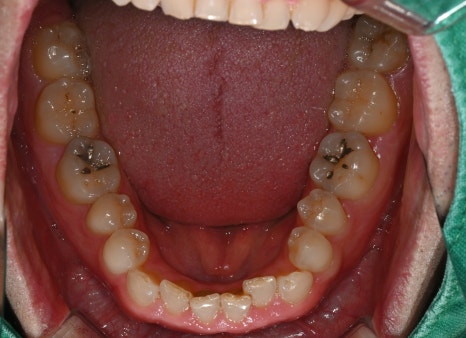
📸 Before Treatment
→ Initial intraoral photos, panoramic X-ray, etc. inserted



First photo: Initial panoramic image. We checked the overall dental condition and the areas requiring extraction and treatment.
Second photo: Upper molar photo taken at the initial visit. The caries area and the broken tooth condition are visible.
Third photo: Lower molar photo taken at the initial visit. Caries had progressed in two lower molars, and inlay treatment was needed.
✅ Treatments Actually Performed
-
Extraction of the upper right wisdom tooth
-
Root canal treatment and crown on the upper right molar
-
Inlay treatment on two lower right molars
📸 During Treatment


Left photo: X-ray taken during root canal treatment. This is a process to check whether the medication has reached deep inside the root canal.
Right photo: A molar being prepared for crown treatment. After the root canal treatment, the removed tooth structure has been neatly cleaned up and shaped before taking an impression.
The left molar and wisdom tooth also still need additional treatment,
but considering the patient’s schedule and physical condition, we plan to proceed at the next visit.
✅ Why Was Treatment Possible at Seoul Aub Dental Hospital?
🦷 Treatment by 4 Specialists from Seoul National University
Since specialists in each field divide the care, even complex cases are handled systematically.
😴 Sedation Dentistry Available
Even patients with rhinitis, asthma, or dental phobia can receive treatment comfortably.
👩⚕️ All Staff Are Dental Hygienists
All staff members hold dental hygienist licenses! They respond professionally, from infection control to consultations.
🛠 In-House Dental Lab
With an in-house dental lab, dental technicians work on site and directly fabricate and adjust prosthetics.
🌍 Treatment for Foreign Patients Available
Foreign patients are welcome! Treatment can also be arranged to fit short-term stay schedules.
🅿 Free Parking Available
You can use the pink parking lot behind the building! Come without worrying about parking fees.
📅 Sunday Appointments Available
Even people who find it hard to make time during the week can visit comfortably.
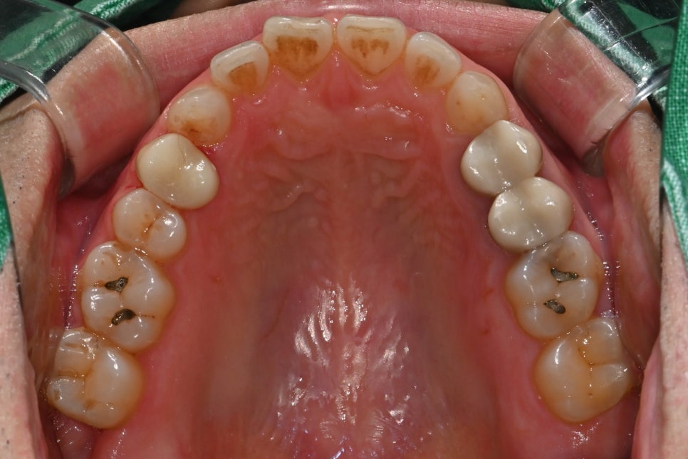
📸 After Treatment

The crown was placed accurately on the upper right molar and blends naturally with the surrounding teeth.
Except for the area where the crown was placed, the original tooth shape was preserved well without unnecessary removal.
🦷 If You’ve Been Delaying Treatment, We’re Here to Help
Many people have hesitated to go to the dentist because they feel unwell, have difficulty keeping their mouth open for long, or find breathing difficult.
In this case as well, although there were more areas that needed treatment, we first treated only the right side, taking the patient’s schedule and condition into account,
and decided to treat the remaining areas later when there is more time.
Dental treatment does not have to be finished all at once.
At Seoul Aub Dental Hospital, we first create a treatment plan that takes the patient’s situation into account.
💚 Please feel free to talk to us.
Even if breathing is hard, even if your jaw hurts, even if you’re afraid of treatment, Seoul Aub Dental Hospital considers those feelings too.
Slowly, but accurately. Seoul Aub Dental Hospital will be with you.
Seoul Aub Dental Hospital
4th and 5th Floors, 196 Baekjegobun-ro, Songpa-gu, Seoul