서울오브치과병원
충치부터 앞니파절까지, 빠르고 자연스럽게!
안녕하세요. 서울오브치과병원 입니다.☺️ 작은 충치가 생기거나 치아가 살짝 깨졌을 때, “이 정도는 괜찮겠지…” 하며 넘기는 경우가 많습니다. 하지만 이런 미세 손상과 초기 충치를 그대로 두면 시간이 지나면서 충치가 신경까지 번져 결국 신경치료나 크라운까지 가게 되죠. 이럴 때 필요한 것이 바로 레진치료 입니다. 레진...
안녕하세요. 서울오브치과병원 입니다.☺️
작은 충치가 생기거나 치아가 살짝 깨졌을 때,
“이 정도는 괜찮겠지…” 하며
넘기는 경우가 많습니다.
하지만 이런 미세 손상과 초기 충치를 그대로 두면
시간이 지나면서 충치가 신경까지 번져
결국 신경치료나 크라운까지 가게 되죠.

이럴 때 필요한 것이 바로 레진치료 입니다.
레진치료란?
레진은 치아색과 비슷한 복합 수지 재료로,
충치나 파절 부위를 메워 형태와
기능을 회복시키는 치료입니다.
흔히 ‘때운다’라고 표현하는 충전 치료의 한 종류로,
자연스럽고 통증이 거의 없는 것이 특징입니다.

✅ 충치 초기에 신경치료 없이 회복 가능
✅ 치아 삭제 최소화 (필요 부위만 정밀 제거)
✅ 즉시 치료 및 당일 마무리 가능
✅ 자연치와 구분 어려운 색상 재현
이런 경우에 레진치료가 필요합니다

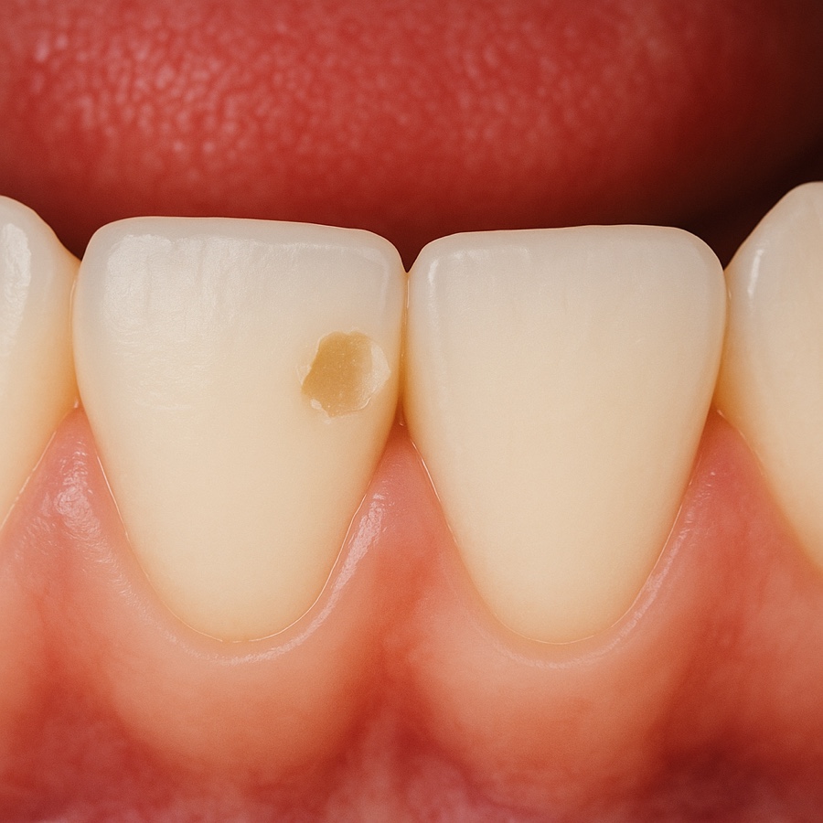
1️⃣ 작은 충치가 생겼을 때
→ 치아를 많이 갈지 않고 초기 병변만 제거 후
레진으로 메움

2️⃣ 치아가 살짝 깨졌거나 금이 갔을 때
→ 앞니 파절, 음식물로 인한 치아 깨짐 등

3️⃣ 기존 충전물이 떨어지거나 변색된 경우
→ 레진 재치료로 심미성 회복

4️⃣ 치경부마모증(잇몸 부위 패임)으로
시림이 있을 때
→ 치아 뿌리 부분에 레진 보강으로 통증 완화

5️⃣ 앞니 틈새나 비대칭 개선 등 간단한 심미 교정
서울오브치과병원 레진치료가 특별한 이유

1️⃣ 구강내시경으로 정밀 진단
눈으로 보기 어려운 미세 충치도
구강내시경으로 확대 확인합니다.
레진을 단순히 “메우는 것”이 아니라,
염증이 남지 않도록 정확히 병변만 제거합니다.
2️⃣ 색상 커스터마이징
치아마다 색이 다르기 때문에,
서울오브치과병원은
밝기·투명도·층 색상을 직접 조합해
“눈으로 봐도 티 나지 않는
자연스러운 복원”을 완성합니다.
3️⃣ 원내 기공소 협업
보철과·심미보철 전문의와 상주 기공사가 함께
레진·보철의 연결 부위를 세밀하게 조정하여
장기 유지력과 심미성을 모두 확보합니다.
4️⃣ 통증 없는 치료
정확한 전달마취 시스템을 통해
무통 치료가 가능합니다.
민감한 부위도 마취 후 바로 치료 가능하며,
시술 후에도 시림이나 통증이 거의 없습니다.
레진치료 과정

1️⃣ 진단 및 병소 확인
→ 구강내시경·X-ray 촬영으로 충치 범위 진단
2️⃣ 병변 제거 및 치아 정리
→ 손상된 조직만 최소 제거
3️⃣ 레진 충전 및 광중합
→ 특수 광선으로 경화시켜 단단하게 고정
4️⃣ 교합 조정 및 마무리 연마
→ 본래 치아와 이물감 없이 맞물리도록 조정
서울오브치과병원은
정밀 스캐너와 미세 연마 장비로
레진의 표면결을 자연치처럼 매끄럽게 마감합니다.
앞니 레진, 심미치료의 첫걸음
앞니가 살짝 깨졌거나 틈이 벌어진 경우,
라미네이트를 고민하기 전 레진 심미수복으로
충분히 해결 가능한 경우가 많습니다.
레진은 치아 삭제 없이 미세하게 덧입히는 방식으로,
모양, 각도, 색상을 자연스럽게 조정할 수 있습니다.
자연치아의 형태와 조화를 유지하면서도
심미적인 개선을 원하는 분들께 추천드립니다.
📍 서울시 송파구 백제고분로 196, 4~5층
🚇 삼전역 2번 출구 도보 3분
☎ 02-418-2275
💬 네이버톡톡 / 카카오톡 ‘서울오브치과’ 상담 가능
서울오브치과병원 잠실 서울특별시 송파구 백제고분로 196 4층, 5층
Explore More
Keep Browsing This Clinic's Korean Content Trail.
Return to the source archive for more posts, or move back to the clinic profile to compare the rest of the clinic's public channels.