Hello, this is Seoul of Dental Hospital.☺️
When a small cavity appears or a tooth chips a little,
many people think,
“Should be fine at this point…”
and let it go.
However, if these minor damages and early cavities are left untreated,
the cavity can spread to the nerve over time,
ultimately leading to root canal treatment or even a crown.

That is when resin treatment is needed.
What is resin treatment?
Resin is a composite resin material similar in color to teeth,
and it is a treatment that fills cavities or chipped areas to restore shape and function.
It is a type of filling treatment, often simply called a “filling,”
and is characterized by a natural appearance and almost no pain.

✅ Can be restored in the early stage of a cavity without root canal treatment
✅ Minimal tooth reduction (precise removal only where needed)
✅ Immediate treatment and completion on the same day
✅ Color reproduction that is hard to distinguish from natural teeth
These are the cases where resin treatment is needed

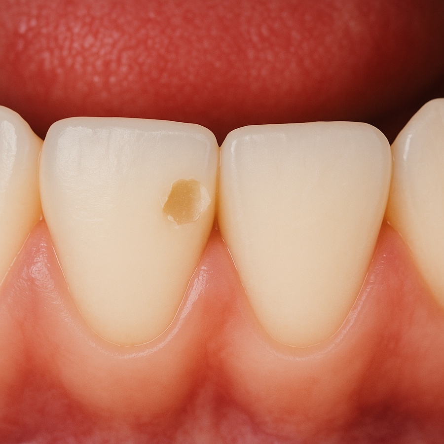
1️⃣ When a small cavity has formed
→ After removing only the early lesion without shaving down much of the tooth,
it is filled with resin

2️⃣ When a tooth is slightly chipped or cracked
→ Front tooth fractures, tooth damage caused by food, etc.

3️⃣ When an existing filling has fallen out or become discolored
→ Restoring aesthetics with retreatment using resin

4️⃣ When there is sensitivity due to cervical abrasion (a worn area near the gum)
→ Pain relief by reinforcing the root area of the tooth with resin

5️⃣ Simple cosmetic correction such as closing front-tooth gaps or improving asymmetry
Why Seoul of Dental Hospital’s resin treatment is special

1️⃣ Precise diagnosis with an intraoral endoscope
Even tiny cavities that are hard to see with the naked eye
are magnified and checked with an intraoral endoscope.
Rather than simply “filling” with resin,
only the lesion is accurately removed so that no inflammation remains.
2️⃣ Color customization
Because each tooth has a different shade,
Seoul of Dental Hospital directly combines brightness, translucency, and layer colors
to complete a “natural restoration that does not stand out even when seen with the eye.”
3️⃣ Collaboration with an in-house dental lab
The prosthodontics and cosmetic prosthodontics specialists, together with resident technicians,
finely adjust the connection areas of resin and prosthetics
to secure both long-term durability and aesthetics.
4️⃣ Painless treatment
With an accurate delivery anesthesia system,
painless treatment is possible.
Even sensitive areas can be treated immediately after anesthesia,
and there is almost no sensitivity or pain after the procedure.
Resin treatment process

1️⃣ Diagnosis and lesion identification
→ Diagnose the extent of the cavity with an intraoral endoscope and X-ray imaging
2️⃣ Removal of the lesion and tooth preparation
→ Minimize removal to only the damaged tissue
3️⃣ Resin filling and light curing
→ Harden and secure it firmly with a special light
4️⃣ Bite adjustment and final polishing
→ Adjust so it fits together with the original tooth without any foreign feeling
Seoul of Dental Hospital
defines the surface texture of resin like a natural tooth
with a precise scanner and fine polishing equipment.
Front tooth resin, the first step in cosmetic treatment
If a front tooth is slightly chipped or there is a gap,
before considering laminate veneers, many cases can be sufficiently resolved with resin cosmetic restoration.
Resin is a method of finely layering material without removing tooth structure,
and the shape, angle, and color can be adjusted naturally.
It is recommended for those who want aesthetic improvement while maintaining harmony with the shape of natural teeth.
📍 196 Baekjegobun-ro, Songpa-gu, Seoul, Floors 4–5
🚇 3-minute walk from Exit 2 of Samjeon Station
☎ 02-418-2275
💬 Naver TalkTalk / KakaoTalk consultation available under “Seoul of Dental”
Seoul of Dental Hospital Jamsil
4th and 5th Floors, 196 Baekjegobun-ro, Songpa-gu, Seoul