서울오브치과병원
전악임플란트가격, 수면으로 진행된 65세 이상 환자 치료
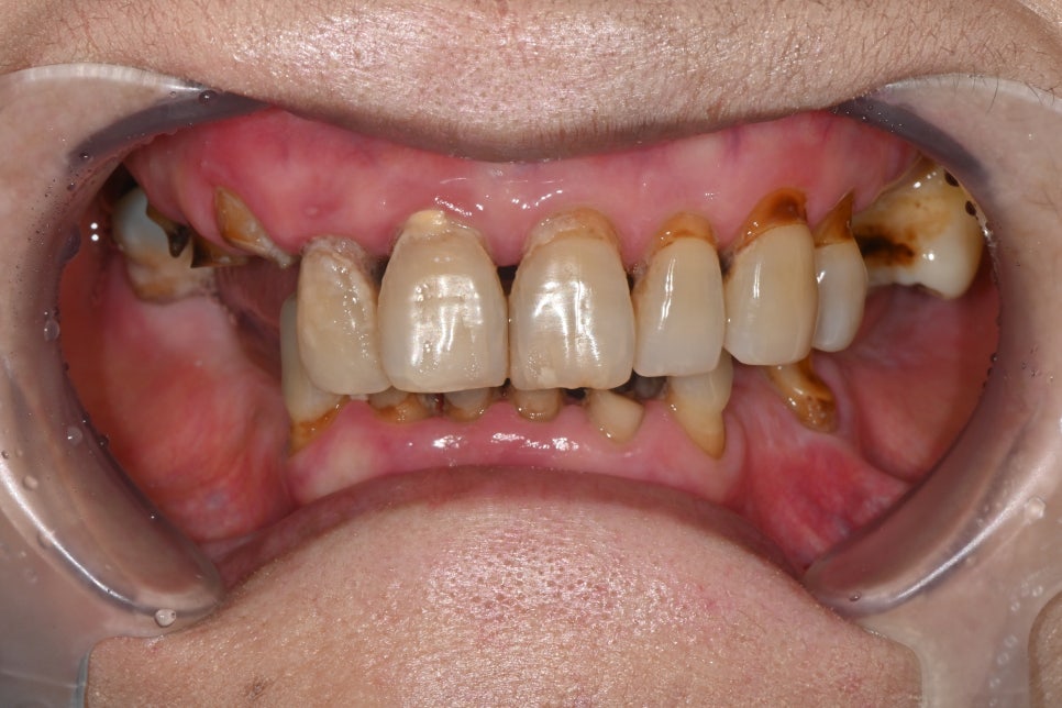
안녕하세요! 서울오브치과병원입니다 오늘은 65세 이상 수면치료(의식사진정요법)로 전악 임플란트를 진행한 사례에 대해 얘기해보려합니다. 내원당시 상태 환자분은 30년 이상 치과 진료를 미루며 전체적인 치아 마모, 탈락, 잇몸 염증이 복합적으로 진행된 상태였습니다. 특히 어금니가 거의 모두 빠져 있어 저작 기능이 상실...

안녕하세요! 서울오브치과병원입니다
오늘은 65세 이상 수면치료(의식사진정요법)로
전악 임플란트를 진행한 사례에 대해 얘기해보려합니다.
내원당시 상태

환자분은 30년 이상 치과 진료를 미루며
전체적인 치아 마모, 탈락, 잇몸 염증이
복합적으로 진행된 상태였습니다.
특히 어금니가 거의 모두 빠져 있어
저작 기능이 상실된 상황이었고
남아 있는 치아들도 마모가 심해 교합을
유지하기 어려웠습니다.

전악임플란트 가격

서울오브치과병원 임플란트
잇몸 사이에는 음식물이 끼면서
염증과 냄새가 반복적으로 발생했고
일상적인 식사에도 많은 불편이 있었습니다.
이런 경우에는 일부 치료로는 회복이 어렵기 때문에
무너진 교합과 잇몸 라인을 함께 재정비하는
전체임플란트가 필요한 케이스였습니다.
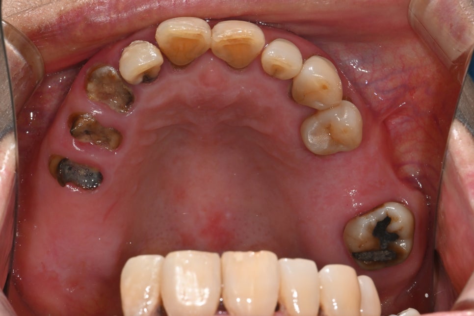
정밀 진단 및 치료 계획

정밀 진단 및 치료 계획
서울오브치과병원에서는 상·하악 전체를
3D CT로 정밀 분석한 뒤 치료 계획을 수립했습니다.
-
상·하악 총 13개 임플란트 식립
-
부족한 뼈는 동종골로 이식
-
어금니 중심의 교합 설계
-
최종 보철은 원내 기공소에서 맞춤 제작
-
환자분께는 공황장애 병력이 있어
치료 과정 자체에 큰 두려움이 있었기 때문에
안전 모니터링 시스템을 갖춘 수면치료로 진행했습니다.
수면으로 진행된 전악 수술


수면으로 진행된 전악 수술
전악 수술은 발치, 골이식, 상악동거상술,
그리고 전체임플란트 13개 식립까지
모두 포함된 치료였으며
수면 상태에서 약 2시간 만에 완료되었습니다.
수술 과정에서 가장 중점적으로 본 부분은
어금니 임플란트의 위치와 각도입니다.
어금니는 전체 교합을 지탱하는 핵심 부위이기 때문에
저작력이 자연스럽게 분산되도록
정확한 깊이와 각도를 유지하며 수술을 진행했습니다.
초기 회복 과정과 임시 보철


수술 후 첫날과 일주일 간격으로
부기, 통증, 출혈 여부를 확인했습니다.
필요 시 드레싱과 임시틀니 조정도 진행했습니다.
약 1개월이 지나면서 염증 및 부종이 안정화됐고
상·하악 임시 보철을 단계적으로 장착했습니다.
이 과정에서 발음, 저작, 잇몸 압력 등을 확인하며
환자분에게 맞는 형태로 조정했습니다.
전체임플란트 최종 보철 완성

서울오브치과병원 전악임플란트
전체임플란트 최종 보철 완성
최종 보철 제작 시 다음 사항을 중심으로 설계했습니다.
-
잇몸 라인과 자연스럽게 맞닿는 형태
-
어금니 중심의 안정적인 교합
-
발음과 저작 기능 개선
-
기공 단계에서 미세 오차 반복 체크
장착 후 앞니와 어금니 모두 균형 있게 맞물리며
음식의 질감을 충분히 느낄 수 있는
교합으로 복원되었습니다.
치료 후 변화
치료 후 변화

서울오브치과병원 임플란트 전
<수술 전>

서울오브치과병원 임플란트 후
<수술 후>
환자분의 삶의 질 변화는 매우 뚜렷했습니다.
-
정상적인 식사 가능
-
어금니 라인 복원으로 저작력 향상
-
발음 개선
-
표정 및 얼굴 윤곽 안정화
-
잇몸 염증 감소
-
고령 환자라 하더라도
정확한 진단과 숙련된 수술이 이뤄진다면
기능과 심미성 모두 회복될 수 있다는 사례였습니다.
전체임플란트 가격에 대해
전체임플란트가격에 대해
많은 환자분들이 전체임플란트가격을
가장 고민하지만
전체임플란트는 아래 요소들에 따라
치료 범위가 달라지기 때문에
같은 전체임플란트가격이라도 구성은 매우 다양합니다.
-
남아 있는 치아의 개수
-
뼈의 양과 잇몸 높이
-
어금니 포함 여부
-
수술 난이도와 용량
-
보철 제작 방식
-
서울오브치과병원은
정확한 CT 기반 진단을 토대로
불필요한 시술 없이 필요한 부위만 진행하기 때문에
합리적인 전체임플란트가격으로 안내가 가능합니다.

전체임플란트는 단순히 치아를 많이 심는 치료가 아니라
무너진 교합, 턱의 균형, 잇몸 형태를 동시에 복원하는
전악 재건 치료에 가깝습니다.
이번 환자분처럼 상태가 많이 악화되어도
정확한 계획과 전문적인 접근이 이루어진다면
다시 자연스럽게 씹고, 말하고, 웃는 모습을
되찾을 수 있습니다.
서울오브치과병원은
서울대 출신 전문의 4인 협진 시스템으로
65세 이상 고령 환자의 경우에도
정확한 수술과 안정적인 보철을 제공합니다.

서울오브치과병원 서울특별시 송파구 백제고분로 196 4층, 5층
전화문의 02-418-2275
<카카오채널문의>
http://pf.kakao.com/_yVxmxgG/chat
서울오브치과병원 젊어질 나를 위해. 환자분들의 건강하고 아름다운 구강과 얼굴을 위한 파트너가 되겠습니다.
pf.kakao.com
Explore More
Keep Browsing This Clinic's Korean Content Trail.
Return to the source archive for more posts, or move back to the clinic profile to compare the rest of the clinic's public channels.