
Hello! This is Seoulove Dental Hospital.
Today, I’d like to talk about a case of full-mouth implant treatment performed under sedation (conscious sedation) for a patient over 65.
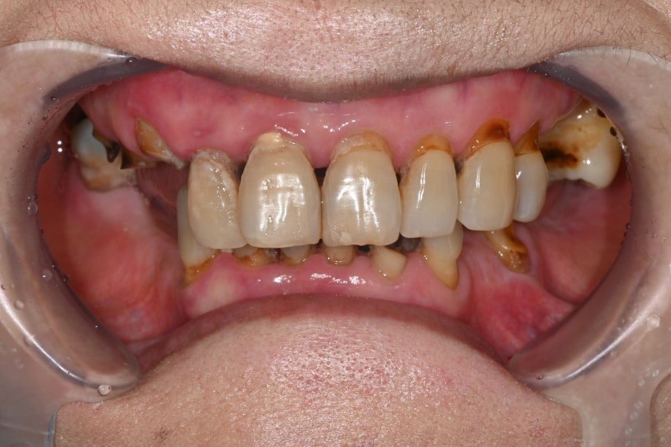
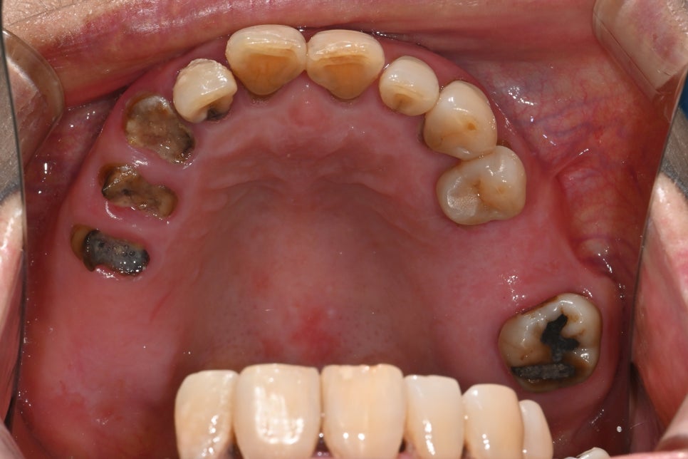
Condition at the Time of Visit

The patient had delayed dental care for more than 30 years,
and as a result, overall tooth wear, tooth loss, and gum inflammation
had developed together.
In particular, almost all molars were missing,
so chewing function had been lost,
and the remaining teeth were severely worn,
making it difficult to maintain the bite.

Full-mouth implant price

Seoulove Dental Hospital implants
Food was repeatedly trapped between the gums,
causing recurring inflammation and odor,
and even everyday meals were very uncomfortable.
In cases like this, recovery with partial treatment is difficult,
so a full-mouth implant treatment was needed to rebuild both the collapsed bite and the gum line.
Detailed Diagnosis and Treatment Plan

Detailed diagnosis and treatment plan
At Seoulove Dental Hospital, we first performed a detailed 3D CT analysis of the entire upper and lower jaws,
then established the treatment plan.
- Placement of a total of 13 implants in the upper and lower jaws
- Bone grafting with allograft material where bone was insufficient
- Bite design centered on the molars
- Final prosthetics custom-made in our in-house lab
-
Because the patient had a history of panic disorder
and was very fearful of the treatment itself,
the procedure was performed under sedation with a safety monitoring system in place.
Full-Mouth Surgery Performed Under Sedation


Full-mouth surgery performed under sedation
The full-mouth surgery included tooth extraction, bone grafting, sinus lifting,
and placement of all 13 full-mouth implants,
and it was completed in about 2 hours under sedation.
The most important part of the surgery was the position and angle of the molar implants.
Because the molars are a key area that supports the overall bite,
the surgery was performed while maintaining the correct depth and angle
so that chewing force could be distributed naturally.
Early Recovery and Temporary Prosthetics


The day after surgery and then at one-week intervals,
we checked for swelling, pain, and bleeding.
If needed, dressing changes and temporary denture adjustments were also performed.
After about one month, inflammation and swelling had stabilized,
and temporary upper and lower prosthetics were placed in stages.
During this process, we checked speech, chewing, and gum pressure,
and adjusted the shape to suit the patient.
Completion of the Final Full-Mouth Implant Prosthetics

Seoulove Dental Hospital full-mouth implants
Completion of the final full-mouth implant prosthetics
When fabricating the final prosthetics, we focused on the following points:
- A shape that naturally matches the gum line
- Stable bite centered on the molars
- Improved speech and chewing function
- Repeated checks for minor errors during the lab stage
After placement, the front teeth and molars came together in a balanced way,
restoring a bite that allowed the patient to fully feel the texture of food.
Changes After Treatment
Changes after treatment

Seoulove Dental Hospital implants before
<Before surgery>

Seoulove Dental Hospital implants after
<After surgery>
The change in the patient’s quality of life was very clear.
- Normal eating became possible
- Chewing ability improved through restoration of the molar area
- Speech improved
- Facial expression and contour became more stable
- Gum inflammation decreased
-
Even in an older patient,
this case showed that if an accurate diagnosis and skilled surgery are performed,
both function and esthetics can be restored.
About the Full-Mouth Implant Price
About the full-mouth implant price
Many patients worry most about the full-mouth implant price,
but
because the treatment scope changes depending on the following factors,
the composition can vary greatly even if the price is the same.
- Number of remaining teeth
- Amount of bone and gum height
- Whether the molars are included
- Surgical difficulty and extent
- Prosthetic fabrication method
-
At Seoulove Dental Hospital,
because we provide guidance based on an accurate CT-based diagnosis
and perform only the necessary procedures without unnecessary treatment,
we can offer a reasonable full-mouth implant price.

A full-mouth implant is not simply a treatment that places many teeth;
it is closer to full-mouth reconstruction that restores the collapsed bite,
jaw balance, and gum shape at the same time.
Even if the condition has worsened significantly like this patient’s,
with an accurate plan and a professional approach,
it is possible to regain a natural ability to chew, speak, and smile again.
Seoulove Dental Hospital
offers accurate surgery and stable prosthetics even for older patients over 65
through a collaborative system of four dentists, all graduates of Seoul National University.

Seoulove Dental Hospital
4th and 5th floors, 196 Baekjegobun-ro, Songpa-gu, Seoul
Phone inquiry: 02-418-2275
<Inquiries via Kakao Channel>
http://pf.kakao.com/_yVxmxgG/chat
Seoulove Dental Hospital
For a younger me. We will be your partner for the healthy and beautiful oral health and face of our patients.
pf.kakao.com