서울오브치과병원
전체임플란트 가격, 무너진 치아를 다시 살린 60대 환자 치료 후기
전체임플란트 가격은 환자분에 따라 큰 차이가 나기 때문에, 정확한 진단 없이 비용만 보고 결정하기 어려운 치료입니다. 이번 사례의 환자분도 오랜 치주염과 흔들리는 치아, 약해진 뼈 때문에 음식을 제대로 씹지 못해 오래 불편함을 겪어오셨습니다. “씹는 힘을 되찾고 싶다”는 마음으로 저희 잠실치과 서울오브치과병원을 찾...

전체임플란트 가격은 환자분에 따라
큰 차이가 나기 때문에,
정확한 진단 없이 비용만 보고
결정하기 어려운 치료입니다.
이번 사례의 환자분도 오랜 치주염과 흔들리는 치아, 약해진 뼈 때문에 음식을 제대로 씹지 못해
오래 불편함을 겪어오셨습니다.
“씹는 힘을 되찾고 싶다”는 마음으로
저희 잠실치과 서울오브치과병원을 찾으셨습니다.




처음 내원하셨을 때의 상태

전체임플란트 전

환자분은 앞니·어금니 여러 부위가 약해져 있었고,
남아 있는 치아 또한 흔들리거나 깨져
기능을 거의 하지 못했습니다.
특히 어금니가 이미 빠져 있는 부위가 많아서
부드러운 음식 외에는 섭취가 어려운 상태였습니다.
정밀 검사를 진행해보니
전체적인 치주 구조가 많이 무너져 있어
부분 치료로는 회복이 어려운 상황이었습니다.
왜 전체임플란트가 필요했을까?
치아가 부분적으로 문제가 있는 경우에는
한두 개 치료로 해결되지만,
이 환자분처럼 여러 부위의 치아가 동시에 약해지고 뼈까지 부족한 경우,
전체 임플란트가 기능과 심미를 함께 회복할 수 있는 가장 안정적인 방법입니다.
전체임플란트 가격도 이런 뼈 상태·수술 범위·보철 구조에 따라 결정됩니다.
CT 기반 진단으로 세밀하게 분석
서울오브치과병원에서는
3D CT와 구강스캐너를 통해
뼈의 두께, 흡수 정도, 신경 위치, 잇몸 높이,
교합까지 모두 분석합니다.

검사 결과, 상악과 하악 여러 부위에서
뼈가 많이 흡수된 상태였고,
임플란트를 심기 위해서는
여러 부위에서 뼈이식(GBR)이 반드시 필요했습니다.
이 진단을 바탕으로
서울대 출신 구강악안면외과 전문의와
보철과 전문의가 함께 전체 치료 계획을 세웠습니다.
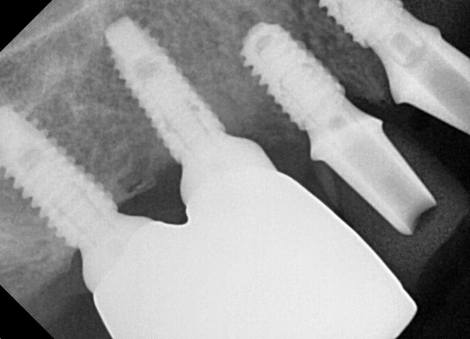
발치 + 임플란트 식립, 한 번에 진행

서울오브치과병원 임플란트
오래된 보철물과 약해진 치아들을 발치한 뒤,
필요한 부위에 임플란트를 바로 심었습니다.
뼈가 부족한 부위는 GBR로 보완해 안정적으로 지지할 수 있도록 했습니다.
상악·하악 임플란트의 각도는 CT 기반으로
미리 계획한 위치에 정확히 식립했습니다.
수술 후에는 임시치아를 장착해
일상생활에서 크게 불편하지 않도록
도와드렸습니다.
4개월 치유 기간 & 2차 수술
임플란트가 뼈와 단단히 붙을 수 있도록
약 4개월의 치유 기간을 가졌습니다.
이후 잇몸 모양을 자연스럽게 만들기 위해
2차 수술(힐링 어버트먼트 장착)을 진행했습니다.
이 단계는 최종 보철물이 자연스럽고
편안하게 들어가기 위한 중요한 과정입니다.
PMMA 임시보철 장착으로 교합 안정화

서울오브치과병원 임플란트 후
정밀 스캔을 통해 상악·하악
전체 PMMA 임시보철을 제작했습니다.
처음 장착했을 때는 발음이나
씹는 느낌이 어색할 수 있지만,
환자분이 가장 편안한 모습을 찾을 때까지
교합 조정, 레진 추가(Add), 높이 조정 등을
여러 차례 반복했습니다.
환자분은
“앞니로 물어지는 느낌이 정말 오랜만이다”
“음식 질감이 다시 느껴진다”고
만족을 표현하셨습니다.
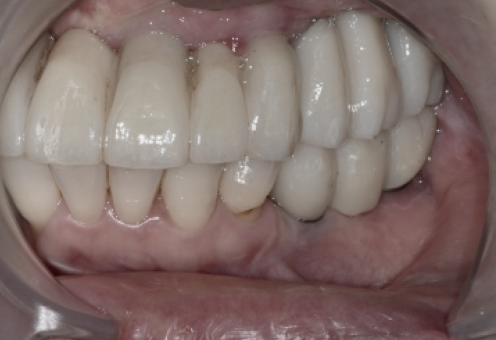
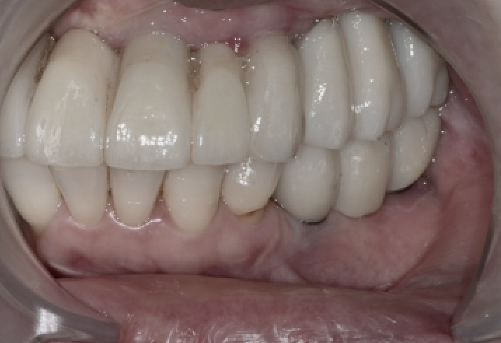
최종 지르코니아 보철 장착

충분한 조정을 거쳐
최종 지르코니아 보철을 장착했습니다.
앞니 라인부터 어금니 라인까지
자연스럽게 이어지도록 디자인했고,
씹는 힘이 한쪽으로 치우치지 않도록
교합을 세밀하게 조정했습니다.
이 과정에서 환자분은
“전체적으로 씹는 힘이 균형 있게 들어간다”고
말씀해주셨습니다.
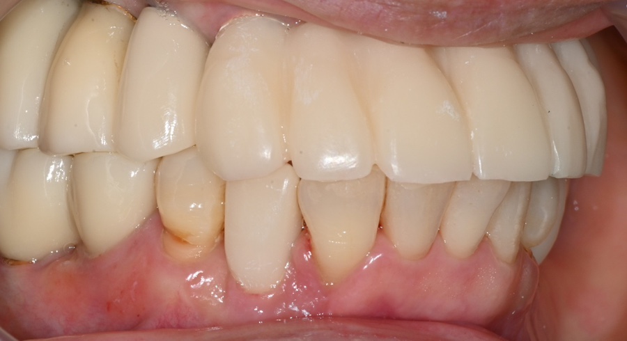
장착 후 3개월 체크

전체임플란트 수술
3개월 뒤 다시 내원하셨을 때
임플란트와 보철물, 잇몸 모두
안정적인 상태였습니다.
왼쪽이 조금 덜 씹힌다는 느낌이 있어
교합면을 아주 미세하게 조정해드렸고,
그 이후에는 편안하게 사용하고 계십니다.
전체임플란트 가격은
환자분의 상태·뼈의 양·필요한 수술 범위에
따라 달라집니다.
하지만 정확한 진단과
체계적인 계획 아래 진행한다면
저희 환자분처럼 다시 편안하게 씹고
웃을 수 있습니다.
서울오브치과병원은 기능과 심미를 모두 회복시키는
정밀 전체임플란트 치료를 제공하고 있습니다.

치아 전체를 임플란트 하기 위해서는 의료진의
풍부한 경험과 안정적인 보철 기공이 필요합니다.
수술이 미흡하게 마무리되면 치아와 잇몸 사이
공간이 벌어져 음식물과 이물질이 끼게 되고
짧은 시간 내에 오염 및 감염의 위험이 생깁니다.
다른 병원에 방문하시더라도 반드시
다른 환자의 수술 사례나 진료 사진을 확인해서
빈틈없이 꼼꼼하게 수술 가능한지 체크하시고
결정하시는 걸 추천 드립니다.
서울오브치과병원 서울특별시 송파구 백제고분로 196 4층, 5층
(주차 가능 / 네이버톡톡 및 카카오톡 상담 가능)
전화문의 02-418-2275
Explore More
Keep Browsing This Clinic's Korean Content Trail.
Return to the source archive for more posts, or move back to the clinic profile to compare the rest of the clinic's public channels.