
The price of full-mouth implants can vary greatly depending on the patient,
so it is a treatment that is difficult to decide on based on cost alone
without an accurate diagnosis.
In this case as well, the patient had long struggled with discomfort because long-standing periodontitis, loose teeth, and weakened bone made it difficult to chew properly.
With the wish to “regain chewing strength,”
they visited our Jamsil dental clinic, Seoulove Dental Hospital.




Condition at the first visit

Before full-mouth implants

The patient had weakened teeth in several areas, including the front teeth and molars,
and the remaining teeth were also loose or broken,
so they were barely functioning.
In particular, many molar areas were already missing teeth,
making it difficult to eat anything other than soft foods.
After a detailed examination,
we found that the overall periodontal structure had collapsed significantly,
making recovery with partial treatment difficult.
Why were full-mouth implants necessary?
If only some teeth have problems,
one or two treatments may be enough,
but in cases like this patient, where multiple teeth are weakened at the same time and there is also insufficient bone,
full-mouth implants are the most stable way to restore both function and aesthetics.
The price of full-mouth implants is also determined by bone condition, the extent of surgery, and the prosthetic structure.
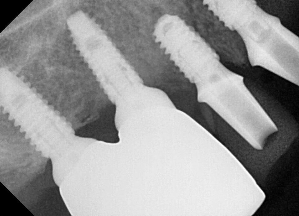
Detailed analysis based on CT diagnosis
At Seoulove Dental Hospital,
we use 3D CT and an oral scanner
to analyze the bone thickness, degree of resorption, nerve position, gum height,
and occlusion.

The test results showed that in several areas of both the upper and lower jaws,
the bone had been significantly resorbed,
and
bone grafting (GBR) was absolutely necessary in multiple areas in order to place implants.
Based on this diagnosis,
a specialist in oral and maxillofacial surgery trained at Seoul National University and a prosthodontics specialist
developed the overall treatment plan together.
Extraction + implant placement, performed at the same time

Seoulove Dental Hospital implant treatment
After extracting the old prostheses and weakened teeth,
we placed implants immediately in the necessary areas.
Areas lacking sufficient bone were supplemented with GBR to ensure stable support.
The angles of the upper and lower jaw implants were precisely placed in the preplanned positions based on CT data.
After surgery, temporary teeth were attached
to help the patient avoid major inconvenience in daily life.
4-month healing period & second surgery
To allow the implants to integrate firmly with the bone,
we observed a healing period of about 4 months.
After that, to create a natural gum shape,
we performed a second surgery (healing abutment placement).
This step is an important process for ensuring that the final prosthesis fits naturally
and comfortably.
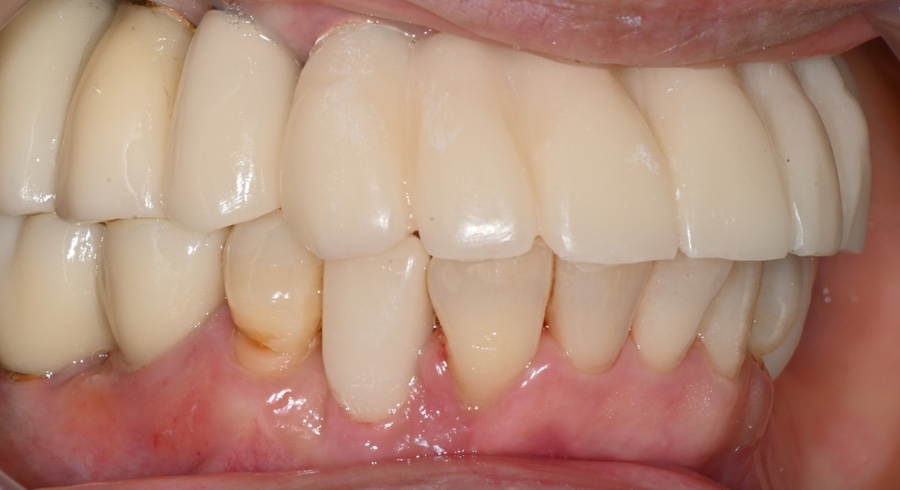
Stabilizing the bite with PMMA temporary prostheses

After implant treatment at Seoulove Dental Hospital
we used precision scanning to create upper and lower
full PMMA temporary prostheses.
When first fitted, speech or chewing sensations may feel unfamiliar,
but
we repeated bite adjustments, resin additions (Add), and height adjustments several times
until the patient found the most comfortable fit.
The patient said,
"It’s been a long time since I felt that biting with my front teeth again"
and
"I can feel the texture of food again,"
expressing satisfaction.
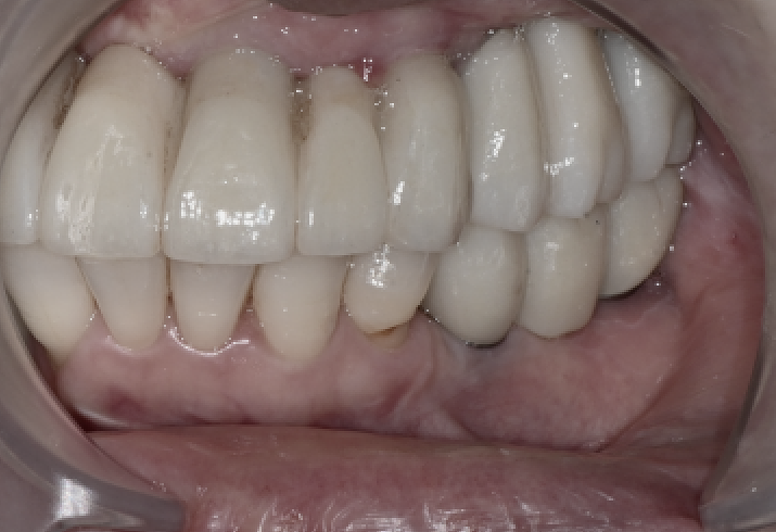
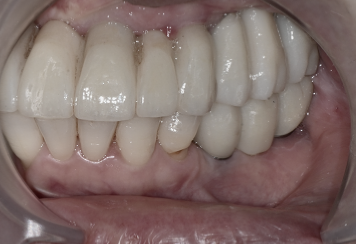
Final zirconia prosthesis placement

After sufficient adjustment,
we placed the final zirconia prosthesis.
It was designed to flow naturally from the front tooth line to the molar line,
and
we carefully adjusted the bite so that chewing force would not be concentrated on one side.
During this process, the patient said
that "the chewing force feels balanced overall."
3-month check after placement

Full-mouth implant surgery
When the patient returned 3 months later,
the implants, prostheses, and gums were all in a stable condition.
There was a feeling that the left side was chewing a little less,
so we made a very slight adjustment to the occlusal surface,
and after that, the patient has been using them comfortably.
The price of full-mouth implants
depends on the patient’s condition, the amount of bone, and the extent of surgery needed.
However, if it is performed under an accurate diagnosis
and a systematic plan,
patients can once again chew and smile comfortably, just like our patient.
Seoulove Dental Hospital provides precise full-mouth implant treatment that restores both function and aesthetics.

To place implants for the entire mouth, the medical team’s
extensive experience and stable prosthetic fabrication are necessary.
If the surgery is not completed properly, a gap can form between the teeth and gums,
causing food and foreign substances to get trapped,
and within a short time there is a risk of contamination and infection.
Even if you visit another hospital, we recommend checking the treatment cases or clinical photos of other patients
to see whether the surgery can be performed thoroughly and carefully
before making your decision.
Seoulove Dental Hospital
4th and 5th Floors, 196 Baekjegobun-ro, Songpa-gu, Seoul
(Parking available / Naver TalkTalk and KakaoTalk consultations available)
Phone inquiry: 02-418-2275