서울오브치과병원
앞니 라미네이트, 70세에도 자연스럽게 가능합니다 — 시니어 오브제로 치료 사례
연세가 있으신 분들은 앞니가 닳거나 색이 어둡게 변하면서 웃을 때 자신감이 떨어지는 경우가 많습니다. 특히 앞니 라미네이트는 ‘나이가 많으면 어렵지 않을까?’ 하고 걱정하시지만, 나이와는 크게 상관이 없습니다. 오늘 소개해드릴 환자분은 곧 70번째 생신을 앞둔 시니어 환자분의 앞니 라미네이트(OVZERO) 치료 사...
연세가 있으신 분들은 앞니가 닳거나
색이 어둡게 변하면서
웃을 때 자신감이 떨어지는 경우가 많습니다.
특히 앞니 라미네이트는
‘나이가 많으면 어렵지 않을까?’ 하고 걱정하시지만,
나이와는 크게 상관이 없습니다.
오늘 소개해드릴 환자분은
곧 70번째 생신을 앞둔 시니어 환자분의
앞니 라미네이트(OVZERO) 치료 사례입니다.

“생일 선물로 환하게 웃고 싶다”는
마음으로 내원하셨고,
짧은 기간 동안 자연스러운 라인과
밝은 톤을 되찾아드렸습니다.
나이가 많으실수록 임플란트만
고려하시는 경향이 있지만
잇몸 상태가 양호하거나
치아 발치가 필요하지 않다면
앞니 라미네이트만 해도 충분합니다.
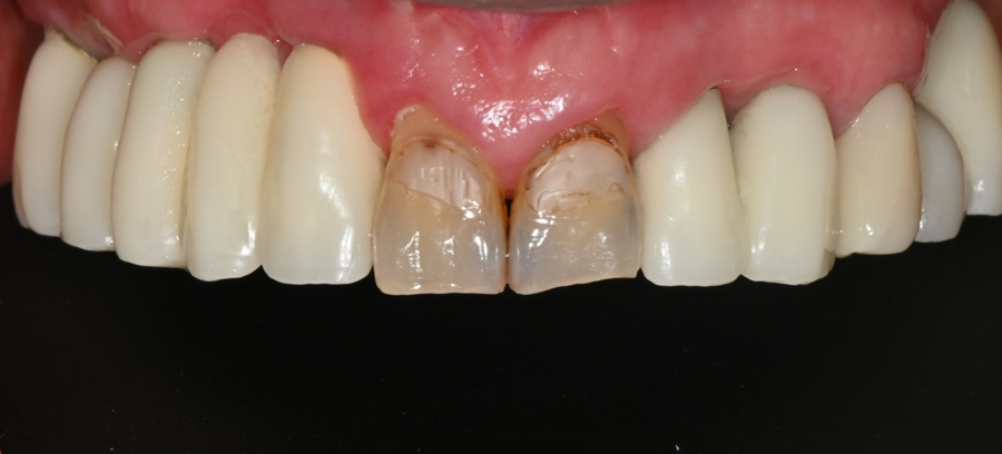
내원 당시 상태
환자분은 오랜 기간 사용한
오래된 앞니 보철물 때문에

색이 노랗게 변했고
치아 사이가 벌어져 보이고
웃을 때 앞니 모양이
마음에 들지 않는다고 호소하셨습니다.
또한 치아 표면이 많이 닳아 있어
‘사진 찍을 때 웃기 어렵다’고 하셨습니다.

앞니는 얼굴 인상을 결정하는 부위라
환자분의 고민이 충분히 이해되는 상황이었습니다.

특히 나이가 들수록 잇몸의 변형이 심해지고
치아의 변색 때문에 인상이 바뀌기도 합니다.
이런 분들께 라미네이트를 주로
추천드리고 있습니다.
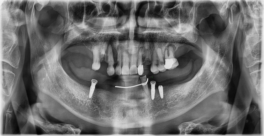
정밀 진단
저희 잠실 치과 서울오브치과병원에서는
시니어 환자분들도
3D 스캐너·구강내시경·교합 검사를 통해
현재 치아 상태를 세밀하게 확인하고 있습니다.

검사 결과,
앞니는 치질이 충분히 남아 있어
과도한 삭제 없이도 라미네이트가 가능했고,
잇몸 상태도 안정적으로 유지되고 있었습니다.
교합 또한 큰 문제 없이 맞물리고 있어
기존 보철물의 색과 형태만 개선해도
더 자연스럽고 균형 잡힌 앞니 라인으로
회복될 수 있는 케이스였습니다.
디자인 상담 (시니어 맞춤 자연미 강조)
환자분은
“너무 하얗지는 않았으면 좋겠다,
자연스러운 자연치 느낌이면 좋겠다”고
요청하셨습니다.

이에 따라 저희는
자연광에 가까운 투명도,
부담스럽지 않은 밝기,
입술 라인과 조화되는 앞니 길이,
발음이 편안한 절단면 형태를 기준으로
디자인 방향을 잡았습니다.

시뮬레이션 화면을 통해
예상 모습을 함께 확인해보니
“바로 이 느낌”이라며 치료를 진행하기로
결정하셨습니다.
시술 과정 (미세삭제 또는 무삭제 중심)
환자분은 치아가 비교적 건강했기에
삭제를 최소화한 미세삭제(또는 거의 무삭제)
방식으로 진행했습니다.

통증 없는 국소 마취
앞니 6개 라미네이트 준비
정확한 인상·교합 데이터 채득
임시치아 장착 후 일상 불편감 체크
임시치아 단계에서도
“벌써 인상이 환해 보인다”고 만족하셨습니다.
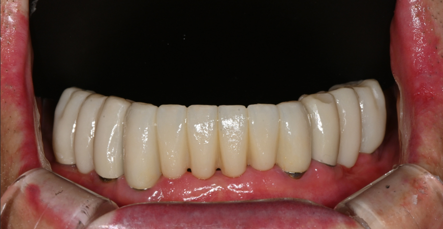
최종 오브제로 라미네이트 장착 (OVZERO)
기공소에서 완성된 최종 라미네이트는
자연광처럼 은은한 투명감과 생치에 가까운 질감,
그리고 시니어 환자분의 입술 라인과
자연스럽게 어울리는 형태로 제작되었습니다.

장착 후 환자분은 거울을 보며
“10년은 젊어진 것 같다”며 환하게 웃으셨습니다.
특히 앞니가 밝아지니
얼굴 전체가 부드럽고 환한 인상으로 바뀌었습니다.
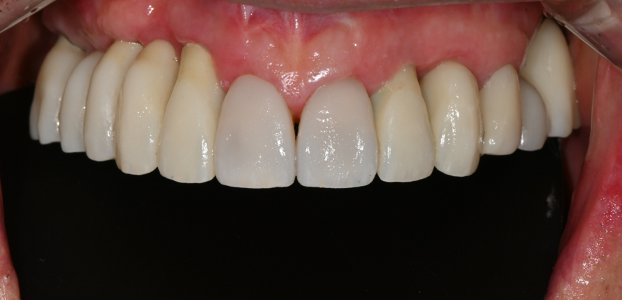
치료 후 변화
3주 뒤 재내원하셨을 때,
잇몸은 안정적으로 적응되어 있었고
발음이나 음식 섭취에서도 불편함이
전혀 없었습니다.

가족분들도 “훨씬 어려 보인다”고 할 정도로 인상이 한층 환해졌다고 하셨습니다.

특히 환자분의 70번째 생신을 기념해
저희 서울오브치과병원에서
스튜디오 촬영을 지원해드렸는데,
촬영 날 환자분은
“예전엔 사진 찍는 게 부담됐는데,
지금은 웃을 맛이 난다”며
사진 속 밝은 표정에 매우 만족하셨습니다.
시니어 앞니 라미네이트는 나이 때문에
불가능한 치료가 아닙니다.
잔존 치아 상태만 충분하면 젊은 분들과 동일한
자연스러운 결과를 얻을 수 있습니다.
저희 잠실 치과 서울오브치과병원은 보다
정밀하고 안전한 심미치료를 제공합니다.

앞니 라미네이트, 나이를 걱정하지 마세요.
본연의 자연스러운 아름다움은
언제든 되찾을 수 있습니다.
서울오브치과병원 서울특별시 송파구 백제고분로 196 4층, 5층
Explore More
Keep Browsing This Clinic's Korean Content Trail.
Return to the source archive for more posts, or move back to the clinic profile to compare the rest of the clinic's public channels.