As people get older,
their front teeth may wear down
or become darker in color,
and they often lose confidence when smiling.
In particular, when it comes to front tooth laminate veneers,
many people worry, “Wouldn’t this be difficult if I’m older?”
but age is not a major factor.
The patient introduced today is
a senior patient who was soon to celebrate their 70th birthday,
and this is a front tooth laminate veneer (OVZERO) treatment case.

They visited us with the wish to “smile brightly as a birthday gift,”
and over a short period,
we helped restore a natural line
and a brighter tone.
As people get older, there is a tendency to consider only implants,
but if the gum condition is good
or tooth extraction is not necessary,
front tooth laminate veneers alone can be enough.
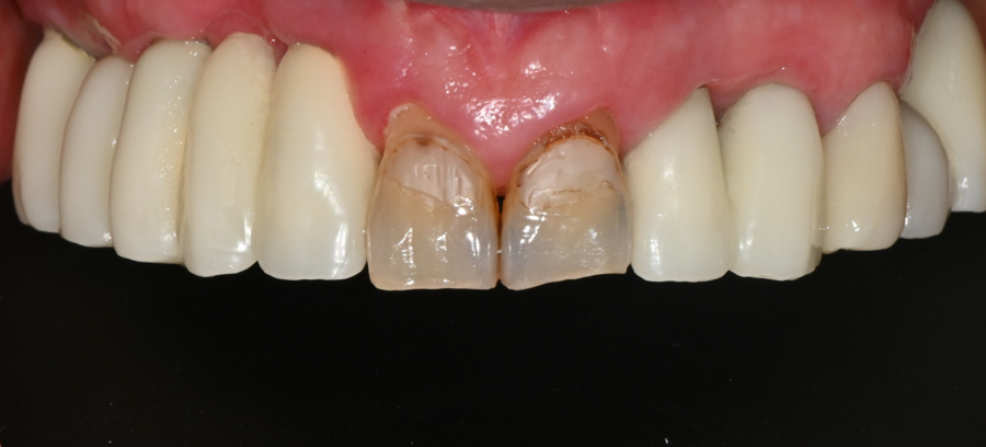
Condition at the time of the visit
The patient had old front tooth prosthetics
that had been used for a long time,

which had become yellowish,
the spaces between the teeth looked widened,
and they complained that they did not like
the shape of the front teeth when smiling.
The tooth surfaces were also significantly worn down,
and they said it was hard to smile in photos.

Because the front teeth are the area that determines the overall impression of the face,
the patient’s concerns were fully understandable.

Especially as people age, the gums can become more deformed
and discoloration of the teeth can change the impression of the face.
For patients like this, we mainly recommend veneers.
Detailed diagnosis
At our Jamsil dental clinic, Seoul OB Dental Hospital,
even senior patients are carefully assessed for their current dental condition
through a 3D scanner, intraoral endoscopy, and bite examination.

The examination showed that
enough tooth structure remained in the front teeth,
so veneers could be done without excessive reduction,
and the gum condition was also stable.
The bite was also well aligned without any major issues,
so this was a case in which improving only the color and shape of the existing prosthetics
could restore a more natural and balanced front tooth line.
Design consultation (emphasizing natural beauty tailored for seniors)
The patient said,
“I don’t want them to be too white;
I’d like them to look like natural teeth.”

Accordingly, we based the design direction on
a translucency close to natural light,
a brightness that would not feel excessive,
a front tooth length that harmonized with the lip line,
and an incisal edge shape that would be comfortable for pronunciation.

After checking the expected result together
through the simulation screen,
the patient said, “That’s exactly the look,”
and decided to proceed with treatment.
Procedure process (focused on minimal reduction or no reduction)
Because the patient’s teeth were relatively healthy,
we proceeded with minimal reduction (or nearly no reduction).

Painless local anesthesia
Preparation of 6 front tooth veneers
Accurate impression and bite data acquisition
Temporary teeth placed and daily discomfort checked
Even during the temporary teeth stage,
the patient was satisfied, saying,
“The overall impression already looks brighter.”
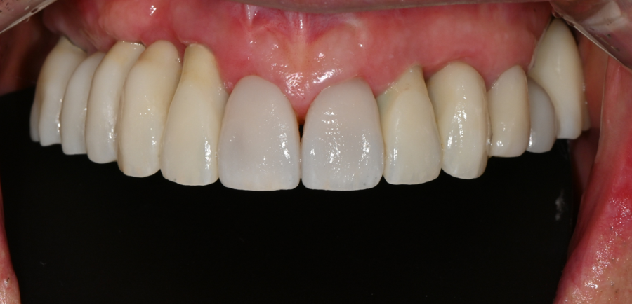
Final OVZERO veneer placement (OVZERO)
The final veneers completed in the lab were made with a subtle translucency like natural light,
a texture close to natural teeth,
and a shape that naturally matched the senior patient’s lip line.

After placement, the patient looked in the mirror
and smiled brightly, saying,
“I think I look 10 years younger.”
In particular, once the front teeth became brighter,
the entire face took on a softer and brighter impression.
Changes after treatment
When they returned three weeks later,
the gums had adapted stably,
and there was absolutely no discomfort
in pronunciation or eating.

The family also said the patient looked much brighter,
to the point of saying, “You look much younger.”

In particular, to commemorate the patient’s 70th birthday,
our Seoul OB Dental Hospital
supported a studio photo shoot,
and on the day of the shoot,
the patient said,
“I used to feel burdened taking photos,
but now I really enjoy smiling,”
and was very satisfied with the bright expression in the photos.
Senior front tooth laminate veneers are not a treatment
that is impossible just because of age.
If enough remaining tooth structure is present,
the same natural results as in younger patients can be achieved.
Our Jamsil dental clinic, Seoul OB Dental Hospital, provides more
precise and safe aesthetic treatment.

Front tooth laminate veneers — don’t worry about age.
Your original natural beauty
can always be restored.
Seoul OB Dental Hospital
4th and 5th Floors, 196 Baekjegobun-ro, Songpa-gu, Seoul