서울오브치과병원
오브제로 앞니 라미네이트, 치아삭제 최소화
안녕하세요! 서울오브치과병원입니다! 서울오브치과병원에는 20대 초반 환자분들이 앞니 고민으로 많이 내원하십니다. 오브제로 라미네이트 이번에 소개하는 20대 남성 환자분 역시 웃을 때 보이는 앞니 모양 때문에 오래 고민하다가 병원을 찾았습니다. 오브제로 라미네이트 특히 양쪽 앞니 옆에 위치한 작은 치아가 선천적으로...

안녕하세요! 서울오브치과병원입니다!
서울오브치과병원에는
20대 초반 환자분들이 앞니 고민으로 많이 내원하십니다.


오브제로 라미네이트
이번에 소개하는 20대 남성 환자분 역시
웃을 때 보이는 앞니 모양 때문에
오래 고민하다가 병원을 찾았습니다.


오브제로 라미네이트
특히 양쪽 앞니 옆에 위치한 작은 치아가
선천적으로 작아 보이는 형태였고,
색도 맞지 않아 전체적으로 웃을 때
인상이 흐려지는 상태였습니다.
이런 경우에는 과도한 형태 변경보다
자연스러움 중심의 맞춤 디자인이 필요하기 때문에
오브제로 라미네이트(OVZERO)가 적합했습니다.
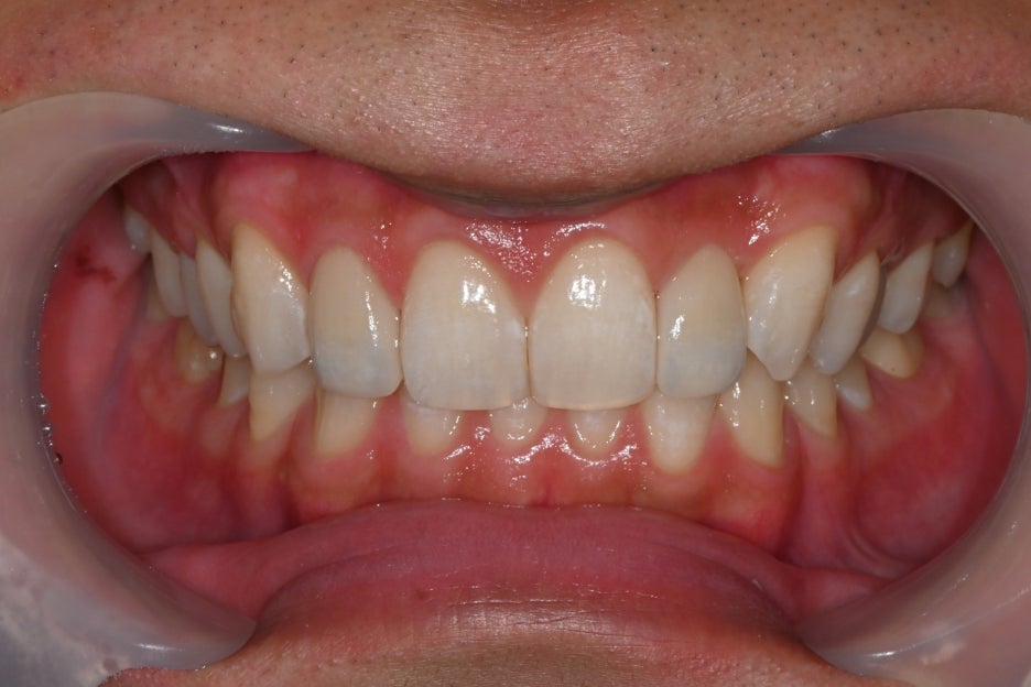
환자분의 초기상태
-왜 오브제로가 필요한 상황이었을까?
처음 내원 당시 환자분은

오브제로 라미네이트
1.앞니 옆 치아가 작게 나 있는 형태
2.레진 변색
3.전체적으로 어둡게 보이는 치아 색
이 세 가지 문제로 고민하고 있었습니다.
사람마다 치아 크기와 형태는 다르지만,
양쪽 균형이 크게 다르면 밝기를 높여도
자연스러움이 나오기 어렵습니다.
특히 20대 남성은
“티 나지 않게 자연스럽게만 예뻐지길”
요청하는 경우가 많습니다.



오브제로 라미네이트
오브제로 라미네이트는 치아 삭제를 최소화하면서,
치아의 본래 구조·입술 라인·얼굴형까지 고려해
디자인합니다.
그래서 작은 치아도 자연스럽게 보완하면서도
과한 느낌 없이 조화를 맞출 수 있습니다.
미백과 라미네이를 함께 고려한 진단


오브제로 라미네이트
환자분은 처음에 미백 이벤트로
병원을 방문하셨습니다.
전문 미백 3회를 진행해 전체 톤을 밝게 맞춘 뒤,
그 위에서 오브제로 라미네이트 계획을 세웠습니다.


오브제로 라미네이트
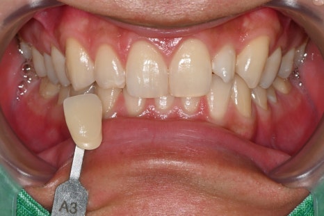
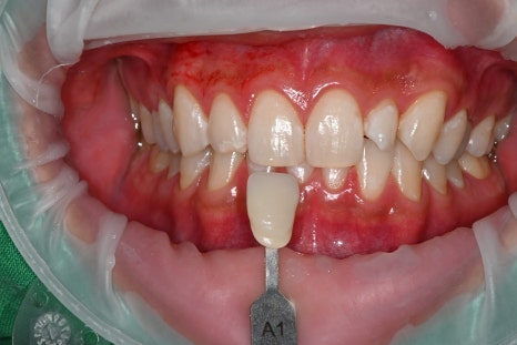
< 미백 전 A3 > 미백 후 A1 >
미백 전에는 치아 색이 A3 톤으로 다소 어두웠고,
미백 후에는 확실히 밝아졌습니다.
이 과정이 중요한 이유는,
오브제로 라미네이트의 색을
인접 치아와 자연스럽게 맞추기 위해서입니다.


오브제로 라미네이트
라미네이트가 아무리 정교해도
주변 치아과 색 차이가 있으면 인위적으로
보일 수밖에 없습니다.
서울오브치과병원은
오브제로 라미네이트 전 모든 환자에게
1.스캐너 진단
2.색상·투명도 분석
3.미소 라인 체크
등의 과정을 진행해 결과 예측을 정확히 합니다.
오브제로 라미네이트
-치아 보존을 최우선적으로

오브제로 라미네이트
오브제로는 미세 삭제 또는 무삭제를 기본으로 합니다.
이번 케이스에서도
필요한 부분만 최소한으로 정교하게 준비했습니다.
치아가 작게 난 경우,
불필요하게 크게 만들면


오브제로 라미네이트
오히려 부자연스러워 보일 수 있어
환자 얼굴의 균형을 고려해 최종 형태를 설계했습니다.
또한 준비 단계에서 충치가 발견된 부분은
즉시 레진 치료로 보완했습니다.
이는 라미네이트의 접착력과
장기적 안정성에 매우 중요합니다.


오브제로 라미네이트
원내 기공소의 역할-오브제로의 완성도는 기공에서 결정된다.

서울오브치과병원의 큰 강점 중 하나는
상주 치과기공사가 직접 제작하는 시스템입니다.
원내 기공소가 있다 보니 오브제로 라미네이트
제작 과정에서 다음과 같은 장점이 생깁니다.


오브제로 라미네이트
1.실시간 피드백으로 모양 수정 가능
2.환자 얼굴형에 맞춘 두께 조절
3.치아 표면의 미세한 결까지 표현
4.투명도·광택을 인접 치아와 자연스럽게 맞춤
특히 이번 환자분처럼 자연스러움을 최우선으로 하는 경우,
기공사의 세밀한 손기술이 최종 결과에 큰 영향을 줍니다.
오브제로 세팅과정에서의 섬세한 조정

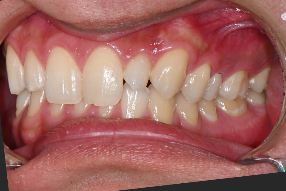
일주일 후 오브제로 라미네이트를
환자분의 입 안에서 실제로 확인했습니다.


오브제로 라미네이트
이 과정에서
-
왼쪽 치아 풍융부(앞쪽 볼록한 부분)
-
오른쪽 치아의 옆면 볼륨
이 두 요소가 환자 얼굴형과 미소 라인에 가장 잘 어울리는 방향으로 미세 조정되었습니다.
두 치아의 가장 자연스러운 볼륨을 찾아
수정한 뒤 최종 접착을 진행했습니다.
오브제로 라미네이트 부착
-자연스러운 앞니 완성

오브제로 라미네이트
최종 접착은 강도와 안정성이
검증된 재료를 사용해 진행했습니다.
<접착 후>
-
교합 조정
-
미소 라인 확인
-
외부 사진 촬영
-
을 진행해 완성도를 체크했습니다.


오브제로 라미네이트
장착 직후부터 환자분은
티 나지 않고 원래 제 치아인듯
너무 자연스러워요
만족해하셨습니다.


오브제로 라미네이트
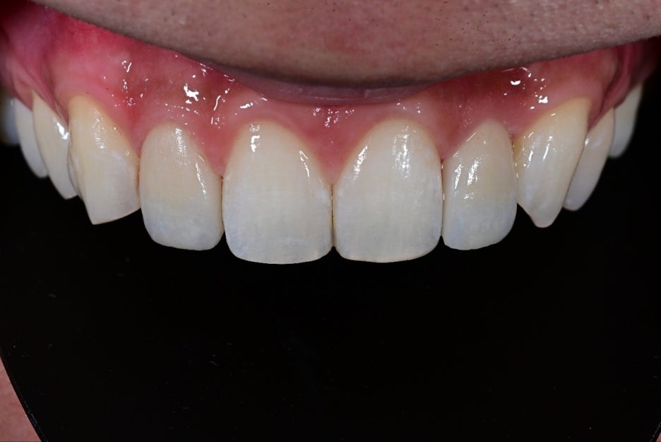
< BEFORE & AFTER >
치료 후 1주 체크
-안정적으로 잘 적응한 상태

오브제로 라미네이트
일주일 뒤 보철 체크에서도
-
시림 없음
-
교합 문제 없음
-
잇몸 눌림이나 경계선 들뜸 없음
-
모든 요소가 안정적으로 유지됐습니다.


오브제로 라미네이트
오브제로 라미네이트는 잇몸 라인과 보철 경계가
자연스럽게 이어지도록 설계되어
시간이 지나도 들뜸이 적고 변색 위험이 매우 낮습니다.
서울오브치과병원에서
오브제로 라미네이트를 받는 이유

서울오브치과병원은 다음 시스템을 기반으로
오브제로 라미네이트를 진행합니다.
-
서울대 출신 전문의 4인 진료(구강외과·보철과·심미보철)
-
전 직원 치과위생사
-
원내 치과기공사 상주
-
원내 기공소로 빠르고 정밀한 보철 제작
-
구강스캐너·구강내시경 등 첨단 장비
-
외국인 진료 가능
-
삼전역 인근/잠실권 최대 규모 치과병원
-
건물 뒤편 전용주차장 무료 이용 가능


오브제로 라미네이트
-
심미치료뿐 아니라 충치·보철·미백까지 모든 진료가
원스톱으로 이루어지기 때문에
20대 환자처럼 여러 치료가 연계되는 케이스에
최적화되어 있습니다.

오브제로 라미네이트
오브제로 라미네이트는
“앞니를 과하게 바꾸는 치료가 아니라, 나에게 가장 자연스러운 상태를 찾아주는 치료”입니다.
특히 20대 남성 환자처럼 자연스러움을 우선으로 하는 경우,
오브제로 라미네이트는
본래 치아의 결을 살리면서 부족한 부분만 보완해
가장 조화로운 결과를 만들어냅니다.
앞니 모양·비대칭·작은 치아·레진 변색으로
고민하고 있다면
삼전역치과 서울오브치과병원에서
오브제로 라미네이트 상담을 받아보시길 바랍니다.
전화문의 02-418-2275
<카카오톡 채널상담>
http://pf.kakao.com/_yVxmxgG/chat
서울오브치과병원 젊어질 나를 위해. 환자분들의 건강하고 아름다운 구강과 얼굴을 위한 파트너가 되겠습니다.
pf.kakao.com
서울오브치과병원 서울특별시 송파구 백제고분로 196 4층, 5층
Explore More
Keep Browsing This Clinic's Korean Content Trail.
Return to the source archive for more posts, or move back to the clinic profile to compare the rest of the clinic's public channels.