
Hello! This is Seoul Ob Dental Hospital!
At Seoul Ob Dental Hospital,
many patients in their early 20s come in with concerns about their front teeth.


Object Zero Laminate
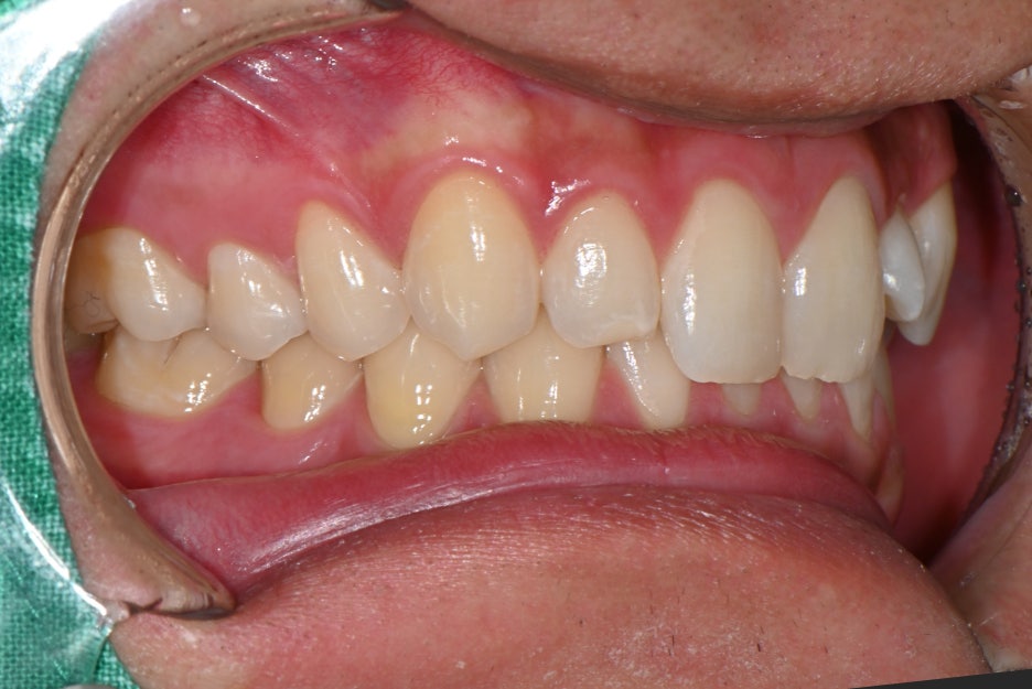
This male patient in his 20s, whom we are introducing today, also
had long been worried about the shape of his front teeth when he smiled
and finally visited the hospital.


Object Zero Laminate
In particular, the small teeth located next to both front teeth
appeared to be naturally small in shape,
and the color did not match, so overall,
his smile looked dull.
In cases like this, rather than making excessive shape changes,
a custom design centered on naturalness is needed,
so Object Zero Laminate (OVZERO) was appropriate.
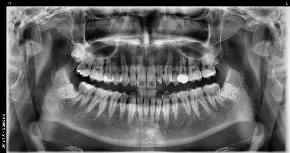
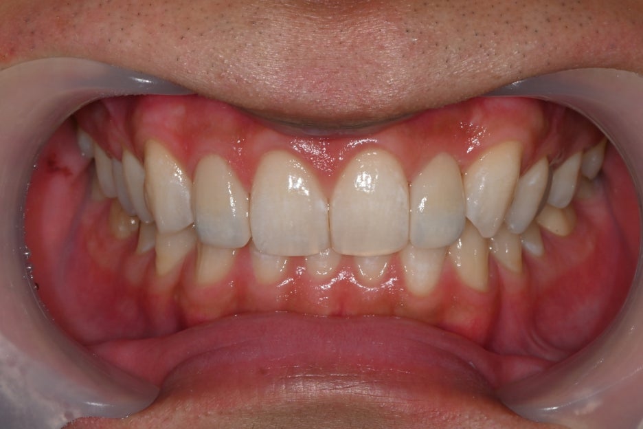
Initial condition of the patient
- Why was Object Zero needed in this case?
At the first visit, the patient was worried about these three issues:

Object Zero Laminate
-
Small lateral teeth next to the front teeth
-
Resin discoloration
-
Overall dark-looking tooth color
Although tooth size and shape vary from person to person,
if the balance on both sides differs greatly, it is difficult to achieve a natural look even by increasing brightness.
In particular, many male patients in their 20s
ask that the result simply look naturally better without being obvious.



Object Zero Laminate
Object Zero Laminate minimizes tooth reduction
and designs with consideration for the tooth's original structure,
lip line, and facial shape.
That is why it can naturally improve small teeth
while maintaining harmony without an overly artificial look.
Diagnosis considering whitening and laminate together


Object Zero Laminate
The patient initially visited the hospital for a whitening event.
After three sessions of professional whitening to brighten the overall tone,
an Object Zero Laminate plan was established on top of that.


Object Zero Laminate
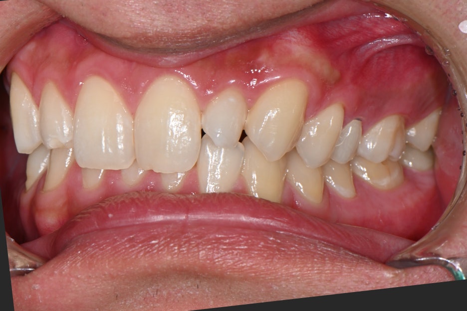
< Before whitening: A3 > After whitening: A1 >
Before whitening, the tooth color was somewhat dark at an A3 tone,
and after whitening, it became clearly brighter.
The reason this process is important is
to make the color of the Object Zero Laminate
match the adjacent teeth naturally.


Object Zero Laminate
No matter how precise the laminate is,
if there is a color difference from the surrounding teeth, it cannot help but
look artificial.
Seoul Ob Dental Hospital performs the following for every patient before Object Zero Laminate:
-
Scanner diagnosis
-
Color and translucency analysis
-
Smile line check
This allows for more accurate prediction of the result.
Object Zero Laminate
- Prioritizing tooth preservation

Object Zero Laminate
Object Zero is based on minimal reduction or no reduction.
In this case as well,
only the necessary areas were prepared as minimally and precisely as possible.
When teeth are small,
making them unnecessarily large can


Object Zero Laminate
actually make them look unnatural,
so the final shape was designed with the patient's facial balance in mind.
In addition, any areas where cavities were found during preparation
were immediately restored with resin treatment.
This is very important for the laminate's adhesion
and long-term stability.


Object Zero Laminate
The role of the in-house lab - the completeness of Object Zero is determined in the lab.

One of Seoul Ob Dental Hospital's biggest strengths is
a system in which an in-house dental technician directly fabricates the restorations.
Because there is an in-house lab, the Object Zero Laminate production process offers the following advantages:


Object Zero Laminate
-
Shape adjustments are possible with real-time feedback
-
Thickness can be adjusted to match the patient's facial shape
-
Fine surface details of the tooth can be expressed
-
Translucency and gloss can be matched naturally to the adjacent teeth
Especially in cases like this patient, where naturalness is the top priority,
the technician's meticulous handwork has a major impact on the final result.
Delicate adjustments during the Object Zero setting process

One week later, we checked the Object Zero Laminate
in the patient's mouth.


Object Zero Laminate
During this process,
the following were finely adjusted in the direction that best suited the patient's facial shape and smile line:
After finding and correcting the most natural volume for both teeth,
final bonding was performed.
Object Zero Laminate bonding
- Creating naturally looking front teeth

Object Zero Laminate
The final bonding was performed using materials whose strength and stability have been verified.
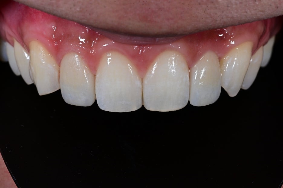
<After bonding>


Object Zero Laminate
Right after placement, the patient said,
It looks so natural, as if they were my original teeth, and not obvious at all.
They were very satisfied.


Object Zero Laminate
< BEFORE & AFTER >
1-week follow-up after treatment

Object Zero Laminate
At the one-week prosthetic check as well,


Object Zero Laminate
Object Zero Laminate is designed so that the gum line and the prosthetic margin
flow together naturally,
so there is less lifting over time and a very low risk of discoloration.
Why people get Object Zero Laminate at Seoul Ob Dental Hospital

Seoul Ob Dental Hospital performs Object Zero Laminate based on the following system:
-
Treatment by 4 specialists from Seoul National University (oral surgery, prosthodontics, aesthetic prosthodontics)
-
Dental hygienists on staff throughout the hospital
-
In-house dental technician on site
-
Fast and precise prosthetic fabrication through the in-house lab
-
Advanced equipment such as intraoral scanners and intraoral endoscopes
-
Treatment available for foreign patients
-
The largest dental hospital in the Samjeon Station / Jamsil area
-
Free use of a private parking lot behind the building


Object Zero Laminate
Because all treatments, including not only aesthetic procedures but also cavities, prosthetics, and whitening,
are provided in one stop,
it is optimized for cases like those of patients in their 20s where multiple treatments are linked together.

Object Zero Laminate
Object Zero Laminate is
"not a treatment that overchanges the front teeth, but a treatment that finds the most natural state for me."
Especially for male patients in their 20s who prioritize naturalness,
Object Zero Laminate
preserves the texture of the original teeth while supplementing only what is lacking,
creating the most harmonious result.
If you are concerned about the shape of your front teeth, asymmetry, small teeth, or resin discoloration,
please consider a consultation for Object Zero Laminate at Seoul Ob Dental Hospital near Samjeon Station.
Phone inquiry: 02-418-2275
< KakaoTalk channel consultation >
http://pf.kakao.com/_yVxmxgG/chat
Seoul Ob Dental Hospital
For the younger version of me. We will be a partner for our patients' healthy and beautiful oral health and face.
pf.kakao.com
Seoul Ob Dental Hospital
4th and 5th floors, 196 Baekjegobun-ro, Songpa-gu, Seoul