서울오브치과병원
송파치과 어금니 발치 후 임플란트
안녕하세요! 서울오브치과병원입니다. 오늘은 30대 남성 환자분의 임플란트 치료 증례를 소개해드리겠습니다. 환자분은 평소 오른쪽 아래 어금니가 깨져서 불편함 있었고, 오른쪽 위 작은 어금니는 오래 전부터 상실된 상태였습니다. 서울오브치과병원 한쪽으로만 씹다 보니 음식물이 잘 씹히지 않고, 턱 관절에도 부담이 된다고...

안녕하세요!
서울오브치과병원입니다.
오늘은 30대 남성 환자분의 임플란트 치료 증례를
소개해드리겠습니다.
환자분은 평소 오른쪽 아래 어금니가
깨져서 불편함 있었고,
오른쪽 위 작은 어금니는 오래 전부터
상실된 상태였습니다.


서울오브치과병원
한쪽으로만 씹다 보니 음식물이 잘 씹히지 않고,
턱 관절에도 부담이 된다고 하셨습니다.
결국 씹는 기능 회복과 양쪽 균형을 위해
두 부위 모두 임플란트를 진행하기로 결정했습니다.
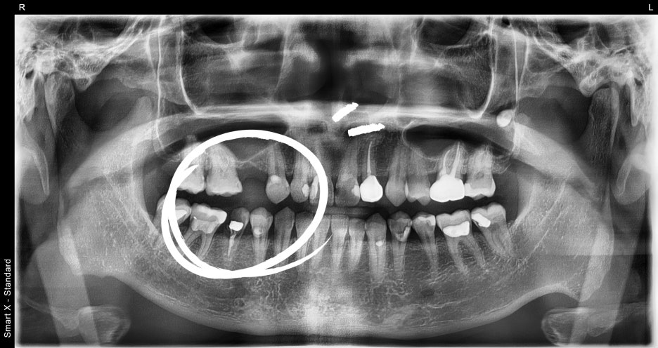
처음 내원 당시 사진

송파구 임플란트
오른쪽 아래 어금니가 깨진 뒤로는 씹을 때
통증이 생겨 불편합니다.
게다가 오른쪽 위 어금니가
없으니 음식이 잘 안 씹히고요
환자분 내원 이유
환자분은 직장생활과 식사 자리가
많아 늘 바쁘신 분이었습니다.


“오른쪽 아래 어금니가 깨진 뒤로는 씹을 때
통증이 생겨 불편합니다. 게다가 오른쪽 위 어금니가
없으니 음식이 잘 안 씹히고요”
환자분의 말씀처럼 어금니에 문제가 있으면
전체 저작력이 떨어지고, 남은 치아에도 무리가 갑니다. 이런 경우 임플란트 치료를 통해 기능과
심미를 모두 회복하는 것이 중요합니다.
임플란트 치료란?

임플란트 치료란?
임플란트는 잇몸뼈에 인공치근(티타늄)을 심고,
그 위에 보철물을 올려 잃어버린 치아를
대신하는 치료입니다.


서울오브치과병원 임플란트
틀니와 달리 탈착할 필요가 없고,
브릿지처럼 옆 치아를 깎지 않아도
된다는 장점이 있습니다.
자연치아와 거의 동일한 기능을 할 수 있어
현재 치과에서 가장 널리 사용되는 치료법입니다.
진단 및 치료 계획


임플란트
진단 및 치료 계획
치료기간: 2025년 8월 27일 ~ 2025년 12월 10일
1.파노라마 촬영 결과, 오른쪽 아래 어금니는
치아가 파절되어 보존이 불가능했습니다.
발치 후 즉시 임플란트 식립이 가능한
상태로 진단되었습니다.
2.오른쪽 위 작은 어금니는 오래 전
상실된 치아였으나, 잇몸뼈의 흡수 정도가 심하지 않아
추가적인 뼈이식 없이 임플란트가 가능했습니다.
3.환자분은 바쁜 일정을 고려해 전체 치료 기간을 최소화
하고자 하였고, 정밀 진단 후 약 3개월 내에
완성할 수 있는 계획을 세웠습니다.


치료과정

치료 과정
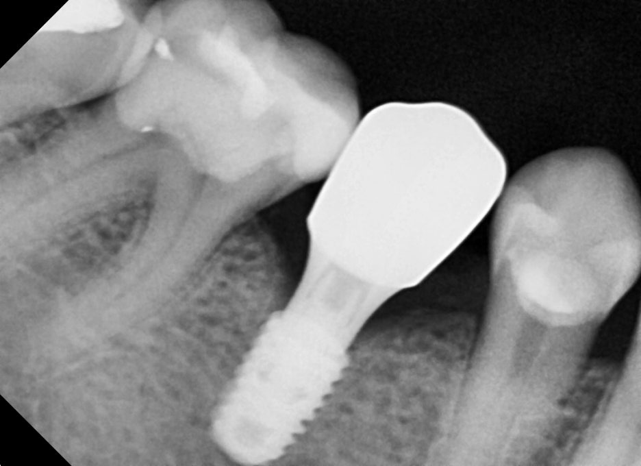
① 발치 및 임플란트 식립
– 깨진 치아를 발치한 뒤, 잇몸뼈 상태를 확인하고
바로 임플란트를 심었습니다.
발치 당일 임플란트 수술이 가능한 병원은 흔치 않습니다. 서울오브치과병원은 119 제휴 병원으로 응급상황 발생 시
즉시 대처가 가능하고, 구강악안면외과 전문의가 상주하여
안심하고 수술받으실 수 있습니다.
② 임플란트 식립
– 결손 부위에도 동시에 임플란트를 진행했습니다. 뼈 상태가 좋아 추가 시술 없이 안정적으로
식립이 가능했습니다.
③ 치유 기간
– 약 3개월 동안 임플란트가 뼈와 단단히 결합하는 골유착 과정을 거쳤습니다. 이 기간 동안 환자분은 임시 보철을 사용하며 생활에 불편함이 없도록 관리했습니다.

④ 최종 보철물 장착
– 원내 기공소에서 환자분의 교합과 치아 색상에 맞춘 지르코니아 크라운을 제작해 장착했습니다. 장착 후 교합 조정을 통해 양쪽 씹는 힘을 고르게 분산시켰습니다.

치료 후 환자분 소감

환자분 치료 후 소감
치료가 끝난 후
“양쪽으로 음식이 잘 씹혀서 너무 편해요”
이전에는 불편해서 한쪽으로만 씹었지만,
이제는 식사할 때 부담이 사라져 만족도가
매우 높으셨습니다.
무엇보다 치료 기간이 길지 않아 바쁜 일정 속에서도
계획대로 치료를 마칠 수 있었다는 점을
장점으로 꼽으셨습니다.


너무 오랜 기간 한쪽으로만 음식을 씹으셔서
반대쪽의 턱 근육이 힘을 잃은 상태였지만
수술 2주 후 병원에 방문해주셨을 때
무리 없이 씹을 수 있게 됐다고 말씀해주셨습니다.

자주 묻는 질문
자주 묻는 질문
Q1. 발치 후 임플란트는 언제 심을 수 있나요?
– 뼈와 잇몸 상태가 양호하다면 발치와 동시에
임플란트 식립이 가능합니다.
치료 기간을 줄이고 불필요한 추가 수술을 줄일 수 있습니다.
Q2. 임플란트 수명은 얼마나 되나요?
– 철저한 구강 위생 관리와 정기검진을 받는다면
10년 이상 사용 가능합니다.
실제로 평생 사용하는 경우도 많습니다.
Q3. 수술이 많이 아픈가요?
– 국소마취 하에 진행되며, 수술 후에도 통증 조절을 위한 체계적인 관리가 이루어지기 때문에
큰 통증 없이 회복이 가능합니다.
Q4. 양쪽에 동시에 임플란트를 해도 괜찮나요?
– 네. 환자의 상태에 따라 동시에 여러 개의 임플란트를 진행할 수 있으며, 치료 효율과 편의성이 높아집니다.

치료 요약
1회차: #45 발치 + 즉시 임플란트,
#15 임플란트 동시 식립
2~3회차: 치유 및 골유착 과정 점검
4회차: 최종 보철물 장착
→ 총 약 3개월 소요, 4회 내원으로 완성
임플란트는 단순히 빠진 치아를 메우는 치료가 아닙니다.
전체 교합과 턱관절의 균형을 고려한 정밀한 치료가
필요합니다. 이번 환자분처럼 양쪽 어금니에 결손이
있을 경우 임플란트를 통해 기능과 심미를 동시에
회복할 수 있습니다.

서울오브치과병원은
서울대 출신 전문의 4인 협진
(구강외과·보철과·심미보철)
전원 전문 치과위생사 근무
상주 치과기공사 및 원내 기공소 운영
구강스캐너 등 최첨단 장비 보유
무료 주차 가능
외국인 진료 가능
네이버 톡톡·카카오톡 상담 가능
을 통해 환자분들께 안전하고
정밀한 임플란트 치료를 제공합니다.
서울오브치과병원 서울특별시 송파구 백제고분로 196 4층, 5층
Explore More
Keep Browsing This Clinic's Korean Content Trail.
Return to the source archive for more posts, or move back to the clinic profile to compare the rest of the clinic's public channels.