
Hello!
This is Seoul OB Dental Hospital.
Today, we would like to introduce an implant treatment case
for a male patient in his 30s.
The patient had long been uncomfortable because the lower right molar
was broken,
and the upper right premolar had been missing
for a long time.


Seoul OB Dental Hospital
Because he had been chewing on only one side, he said food was not being chewed well,
and it was also putting strain on the jaw joint.
In the end, to restore chewing function and achieve balance on both sides,
we decided to proceed with implants in both areas.
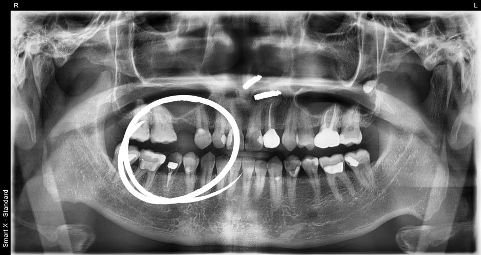
Photo at the first visit

Songpa-gu implant
Since the lower right molar broke, chewing causes pain
and discomfort.
In addition, because the upper right molar is missing,
food does not chew well.
Reason for the patient’s visit
The patient was always busy with work and many meal appointments.


“Since the lower right molar broke, chewing causes pain and discomfort. In addition, because the upper right molar is missing, food does not chew well.”
As the patient said, when there is a problem with the molars,
overall chewing power decreases and the remaining teeth are also put under strain.
In such cases, it is important to restore both function and aesthetics through implant treatment.
What is implant treatment?

What is implant treatment?
An implant is a treatment in which an artificial root (titanium) is placed into the jawbone,
and a prosthetic tooth is attached on top of it to replace a lost tooth.


Seoul OB Dental Hospital implant
Unlike dentures, it does not need to be removed,
and unlike a bridge,
the adjacent teeth do not need to be shaved down.
Because it can perform almost the same function as natural teeth,
it is currently the most widely used treatment in dentistry.
Diagnosis and treatment plan


Implant
Diagnosis and treatment plan
Treatment period: August 27, 2025 ~ December 10, 2025
-
Panoramic imaging showed that the lower right molar had fractured
and could not be preserved.
It was diagnosed as a case in which immediate implant placement after extraction was possible.
-
The upper right premolar had been missing for a long time,
but because the degree of bone resorption in the jawbone was not severe,
implant treatment was possible without additional bone grafting.
-
Considering the patient’s busy schedule, the patient wanted to minimize the overall treatment period,
and after precise diagnosis, a plan was established to complete treatment in about three months.


Treatment process

Treatment process
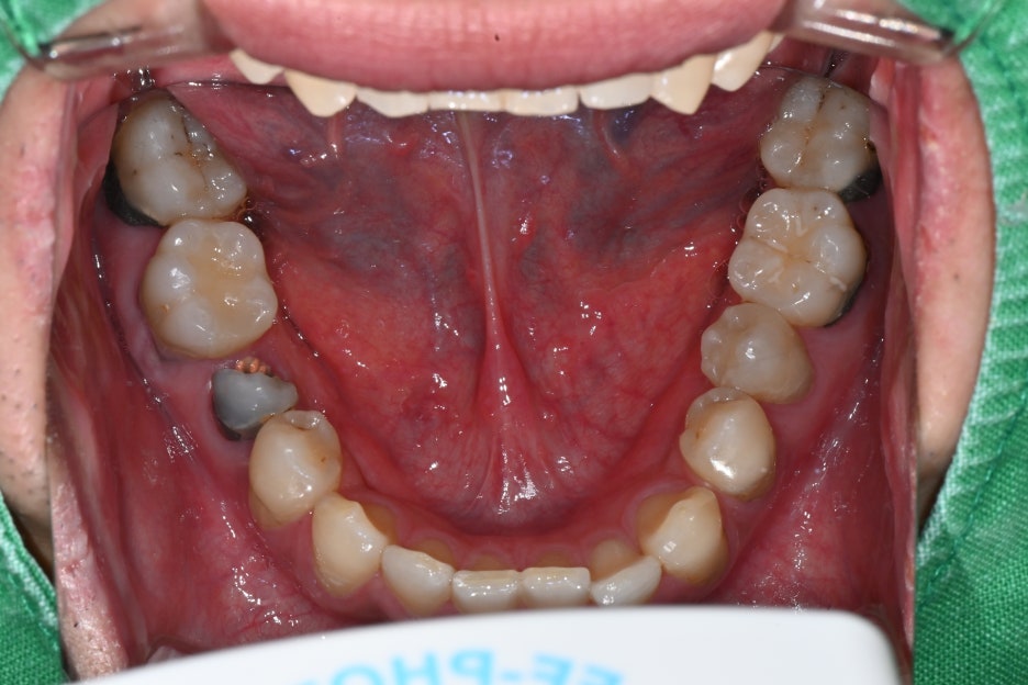
① Extraction and implant placement
– After extracting the broken tooth, we checked the condition of the jawbone
and placed the implant immediately.
It is not common to find a clinic where implant surgery can be performed on the same day as extraction. Seoul OB Dental Hospital is affiliated with 119, so in the event of an emergency
we can respond immediately, and because an oral and maxillofacial surgery specialist is on site,
you can undergo surgery with peace of mind.
② Implant placement
– We also placed an implant simultaneously in the missing area. Because the bone condition was good, placement was possible stably
without additional procedures.
③ Healing period
– Over about three months, the implant underwent osseointegration, in which it firmly bonded with the bone. During this period, the patient used a temporary prosthesis so that daily life would not be inconvenienced.

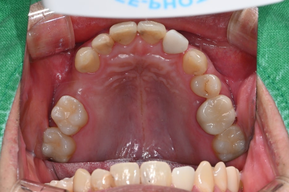
④ Final prosthesis placement
– In the in-house dental laboratory, we fabricated and placed a zirconia crown tailored to the patient’s bite and tooth color. After placement, bite adjustment was performed to distribute chewing force evenly on both sides.

Patient’s feedback after treatment

Patient’s feedback after treatment
After treatment,
“I can chew food well on both sides, so it’s so comfortable.”
Before, because it was uncomfortable, he only chewed on one side,
but now the burden during meals has disappeared, so his satisfaction was very high.
Above all, he pointed out that the treatment period was not long, so he was able to finish treatment as planned even with a busy schedule.


Because he had been chewing food on only one side for such a long time,
the jaw muscles on the opposite side had weakened, but when he visited the hospital two weeks after surgery,
he said he was able to chew without difficulty.

Frequently asked questions
Frequently asked questions
Q1. When can an implant be placed after extraction?
– If the bone and gum condition is good, implant placement can be performed at the same time as extraction.
This can shorten the treatment period and reduce unnecessary additional surgery.
Q2. How long do implants last?
– If you maintain thorough oral hygiene and receive regular checkups,
they can be used for more than 10 years.
In fact, many people use them for life.
Q3. Is the surgery very painful?
– It is performed under local anesthesia, and even after surgery, systematic management is provided for pain control,
so recovery is possible without significant pain.
Q4. Is it okay to have implants placed on both sides at the same time?
– Yes. Depending on the patient’s condition, multiple implants can be placed at the same time, increasing treatment efficiency and convenience.

Treatment summary
1st visit: #45 extraction + immediate implant,
#15 implant placed simultaneously
2nd–3rd visits: Healing and osseointegration check
4th visit: Final prosthesis placement
→ Total of about 3 months, completed in 4 visits
An implant is not simply a treatment to fill a missing tooth.
It requires precise treatment that considers overall occlusion and jaw joint balance.
As in this patient’s case, when there are missing molars on both sides,
function and aesthetics can be restored at the same time through implants.

Seoul OB Dental Hospital
Collaborative care by 4 specialists from Seoul National University
(Oral Surgery, Prosthodontics, Esthetic Prosthodontics)
All staff are certified dental hygienists
Resident dental technician and in-house dental laboratory
State-of-the-art equipment including an intraoral scanner
Free parking available
Treatment available for foreign patients
Naver TalkTalk and KakaoTalk consultations available
We provide safe and precise implant treatment to patients
through the above services.
Seoul OB Dental Hospital
4th and 5th floors, 196 Baekjegobun-ro, Songpa-gu, Seoul