서울오브치과병원
신경치료 1차 수술은 반드시 전문의에게 맡겨야 하는 이유
안녕하세요! 서울오브치과병원입니다. 최근 65세이상 남성 환자분이 “어젯밤 식사 중 어금니 보철물이 떨어지고, 통증이 심하다”는 증상으로 내원하셨습니다. 단순 보철물 탈락으로 보였지만, 정밀 검진 후 상황은 훨씬 복잡했습니다. 어금니 내부에 염증이 깊게 진행되어 있으며, 신경(치수)까지 손상이 진행된 상태였습니...

안녕하세요!
서울오브치과병원입니다.
최근 65세이상 남성 환자분이
“어젯밤 식사 중 어금니 보철물이 떨어지고,
통증이 심하다”는 증상으로 내원하셨습니다.
단순 보철물 탈락으로 보였지만,
정밀 검진 후 상황은 훨씬 복잡했습니다.
어금니 내부에 염증이 깊게 진행되어 있으며,
신경(치수)까지 손상이 진행된 상태였습니다.
이런 경우에는 보철물을 다시 붙이기보다
신경치료를 통해 치아 내부의 염증을
먼저 제거해야 치아를 살릴 수 있습니다.
신경치료에도 골든타임이 있습니다. 적절한 치료 시기를 놓치면 조직이 괴사하거나 통증이 심해져 미지근한 물을 마실 때에도 큰 시림과 통증을 유발할 수 있습니다.
치아 내부에 존재하는 염증이 신경까지 침투하게 되면 수술 없이 자연회복이 불가능해지며, 일반 치과의사가 아닌 보존과 전문의의 전문적인 수술이 필요합니다.
왜 신경치료가 필요할까?

치아 내부에는 신경과 혈관이
지나가는치수 조직이 있습니다.
충치가 깊어지거나 오래된 보철물이 틈이 생기면
세균이 치아 안쪽으로 침투하게 되고,
이때 염증이 생기면 통증이 반복됩니다.
환자분의 어금니는 보철물 아래로
충치가 진행되어 치아 뿌리 근처까지
손상된 상태였기 때문에
신경치료가 필수적이었습니다.
신경치료를 하지 않은 채
보철물을 다시 붙이면 통증이 더 심해지고,
나중에는 발치까지 이어질 수 있기 때문에
초기 판단이 매우 중요합니다.
첫방문 - 진단과 응급조치

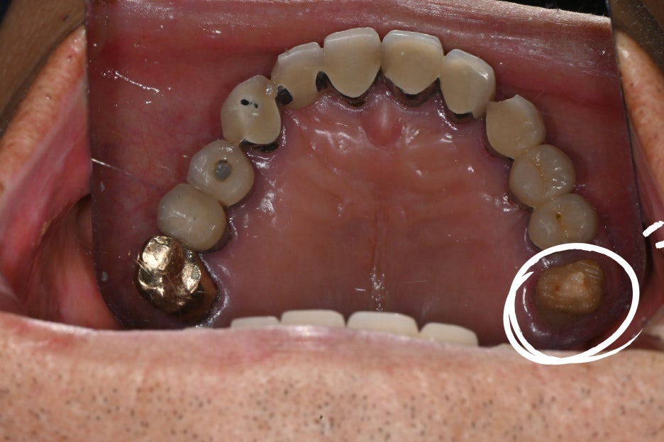
오른쪽 위 어금니가 씹을 때마다 시큰거리고
차가운 물을 마시면 심하게 시려요
환자분은 치주염과 치석이 많이 쌓여 있어
우선 파노라마 촬영과 치석 제거를 진행했습니다.
검사 결과는 다음과 같았습니다.


1.오래된 보철물 아래로 충치 진행
2.만성 치주염 동반
3.잇몸 부종 및 출혈
4.신경 염증 가능성 높음
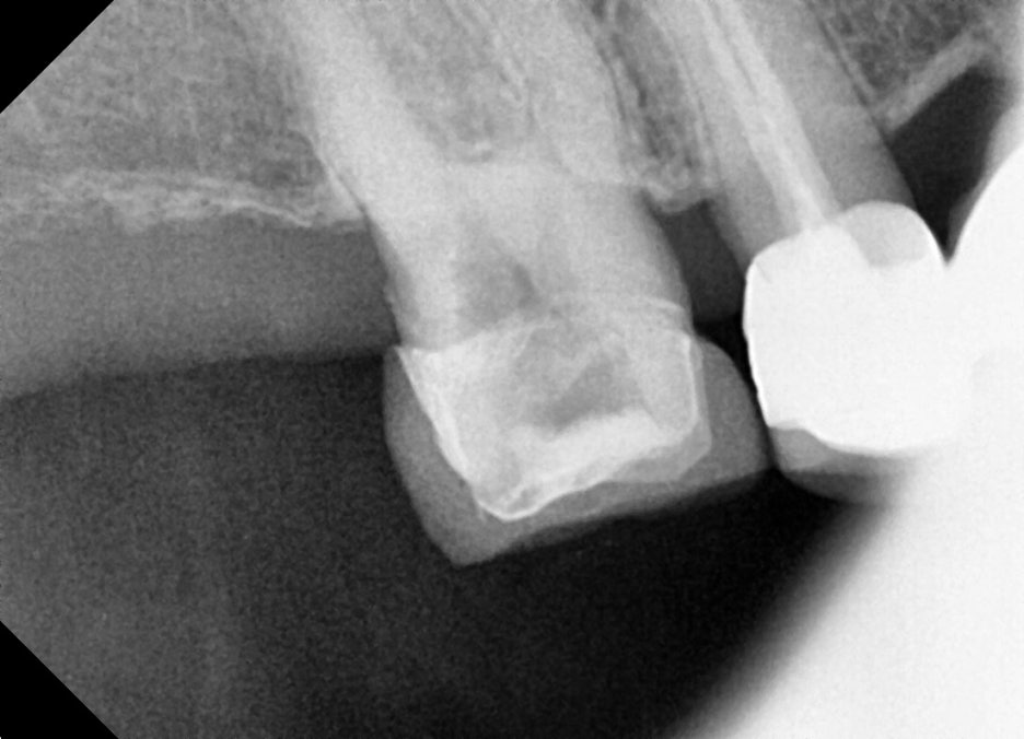
정밀 파악을 위해 추가로 치근단 엑스레이를 촬영했고, 실제로 치아 뿌리 끝까지 염증이 퍼져 있는 것이 확인되었습니다. 이 단계에서 신경치료 계획을 확정했습니다.
서울대 보존과 전문의 직접치료

서울대학교 치의학과 졸업
치과보존과전문의 정하늘 수석원장
서울오브치과병원의 신경치료는
서울대 보존과 전문의가 직접 시행합니다
왜 전문의가 필요할까요?
전문의는 치과대학을 졸업하고 3~4년의 수련을 거쳐 국가 전문의시험에 합격한 의료진으로, 일반 치과의사보다 고난도 수술이 가능합니다.
치과 수술 중 5~10%는 수술 실패로 분류되는데, 전문의가 수술을 집도할 경우 신경치료 실패율이 현저히 낮아지게 됩니다.
송파구 소재 치과 중 4명 이상의 의료진이
전문의로 구성된 치과는 서울오브치과병원이 유일합니다.
신경치료 치료과정

신경치료 1차
– 염증 제거 및 근관 확대
신경 치료는 치아의 표면을 파내서 속에 있는 염증을 제거하고, 보철물로 치아를 덮어씌우는 치료를 의미합니다.
의료진의 역량에 따라 치아를 보존하고 신경을 훼손하지 않는 정도가 달라지게 됩니다.
정밀하게 수술할수록 환자의 통증이 줄어들고 회복 기간이 짧아지게 되는데요, 서울오브치과병원은 항생제와 진통제를 처방하여 환자분이 퇴원 직후에도 불편함을 느끼시지 않게 해드렸습니다.
신경치료 2차
– 근관 성형 및 감염 조직 정리
1주 후 내원한 2차 치료에서는 근관 내부에 남아 있는 미세 염증 조직을 제거하는 과정이 진행되었습니다.
근관의 형태가 안정적으로 정리되면 그다음 단계로 최종 충전(근관충전)을 준비할 수 있습니다.

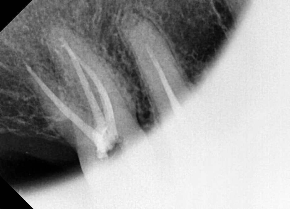
신경치료 3차 – 근관충전 및 코어 형성
3차 방문에서는 근관 내 공간을 씰러로 채워
세균이 다시 침투하지 못하도록 봉쇄하는 과정입니다.
이 단계까지 완료되면 신경치료는 종료됩니다.
이로써 해당 어금니는 다시 씹을 수 있는
기능을 준비하게 됩니다.
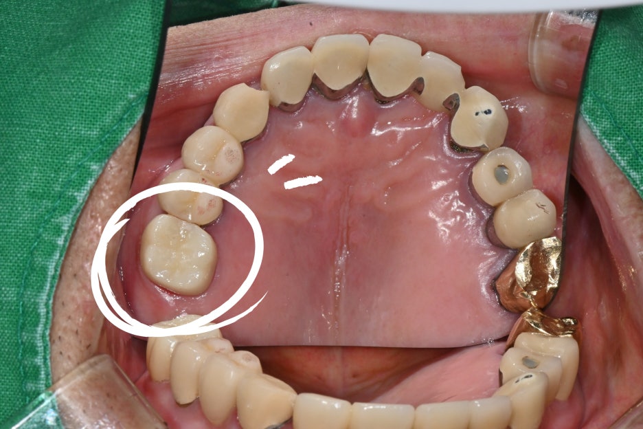
4.최종 보철 – 지르코니아 크라운으로 복원
신경치료를 마친 치아는 내부가 약해져 금이 쉽게 갈 수 있습니다. 따라서 기능 회복을 위해 지르코니아
크라운으로 씌워 마무리하게 됩니다.
– 완성된 크라운을 장착하고
교합을 조정하여 씹는 기능을 정상적으로 회복했습니다.

치료 후 환자분 소감
치료 후 환자분은
"통증이 사라지고 마음 편히 씹을 수 있다”며
만족감을 보이셨습니다
또한 주변 치아와 색이 잘 맞아 심미적으로도
자연스러웠습니다.
자주 묻는 질문
자주 묻는 질문
Q1. 신경치료 후 꼭 크라운을 씌워야 하나요?
👉 네, 신경치료를 받은 치아는 구조가 약해져 파절 위험이 높습니다. 따라서 크라운으로 씌워주는 것이 안전합니다.
Q2. 크라운은 어떤 재료가 좋은가요?
👉 본원에서는 주로 지르코니아 크라운을 사용합니다. 강도와 심미성을 모두 갖춰 앞니·어금니 모두에 적합합니다.
Q3. 치료 기간은 얼마나 걸리나요?
👉 보통 2~3주 내에 완성됩니다.
Q4. 신경치료 후에도 통증이 남을 수 있나요?
👉 초기에 약간의 불편감이 있을 수 있으나 시간이 지나면서 대부분 사라집니다. 지속된다면 반드시 검진이 필요합니다.
신경치료 후 관리가 더 중요합니다.

신경치료가 끝났다고 해서
치아 관리가 끝난 것은 아닙니다.
신경이 제거된 치아는 감각이 없어
충치가 생겨도 통증을 느끼지 못합니다.
따라서 다음 관리가 필요합니다.
1.6개월마다 정기검진
2.치주 스케일링
3.치근단 엑스레이로 재발 여부 확인
4.보철물 파절 여부 점검

신경치료는 치아를 살릴 수 있는
마지막 기회라고 표현하기도 합니다.
이번 사례의 환자분처럼 어금니 보철물이 떨어졌다고 해서 단순히 다시 붙이면 해결되는 것이 아니라,
그 안에 숨은 충치와 염증이
깊게 진행된 경우가 많습니다.
조기에 정확한 진단을 받는 것이 가장 중요합니다.
서울오브치과병원은
서울대 출신 전문의 협진, 원내 기공소 운영, 구강스캐너·구강내시경 등 첨단 장비를 기반으로
정확하고 안전한 신경치료를 진행하고 있습니다.
필요하시면 상담 도와드리겠습니다.
전화문의 02-418-2275
<카카오채널문의>
http://pf.kakao.com/_yVxmxgG/chat
서울오브치과병원 젊어질 나를 위해. 환자분들의 건강하고 아름다운 구강과 얼굴을 위한 파트너가 되겠습니다.
pf.kakao.com
서울오브치과병원 서울특별시 송파구 백제고분로 196 4층, 5층
Explore More
Keep Browsing This Clinic's Korean Content Trail.
Return to the source archive for more posts, or move back to the clinic profile to compare the rest of the clinic's public channels.