
Hello!
This is Seoul Orbe Dental Hospital.
Recently, a male patient in his 60s and older
visited us with the symptoms that “last night, during a meal, my molar crown came off,
and the pain is severe.”
It initially appeared to be a simple crown detachment,
but after a detailed examination, the situation was much more complicated.
Inflammation had progressed deeply inside the molar,
and the damage had reached the nerve (pulp).
In such cases, rather than reattaching the crown,
root canal treatment is needed to first remove the inflammation
inside the tooth so the tooth can be saved.
Root canal treatment also has a golden time. If the proper treatment window is missed, tissue can become necrotic or pain can worsen, causing severe sensitivity and pain even when drinking lukewarm water.
Once inflammation inside the tooth has penetrated the nerve, natural recovery without surgery becomes impossible, and specialized treatment by a conservative dentistry specialist, rather than a general dentist, is required.
Why is root canal treatment necessary?

Inside the tooth is the pulp tissue,
through which nerves and blood vessels pass.
When decay becomes deep or an old restoration develops gaps,
bacteria can invade the inside of the tooth,
and if inflammation occurs at that time, pain repeats.
The patient’s molar had decay progressing beneath the restoration,
damaging the tooth up to near the root,
so root canal treatment was essential.
If the crown is reattached without root canal treatment,
pain will worsen, and later it may even lead to extraction,
so the initial judgment is very important.
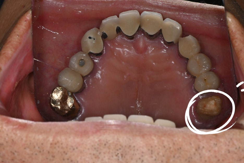
First visit - Diagnosis and emergency care

The upper right molar aches every time I chew,
and it hurts severely when I drink cold water.
The patient had significant periodontitis and a buildup of tartar,
so we first performed panoramic imaging and tartar removal.
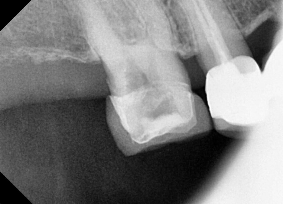
The examination results were as follows.


-
Decay progressing under an old restoration
-
Chronic periodontitis present
-
Gum swelling and bleeding
-
High likelihood of nerve inflammation
For a more precise assessment, an additional periapical X-ray was taken, and it was confirmed that the inflammation had spread all the way to the root tip of the tooth. At this stage, the root canal treatment plan was finalized.
Direct treatment by a Seoul National University conservative dentistry specialist

Graduated from Seoul National University College of Dentistry
Chief Director Jeong Haneul, Specialist in Conservative Dentistry
Root canal treatment at Seoul Orbe Dental Hospital is
performed directly by a Seoul National University conservative dentistry specialist.
Why is a specialist necessary?
A specialist is medical staff who graduated from dental school, completed 3 to 4 years of training, and passed the national specialist examination, allowing them to perform more advanced procedures than general dentists.
About 5 to 10% of dental procedures are classified as surgical failures, but when a specialist performs the procedure, the failure rate of root canal treatment is significantly reduced.
Among dental clinics in Songpa-gu, the only clinic with four or more medical staff members who are specialists is Seoul Orbe Dental Hospital.
Root canal treatment process

First root canal treatment
– Removal of inflammation and widening of the canals
Root canal treatment refers to drilling out the surface of the tooth, removing the inflammation inside, and then covering the tooth with a restoration.
Depending on the skill of the medical staff, the degree to which the tooth can be preserved without damaging the nerve will differ.
The more precisely the procedure is performed, the less pain the patient experiences and the shorter the recovery period. Seoul Orbe Dental Hospital prescribed antibiotics and painkillers so that the patient would not feel discomfort even immediately after discharge.
Second root canal treatment
– Canal shaping and cleanup of infected tissue
During the second treatment, which the patient returned for one week later, the process of removing the fine inflammatory tissue remaining inside the canal was carried out.
Once the shape of the canal has been stably organized, the next step can proceed to final filling (root canal obturation).

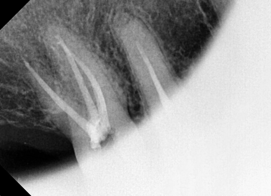
Third root canal treatment – Root canal obturation and core build-up
At the third visit, the space inside the canal is filled with sealer
to block bacteria from invading again.
Once this stage is completed, the root canal treatment is finished.
This prepares the molar to function for chewing again.
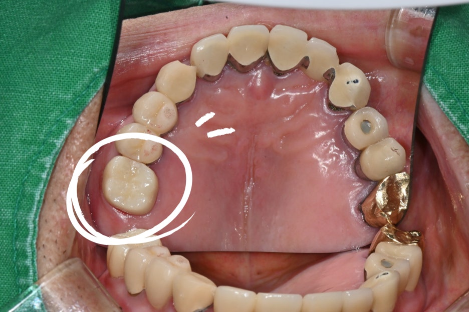
- Final restoration – Rebuilding with a zirconia crown
A tooth that has undergone root canal treatment has weakened internal structure and can crack easily. Therefore, to restore function, it is finished by covering it with a zirconia
crown.
– The completed crown was placed,
and the bite was adjusted to restore chewing function normally.

Patient feedback after treatment
After treatment, the patient said,
"The pain is gone, and I can chew comfortably," expressing satisfaction.
In addition, the color matched the surrounding teeth well, making it aesthetically natural.
Frequently Asked Questions
Frequently Asked Questions
Q1. Do I need to get a crown after root canal treatment?
👉 Yes. Teeth that have undergone root canal treatment have a weaker structure and a higher risk of fracture. Therefore, it is safer to cover them with a crown.
Q2. What material is best for a crown?
👉 At our clinic, we mainly use zirconia crowns. They combine strength and aesthetics, making them suitable for both front teeth and molars.
Q3. How long does treatment take?
👉 It is usually completed within 2 to 3 weeks.
Q4. Can pain remain after root canal treatment?
👉 There may be some discomfort at first, but it usually goes away over time. If it continues, an examination is necessary.
Post-root canal care is even more important.

Just because the root canal treatment is finished
does not mean dental care is over.
A tooth with the nerve removed has no sensation,
so even if decay develops, you may not feel pain.
Therefore, the following care is necessary.
-
Regular checkups every 6 months
-
Periodontal scaling
-
Periapical X-rays to check for recurrence
-
Check whether the restoration is fractured

Root canal treatment is sometimes described as
the last chance to save a tooth.
As in this patient’s case, when a molar crown falls off, the solution is not simply to reattach it.
There are many cases where hidden decay and inflammation underneath
have progressed deeply.
The most important thing is to receive an accurate diagnosis early.
Seoul Orbe Dental Hospital
provides accurate and safe root canal treatment based on collaborative care by specialists from Seoul National University, an in-house dental lab, and advanced equipment such as an oral scanner and intraoral endoscope.
If needed, we will help with consultation.
Phone inquiry: 02-418-2275
<Kakao Channel Inquiry>
http://pf.kakao.com/_yVxmxgG/chat
Seoul Orbe Dental Hospital
For the younger version of me. We will be a partner for our patients’ healthy and beautiful oral health and face.
pf.kakao.com
Seoul Orbe Dental Hospital
4th and 5th Floors, 196 Baekjegobun-ro, Songpa-gu, Seoul