서울오브치과병원
송파치과 보험임플란트 가능할까요?
송파치과 보험 임플란트 수술 사례 안녕하세요! 서울오브치과병원입니다. 오늘은 70대 여성 환자분의 왼쪽 위 어금니 보험임플란트 수술 사례를 소개해드리려고 합니다. 나이가 있으셔서 임플란트를 고민하시는 분들이 많지만 정확한 진단과 안전한 전신관리 하에 진행하면 고령 환자분들도 충분히 가능하다는 것을 보여드린 케이...

송파치과
보험 임플란트 수술 사례
안녕하세요!
서울오브치과병원입니다.
오늘은 70대 여성 환자분의 왼쪽 위 어금니
보험임플란트 수술 사례를 소개해드리려고 합니다.
나이가 있으셔서 임플란트를 고민하시는 분들이 많지만
정확한 진단과 안전한 전신관리 하에 진행하면
고령 환자분들도 충분히 가능하다는 것을
보여드린 케이스입니다.


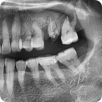
처음 내원 한 당시

서울오브치과병원에서는 모든 임플란트 치료 전에
3D CT를 촬영합니다.
이번 케이스에서는
-
#26, #27 주변의 심한 골소실
-
상악동이 매우 낮아진 상태
-
치근과 잇몸 사이의 염증
-
이 확인되었습니다.
특히 상악 어금니는 상악동거상술이 필요한 경우가 많고,
전체임플란트가격이 달라지는 대표적 부위입니다.
환자분도 마찬가지로 단순 식립이 불가능해
GBR(뼈이식)과 상악동거상을 동시에 진행해야 했습니다.


내원 이유

왼쪽 위 어금니가 부러져서
음식 씹기가 힘들다
환자분은 “왼쪽 위 어금니가 부러져서 음식 씹기가
힘들다”는 호소로 내원하셨습니다.
오래 사용하던 치아가 파절되면서 잇몸까지 불편해졌고
틀니보다는 임플란트를 원하셨는데,
만 65세이상으로 보험임플란트 2개가 가능하여
보험임플란트로 진행하기로 하셨습니다
임플란트 보험 적용 방법을 모르시거나
어려움을 겪고 계신 분들께서는 병원 직원에게 문의하시면
친절히 안내 해드리고 있으니 편한 마음으로
방문해주시면 감사하겠습니다.



진단 및 치료 계획


진단 및 치료 계획
파노라마 엑스레이와 구강내 사진을 통해 확인한 결과,
왼쪽 위 두 개의 어금니가 파절 및 결손 상태
주변 치조골은 비교적 건강하여 뼈이식이
최소화된 상태에서도 임플란트 식립 가능
이라는 진단을 내렸습니다.


치료 계획은 다음과 같았습니다.
1.부러진 치아 발치
2.임플란트 2개 동시 식립
3.치유 기간 후 보철(크라운) 장착
치료과정
치료 과정
치료기간: 2025년 7월 2일 ~ 2025년 10월 10일

① 발치 및 임플란트 식립
– 부러진 치아를 발치한 뒤, 골 상태가 안정적이어서
같은 날 바로 임플란트를 심을 수 있었습니다.
② 치유 기간 (약 3개월)
– 고령 환자분 특성을 고려해
안정적인 치유 기간을 두었습니다.
정기적으로 내원하여 잇몸 상태와
임플란트 고정 여부를 확인했습니다.

③ 보철물 제작 및 장착
– 치과 내 기공소에서 환자분의 다른 치아 색상과
어울리도록 맞춤 지르코니아 크라운을 제작했습니다.
– 교합(물림)을 조정하여 자연스럽고
편안하게 씹을 수 있도록 장착했습니다.



자주 묻는 질문

자주 묻는 질문
Q1. 70대인데 보험임플란트가 가능한가요?
👉 네! 가능합니다.
생애 2개까지 보험임플란트를 적용 받을 수 있어
건강보험적용받아 진료 받으실 수 있습니다.
Q2.보험임플란트는 얼마인가요??
👉 보험임플란트 가격은 개당 약 45만원으로
치료받으실 수 있습니다
Q3. 치유 기간은 얼마나 걸리나요?
👉 평균적으로 3~4개월이 필요합니다. 환자분의 잇몸·뼈 상태에 따라 달라질 수 있습니다.
Q4. 틀니 대신 임플란트를 선택하는 이유는 뭔가요?
👉 틀니는 탈착이 불편하고 저작력이 떨어지는 반면, 임플란트는 내 치아처럼 고정되어 훨씬 편리하고 기능적입니다.


치료 기간 정리
-
1회차: 발치 + 임플란트 2개 동시 식립
-
2~4회차: 치유 경과 확인 (약 3개월)
-
최종: 맞춤 크라운 장착 → 정상적인 저작 회복
치료 전 후 사진


이번 환자분처럼 치아 파절로 음식 섭취가 불편하다면,
나이와 상관없이 정확한 진단 후 임플란트 치료가 가능합니다. 서울오브치과병원은 대학병원급 장비와 전문의 협진
체계를 바탕으로, 고령 환자분들도 안전하게 임플란트를
받
으실 수 있도록 도와드립니다.

서울오브치과병원 소개
서울대 출신 전문의 4인 진료
(구강외과·보철과·심미보철)
전 직원 전문교육받은 치과위생사 근무
원내 기공소 운영, 치과기공사 상주
→ 빠르고 정밀한 보철 제작
최신 장비 보유 (구강스캐너 등)
외국인 진료 가능
무료 주차 가능 (건물 뒤편 핑크색 주차장)
네이버 톡톡 및 카카오톡 ‘서울오브치과’ 상담 가능
365일 진료 & 야간진료, 송파 삼전역 인근 위치
서울오브치과병원 서울특별시 송파구 백제고분로 196 4층, 5층
전화문의 02 -418-2275
<카카오채널문의>
서울오브치과병원 젊어질 나를 위해. 환자분들의 건강하고 아름다운 구강과 얼굴을 위한 파트너가 되겠습니다.
pf.kakao.com
Explore More
Keep Browsing This Clinic's Korean Content Trail.
Return to the source archive for more posts, or move back to the clinic profile to compare the rest of the clinic's public channels.