
Songpa Dental Clinic
Insurance-Covered Implant Surgery Case
Hello!
This is Seoul Orbit Dental Hospital.
Today, we would like to introduce an insurance-covered implant surgery case for the upper left molar of a female patient in her 70s.
Many people worry about implants because of their age, but this case shows that even elderly patients can undergo treatment safely when there is an accurate diagnosis and proper systemic management.


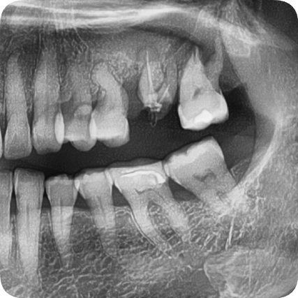
At the first visit

At Seoul Orbit Dental Hospital, we take a 3D CT scan before all implant treatments.
In this case, we found:
-
Severe bone loss around #26 and #27
-
The maxillary sinus had descended significantly
-
Inflammation between the root and the gum
In particular, upper molar implants often require sinus lift surgery and are a representative area where the overall implant cost can vary.
The patient also could not receive a simple implant placement, so GBR (bone grafting) and a sinus lift had to be performed at the same time.


Reason for visit

The upper left molar was broken,
making it difficult to chew food
The patient visited us with the complaint, “The upper left molar was broken, making it difficult to chew food.”
As the tooth that had been used for a long time fractured, the gums also became uncomfortable, and the patient wanted an implant rather than dentures.
Since the patient was 65 or older, insurance-covered implants for two teeth were possible, so the treatment was planned as insurance-covered implant treatment.
If you do not know how dental insurance coverage for implants works or are having difficulties, please ask the hospital staff and we will kindly guide you, so feel free to visit us.



Diagnosis and treatment plan


Diagnosis and treatment plan
Based on the panoramic X-ray and intraoral photos,
we diagnosed the following:
The two upper left molars were fractured and missing
The surrounding alveolar bone was relatively healthy, so implant placement was possible with minimal bone grafting


The treatment plan was as follows.
- Extraction of the broken tooth
- Simultaneous placement of two implants
- Placement of prosthetics (crowns) after the healing period
Treatment process
Treatment process
Treatment period: July 2, 2025 ~ October 10, 2025

① Extraction and implant placement
– After extracting the broken tooth, the bone condition was stable, so the implant could be placed on the same day.
② Healing period (about 3 months)
– Considering the characteristics of an elderly patient,
we allowed a stable healing period.
The patient visited regularly, and we checked the gum condition and whether the implant was firmly fixed.

③ Prosthetic fabrication and placement
– In the in-house dental laboratory, we fabricated a custom zirconia crown to match the color of the patient’s other teeth.
– We adjusted the occlusion (bite) and placed it so the patient could chew naturally and comfortably.



Frequently Asked Questions

Frequently Asked Questions
Q1. I’m in my 70s. Is insurance-covered implant treatment possible?
👉 Yes! It is possible.
Up to two insurance-covered implants can be applied for in a lifetime,
so you can receive treatment with health insurance coverage.
Q2. How much are insurance-covered implants?
👉 Insurance-covered implants can be treated at about KRW 450,000 per tooth.
Q3. How long does the healing period take?
👉 On average, 3 to 4 months are needed. It may vary depending on the patient’s gum and bone condition.
Q4. Why choose implants instead of dentures?
👉 Dentures can be inconvenient to remove and have weaker chewing force, while implants are fixed like natural teeth, making them much more convenient and functional.


Summary of treatment period
-
1st visit: Extraction + simultaneous placement of two implants
-
2nd to 4th visits: Checking the healing progress (about 3 months)
-
Final: Custom crown placement → restoration of normal chewing
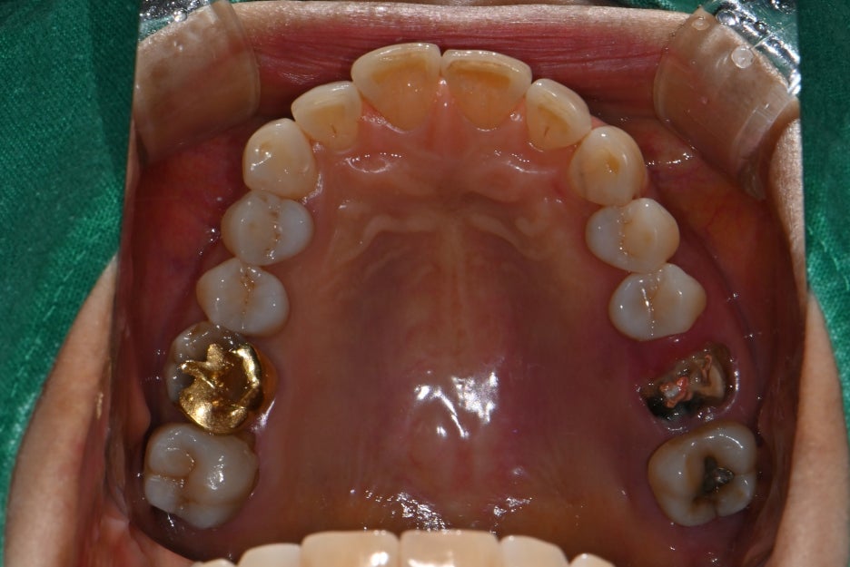
Before and after treatment photos


If chewing is difficult because of a fractured tooth like in this patient,
implant treatment is possible after an accurate diagnosis regardless of age. Seoul Orbit Dental Hospital, based on university-hospital-level equipment and a system of joint care with specialists,
helps elderly patients receive implants safely.

About Seoul Orbit Dental Hospital
4 specialists from Seoul National University
(Oral and maxillofacial surgery, prosthodontics, esthetic prosthodontics)
All staff are dental hygienists with specialized training
In-house dental laboratory, with dental technicians on site
→ Fast and precise prosthetic fabrication
Latest equipment available (including intraoral scanner)
Treatment available for foreign patients
Free parking available (pink parking lot behind the building)
Consultation available via Naver TalkTalk and KakaoTalk ‘Seoul Orbit Dental’
Open 365 days a year & evening care, located near Samjeon Station in Songpa
Seoul Orbit Dental Hospital
4th and 5th Floors, 196 Baekjegobun-ro, Songpa-gu, Seoul
Phone inquiry: 02-418-2275
<Kakao Channel Inquiry>
Seoul Orbit Dental Hospital
For a younger me. We will be your partner for the healthy and beautiful oral health and face of our patients.
pf.kakao.com