서울오브치과병원
어금니 깨짐과 통증, 신경치료가 필요한 이유
어금니가 깨지거나 씹을 때 아프면 대부분 “충치가 좀 있나 보다” 하고 넘기곤 합니다. 하지만 실제 진료를 보면 이런 통증은 이미 신경이 아파지고 있다는 신호인 경우가 정말 많습니다. 오늘은 30대이상의 남성 환자분의 실제 사례를 통해, “신경치료가 왜 필요한지”, “어떻게 진행되는지” 누구나 이해할 수 있...

어금니가 깨지거나 씹을 때 아프면
대부분 “충치가 좀 있나 보다” 하고 넘기곤 합니다.
하지만 실제 진료를 보면 이런 통증은 이미 신경이
아파지고 있다는 신호인 경우가 정말 많습니다.
오늘은 30대이상의 남성 환자분의 실제 사례를 통해,
“신경치료가 왜 필요한지”,
“어떻게 진행되는지”
누구나 이해할 수 있도록 아주 쉽게 설명드리겠습니다.
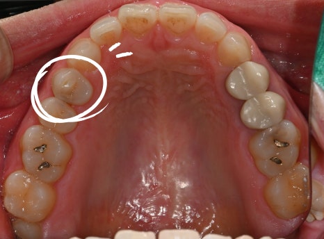
환자분 처음 내원당시


어금니가 꺠지면서 씹을 때 찌릿하고 쑤시는 느낌이 나요
치과에서 찍은 사진과 엑스레이를 확인해보니,
깨진 틈으로 세균이 들어가

신경이 이미 많이 손상된 상태였습니다.
이대로 두면 통증이 점점 심해지고,
결국 발치하고 임플란트를 해야
하는 상황까지 갈 수 있기 때문에
바로 신경치료가 필요하다는 설명을 드렸습니다.
신경치료가 왜 필요할까?

신경을 아주 쉽게 표현하면
치아 속에 있는 작은 “전선줄” 같은 역할입니다.
그 안에 통증을 느끼는 감각도 있고,
치아에 영양을 주는 역할도 합니다.
그런데 치아가 깨지거나 충치가 깊어져서
세균이 이 “전선줄”에 닿으면
전기가 쇼트 나는 것처럼
치아가 갑자기 엄청 아프기 시작합니다.

이때 신경치료는
손상된 전선줄을 깨끗하게 정리하고,
다시 세균이 못 들어오게
막아주는 과정이라고 생각하시면 됩니다.
신경치료 과정

① 첫 번째 방문 – 아픈 신경 제거하기
아픈 신경(전선줄)을 꺼내고,
치아 안쪽을 가볍게 넓혀주고,
약으로 소독해 놓습니다.
이 과정에서 보통 통증이 많이 줄어듭니다.
② 두 번째 방문 – 안쪽을 다시 깨끗하게 만들기
남아 있는 염증이나 세균이 없는지 확인하고
치아 내부를 조금 더 정리해 줍니다.
“속을 청소한다”는 느낌으로 이해하시면 됩니다.
③ 세 번째 방문 – 안쪽을 꽉 채워 넣기
깨끗하게 비워놓은 내부에
약재를 넣어 빈틈없이 꽉 채워
“재감염”이 되지 않도록 막습니다.
이 작업이 매우 중요합니다.
빈틈이 있으면 다시 세균이 들어갈 수 있기 때문입니다.
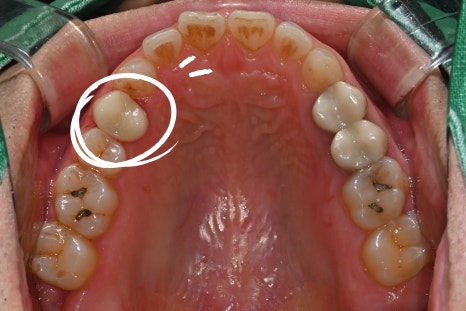
신경치료 후에는 왜 크라운을 씌워야 하나?


신경치료 및 크라운 치료완료 사진
신경을 빼면 치아는 “껍데기”만 남게 됩니다.
안쪽이 비어 있어서 예전보다 훨씬 약해집니다.
특히 어금니는 씹는 힘을 많이
받기 때문에 깨질 위험이 높습니다.
그래서
내부를 레진으로 튼튼하게 채워주고
바깥쪽에는 지르코니아 크라운으로
단단한 뚜껑을 씌워서 보호합니다.
이렇게 해야 신경치료한 치아를 오래 사용할 수 있습니다.
치료 후 어떻게 좋아졌을까?

통증도 사라지고, 식사도 편해지고,
씹을 때 불편함이 전혀 없다고 하셨습니다.
자연치아를 그대로 살려낸 케이스였고,
임플란트까지 가지 않아서 비용과 시간도 모두 줄였습니다.
치아 통증을 절대 방치하면 안 되는 이유

조금만 참고 버티면
뿌리 끝에 고름이 차고
잇몸뼈까지 염증이 퍼지고
결국 발치 후 임플란트로 넘어가게 됩니다.
즉, 초기에 신경치료를 하면 자연치아를 살릴 수 있고,
늦어지면 임플란트가격까지 고민해야 하는 상황이 됩니다.
서울오브치과병원이 신경치료에 강한 이유

서울대 출신 의료진 5인 진료
구강외과·보철과·치과보존과 전문의 협진
구강스캐너·CT 등 정밀 장비
원내 기공소 운영으로 크라운 완성도 높음
송파구 삼전동 위치 / 주말·공휴일 포함 365일 진료
건물 뒤편 핑크색 주차장 무료 이용 가능
외국인 진료 가능(영어 상담)
이런 시스템 덕분에 신경치료부터 크라운까지 빠르고 정확하게 진행할 수 있습니다.

어금니 통증, 깨짐, 찌릿한 느낌은
절대 가벼운 증상이 아닙니다.
신경치료는 치아를 살릴 수 있는 마지막 기회입니다.
조금이라도 통증이 느껴진다면
가능한 한 빨리 검진을 받아보시길 권합니다.
서울오브치과병원 서울특별시 송파구 백제고분로 196 4층, 5층
전화상담 : 02 - 418 - 2275
<카카오채널상담>
서울오브치과병원 젊어질 나를 위해. 환자분들의 건강하고 아름다운 구강과 얼굴을 위한 파트너가 되겠습니다.
pf.kakao.com
Explore More
Keep Browsing This Clinic's Korean Content Trail.
Return to the source archive for more posts, or move back to the clinic profile to compare the rest of the clinic's public channels.