
If a molar cracks or hurts when chewing,
most people tend to think, “I probably just have a little cavity.”
However, in actual treatment, this kind of pain is very often a sign that the nerve is already hurting.
Today, through a real case involving a male patient in his 30s,
I will explain very simply so that anyone can understand
“why root canal treatment is necessary”
and “how it is performed.”
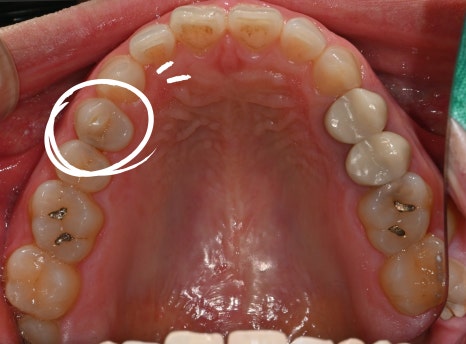
When the patient first visited the clinic


My molar cracked, and when I chew, it gives a sharp, aching pain.
After checking the photos and X-rays taken at the dental clinic,
bacteria had entered through the crack,

and the nerve was already severely damaged.
If left like this, the pain would gradually worsen,
and eventually it could lead to a situation where extraction and an implant are needed,
so we explained that root canal treatment was needed right away.
Why is root canal treatment necessary?

To put the nerve very simply,
it acts like a small “wire” inside the tooth.
It includes the sensation that feels pain,
and it also plays a role in nourishing the tooth.
But when a tooth cracks or decay becomes deep,
if bacteria reach this “wire,”
it is like an electrical short circuit,
and the tooth suddenly starts hurting intensely.

At this point, root canal treatment
can be thought of as the process of neatly cleaning up the damaged wire
and blocking bacteria from getting back in.
Root canal treatment process

① First visit – Removing the painful nerve
We remove the painful nerve (the wire),
slightly widen the inside of the tooth,
and disinfect it with medicine.
At this stage, the pain usually decreases a lot.
② Second visit – Cleaning the inside again
We check whether any remaining inflammation or bacteria are left
and clean up the inside of the tooth a bit more.
You can think of it as “cleaning out the inside.”
③ Third visit – Filling the inside tightly
Into the cleaned-out interior,
we place material and pack it tightly with no gaps
to prevent “reinfection.”
This step is very important.
If there are gaps, bacteria can enter again.
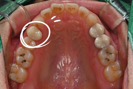
Why do you need a crown after root canal treatment?


Photo after root canal treatment and crown treatment completed
After the nerve is removed, only the “shell” of the tooth remains.
The inside becomes hollow, so it is much weaker than before.
Molar teeth, in particular, receive a lot of force when chewing,
so the risk of breaking is high.
So,
the inside is reinforced with resin,
and on the outside,
a zirconia crown is placed as a strong cover for protection.
This is how a tooth that has had root canal treatment can be used for a long time.
How did the patient improve after treatment?

The pain disappeared, eating became comfortable,
and the patient said there was no discomfort at all when chewing.
This was a case where the natural tooth was saved as it was,
and because it did not progress to an implant, both cost and time were reduced.
Why you should never ignore tooth pain

If you just endure it for a little longer,
pus builds up at the root tip,
inflammation spreads to the jawbone,
and eventually it progresses to extraction and an implant.
In other words, if root canal treatment is done early, the natural tooth can be saved,
but if treatment is delayed, you may end up worrying about implant costs as well.
Why Seoul Ob Dental Hospital is strong in root canal treatment

Treatment by 5 doctors from Seoul National University
Collaborative care with specialists in oral surgery, prosthodontics, and conservative dentistry
Precision equipment such as intraoral scanners and CT
In-house lab operation for high-quality crown completion
Located in Samjeon-dong, Songpa-gu / 365-day treatment including weekends and holidays
Free parking available in the pink parking lot behind the building
Treatment available for foreigners (English consultation)
Thanks to this system, treatment from root canal therapy to crowns can be carried out quickly and accurately.

Molar pain, cracking, and a sharp, tingling sensation
are never symptoms to take lightly.
Root canal treatment is the last chance to save the tooth.
If you feel even a little pain,
I recommend getting examined as soon as possible.
Seoul Ob Dental Hospital
4th and 5th Floors, 196 Baekjegobun-ro, Songpa-gu, Seoul
Phone consultation: 02 - 418 - 2275
<Kakao Channel Consultation>
Seoul Ob Dental Hospital
For the person I will become, more youthful. We will be your partner for healthy and beautiful oral health and facial care for our patients.
pf.kakao.com