서울오브치과병원
잠실 라미네이트 자연스러운 앞니 완성
오브제로는 잠실에 위치한 라미네이트 전문 치과 센터입니다. 자연스러운 앞니 라미네이트로 해외 환자분들도 많이 찾아주십니다. 오늘 소개해드릴 환자분은 일본에서 생활하시다 강남언니를 통해 상담 예약 후 귀국 일정 중 라미네이트를 완성한 케이스입니다. 평소 웃을 때 앞니 모양이 조금 흐트러져 보이고, 치아 색이 살짝 탁...
오브제로는 잠실에 위치한
라미네이트 전문 치과 센터입니다.
자연스러운 앞니 라미네이트로
해외 환자분들도 많이 찾아주십니다.

오늘 소개해드릴 환자분은 일본에서 생활하시다
강남언니를 통해 상담 예약 후 귀국 일정 중
라미네이트를 완성한 케이스입니다.
평소 웃을 때 앞니 모양이 조금 흐트러져 보이고,
치아 색이 살짝 탁해 보여
자연스럽게 정리하고 싶다며 내원하셨어요.


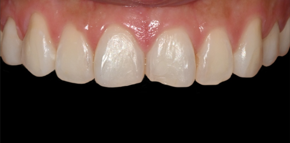
내원 당시 상태
환자분은 기존 보철은 없었지만
앞니 사이 라인이 들쭉하고 밝기가 고르지 않아
사진 찍을 때 늘 앞니가 신경 쓰였다고 하셨어요.

특히 일본에서 직장 생활을 하고 계셔
“너무 하얗고 번들거리는 치아는 오히려 어색하다”
이 부분을 가장 먼저 말씀해주셨습니다.
오브제로 라미네이트와 일반 라미의
가장 큰 차이점이 바로
그저 하얗고 번들거리는 게 아니라
자연치와 유사한 질감과 투명도를
재현한다는 점입니다.

앞니는 전체 이미지에서 가장 먼저 보이기 때문에
조금만 톤이 달라도 인상이 확 바뀌는데,
환자분의 경우는 색·라인·길이를 조화롭게 정리하면
훨씬 자연스러운 미소가
만들어질 수 있는 상태였습니다.
삭제를 최소화 할 수 있는지 확인
파노라마 X-ray, 구강스캐너, 교합 체크까지
전체적으로 살펴본 결과입니다

앞니 치질이 충분히 남아 있었고
잇몸 라인도 건강하게 유지되어 있었습니다.
이런 경우에는 삭제를 거의 하지 않거나
무삭제로 진행하여 자연치를 최대한
살리면서 시술할 수 있습니다.

무엇보다 라미네이트를 위해
많이 깎아야 하는 치아가 단 한 개도 없었기 때문에
‘무삭제 라미네이트’가 가능한 최적의 케이스였어요.
또 환자분이 요청하신
과하지 않은 밝기,
입술 라인과 자연스럽게 연결되는 형태,
투명층을 거의 사용하지 않는
담백한 디자인 모두 구현 가능한 조건이었습니다.

서울오브치과병원 잠실점은
5층에 오브제로 라미네이트 센터를
별도로 운영하고 있습니다
프라이빗한 1인 진료실과 CCTV,
아늑한 조명으로 치과 치료를
불편해하시는 분들도
편하게 진료받으실 수 있어요.
“일본에서도 티 안 나는
자연스러움”
이 환자분의 핵심 포인트는 ‘자연미’였습니다.
잠실에서 라미네이트를 하는 다른 치과에서는
해결해줄 수 없는
본인만 느껴지는 정도의 개선을 원하셨어요.
특히 웃을 때 보이는 앞니의 디자인

그래서 디자인 과정에서는
환자분의 웃을 때 입술 길이,
발음될 때 치아가 보이는 각도,
정면·측면에서의 밝기 밸런스를 함께 확인하며
티 나지 않지만 깔끔한 앞니 라인을
목표로 잡았습니다.
시뮬레이션을 보시고
“이 정도면 일본에서도 자연스럽겠다”며
바로 진행을 결정하셨어요.
🎥 자연스러운 앞니 디자인이 궁금하다면?
👉https://youtu.be/CW3Kgt3bkJw?si=nw3WiFzMG593SO1e
치아 보존을 최우선으로
치질이 건강해
불필요한 삭제를 할 필요가 없었기 때문에
치아를 가능한 범위 안에서만 살짝 정리하고
정밀 스캔을 통해 정확한 데이터를 확보했습니다.

임시치아를 장착한 직후에도
“이미 지금도 훨씬 깨끗해 보인다”며
자연스러움에 만족하셨어요.
환자분은 해외 일정 때문에
불필요한 방문을 줄이고 싶어 하셨는데,
체크해야 할 포인트를 한 번에 잡아드려
한국 체류 일정 안에서 크게 부담 없이 진행되었어요.


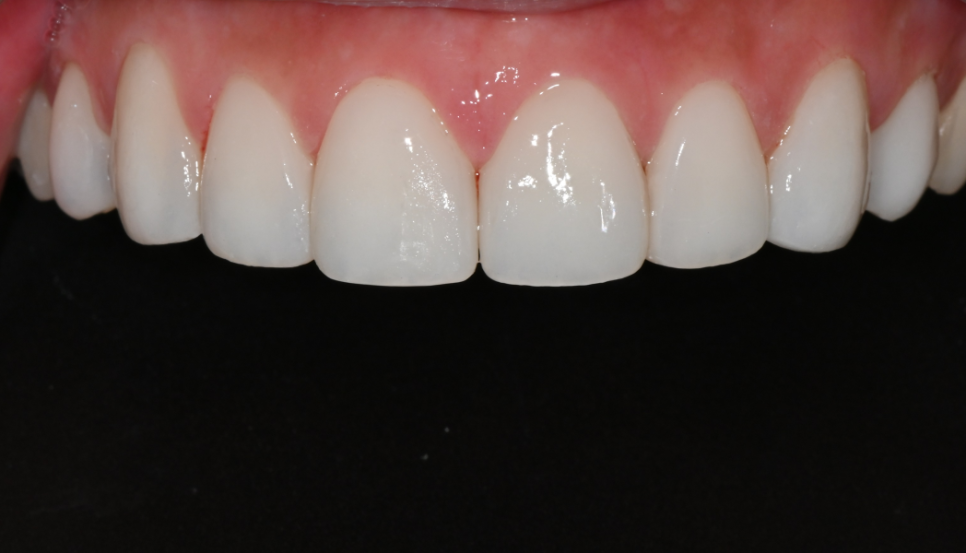
투명층 없이 깔끔한 잠실 라미네이트
최종 라미네이트는
환자분이 요청하신 대로
투명층을 거의 사용하지 않은 톤으로 제작됐습니다.

겉으로 볼 때 ‘라미네이트 느낌’이
강하게 드러나지 않도록
본래 치아 같은 매트한 광을 살렸고,
앞니부터 송곳니까지 이어지는 라인을
입술 움직임과 자연스럽게 맞춰 정리했습니다.
플라스틱처럼 번들거리는 재질의
라미네이트는 매트한 느낌보다
단색의 일관적인 느낌이 강한데,
보통 이러한 특징 때문에
"라미네이트는 부자연스럽다"라는
말들이 나오게 됩니다.
오브제로 라미네이트는
치아가 빛을 받아도 티나지 않게
매트한 질감을 표현해서
어떤 각도에서 봐도 깔끔한
미소 라인을 만드실 수 있어요.

장착 후 거울을 보며
“인상이 깔끔하게 정리된 느낌이다”,
“밝은데 전혀 과하지 않다”
며 크게 만족하셨습니다.
단기 체류자도 가능한 이유
출국 전에 마지막 체크를 위해 다시 내원하셨습니다.
잇몸 적응도 좋았고,
발음이나 식사 중 불편함 없이
자연스럽게 사용되고 있었어요.

해외에 계신 분들은
치아 치료 때문에 여러 번 방문하기
어렵다는 부담이 크지만,
이 환자분처럼 불필요한 내원 없이
자연스럽게 완성된 케이스도 많습니다.


앞니 라미네이트는 꼭 여러 번
방문해야만 가능한 치료가 아닙니다.

환자분처럼 본연의 이미지를 해치지 않는
자연스러운 디자인을 원한다면
짧은 일정 안에서도
충분히 좋은 결과를 만들 수 있습니다.

잠실에서 앞니 라미네이트를 고민하시는
해외 거주자분들이라면,
이번 사례가 도움이 되길 바랍니다.
서울오브치과병원 서울특별시 송파구 백제고분로 196 4층, 5층
Explore More
Keep Browsing This Clinic's Korean Content Trail.
Return to the source archive for more posts, or move back to the clinic profile to compare the rest of the clinic's public channels.