Ovezero is a specialized dental center for laminate veneers located in Jamsil.
We are visited by many international patients for natural-looking front tooth laminate veneers.

The patient introduced today was living in Japan and completed laminate veneers during a trip back to Korea after booking a consultation through Gangnam Unni.
They came in because the shape of their front teeth looked slightly uneven when smiling, and the tooth color appeared a bit dull, so they wanted a more natural-looking refinement.


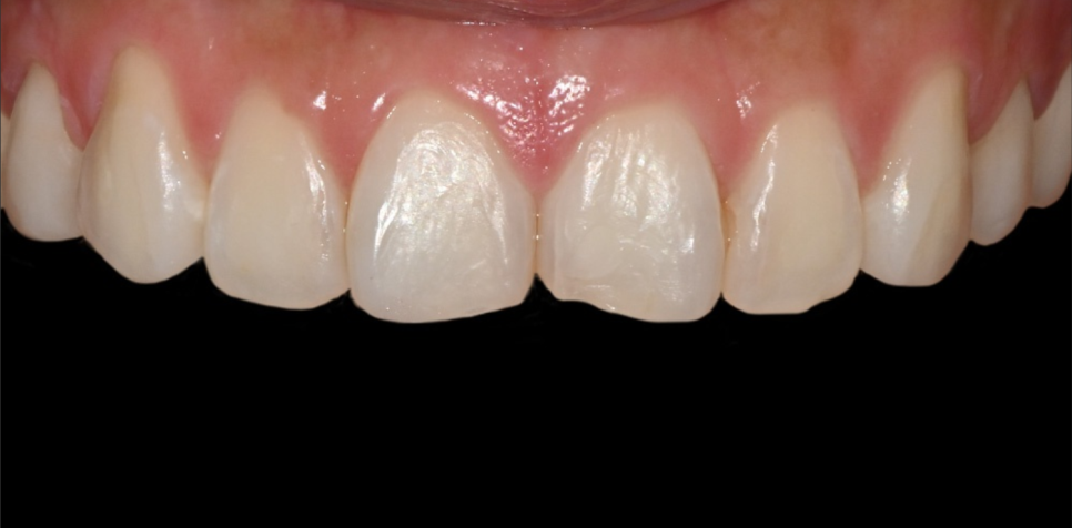
Condition at the time of the visit
The patient did not have any existing prosthetics, but the line between the front teeth was uneven and the brightness was not consistent, so they said they had always been concerned about their front teeth in photos.

In particular, because they were working in Japan, they first said, “Too white and glossy teeth actually look unnatural.”
The biggest difference between Ovezero laminate veneers and standard laminates is that they do not simply aim for a white, glossy finish; instead, they recreate a texture and translucency similar to natural teeth.

Since the front teeth are the first thing seen in the overall appearance, even a slight difference in tone can completely change the impression.
For this patient, a more natural smile could be created by harmonizing the color, line, and length.
Checking whether tooth reduction could be minimized
Here are the overall findings after examining the panoramic X-ray, intraoral scanner, and bite check.

There was enough tooth structure remaining in the front teeth, and the gum line was also healthy.
In such cases, treatment can be performed with little to no reduction, or even without reduction, while preserving the natural teeth as much as possible.

Most importantly, there was not a single tooth that needed to be heavily shaved for the veneers, so this was the ideal case for possible no-prep laminate veneers.
In addition, all of the patient’s requests could be achieved:
- a brightness level that was not excessive,
- a shape that connected naturally with the lip line,
- a clean design with very little use of the translucent layer.

Seoul Ove Dental Hospital Jamsil Branch
operates a separate Ovezero laminate veneer center on the 5th floor.
With a private one-person treatment room, CCTV, and cozy lighting, even patients who feel uncomfortable with dental treatment can receive care comfortably.
“Naturalness that does not stand out, even in Japan”
The key point for this patient was natural beauty.
At other clinics that perform laminate veneers in Jamsil, they wanted only a subtle improvement—something only they themselves would notice.
In particular, they wanted the design of the front teeth visible when smiling.

So during the design process, we checked the patient’s lip length when smiling, the angle at which the teeth show during speech, and the brightness balance from the front and side.
The goal was to create a clean front tooth line that would not stand out.
After seeing the simulation, the patient decided to proceed right away, saying, “This would look natural even in Japan.”
🎥 Curious about natural front tooth design?
👉https://youtu.be/CW3Kgt3bkJw?si=nw3WiFzMG593SO1e
Prioritizing tooth preservation
Because the tooth structure was healthy and there was no need for unnecessary reduction, we only made minimal adjustments within a possible range and secured accurate data through precision scanning.

Even immediately after the temporary teeth were placed, the patient was satisfied with the natural look, saying, “It already looks much cleaner now.”
Because of their overseas schedule, the patient wanted to minimize unnecessary visits, and by identifying the necessary check points all at once, the treatment was carried out without much burden within their stay in Korea.


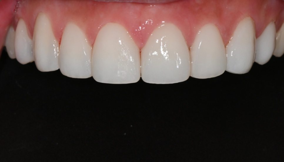
Clean Jamsil laminate veneers without a translucent layer
The final laminate veneers were made in a tone with very little translucent layering, as requested by the patient.

To avoid making the veneers look obviously like veneers, we brought out a matte sheen similar to natural teeth and adjusted the line from the front teeth to the canines so it matched naturally with lip movement.
Laminate veneers with a plastic-like glossy material tend to feel more uniformly monochromatic than matte, and this is usually why people say, “Laminate veneers look unnatural.”
Ovezero laminate veneers express a matte texture so that the teeth do not stand out even when catching the light, allowing for a neat smile line from any angle.

After placement, the patient looked in the mirror and was very satisfied, saying,
“It feels like my impression has been neatly refined,”
“It's bright, but not excessive at all.”
Why short-term visitors can also receive treatment
The patient visited again for a final check before departure.
The gums had adapted well, and they were using the teeth naturally without discomfort in speech or eating.

People living overseas often feel burdened by the difficulty of visiting multiple times for dental treatment,
but there are also many cases, like this patient’s, that are completed naturally without unnecessary visits.


Front tooth laminate veneers are not a treatment that only becomes possible after many visits.

If you want a natural design that does not damage your original appearance, like this patient,
it is possible to create a good result within a short schedule.

If you are living overseas and considering front tooth laminate veneers in Jamsil,
I hope this case is helpful.
Seoul Ove Dental Hospital
4th and 5th floors, 196 Baekjegobun-ro, Songpa-gu, Seoul